患儿女,10岁, 山东省淄博市人。
一、李小勇脑脊液儿科入院前病史
1、当地医院门诊治疗(17天):
患儿在2010年5月6日(9岁时),出现了只有头痛的症状,在家附近的门诊按神经痛性头痛口服药物治疗1周无效后,发病1周后即2010年5月13日,到第1家的山东省淄博市某医院检查后做出了脑炎的诊断,给予治疗后患儿仍反复发烧最高可达39°C,继续使用氨曲南、红霉素和美洛西林等药物治疗7天的时候,治疗10天后因病情未得到有效控制,故而转至上级的三甲医院,第2家山东省济南市某医院小儿神经内科。
2、第2家山东省某三甲医院小儿神经内科治疗(18天):
在2010年5月23日(发病后17天)转入小儿神经内科后,腰穿脑脊液检查的结果提示白细胞数显著增多,达到>2000的严重程度,进一步查头颅核磁(图-1)后,诊断为“化脓性脑膜炎”,抗感染治疗(万古霉素,美罗培南等)治疗18天。

图-1:2010年5月23日头颅核磁
2010年6月9日(治疗17天),突发癫痫大发作,医生下病危通知书。当日复查核磁(图-2)发现脑室有扩张,中度脑积水和脑内多发脑脓肿。

图-2:2010年6月9日头颅核磁
次日即2010年6月10日,请山东省三甲某胸科医院的医生会诊,被诊断为结核性脑膜炎,并同意转入第3家的山东省某胸科医院。
3、第3家山东省某胸科医院治疗(112天):
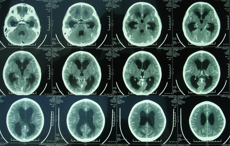
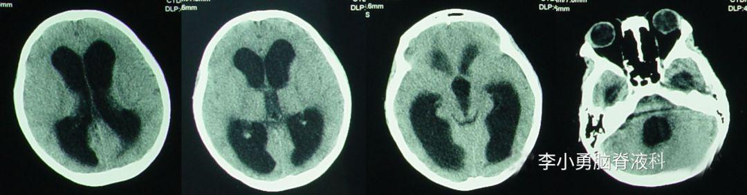
在2010年6月10日转入第3家医院给予结核性脑膜炎的治疗,在1周后即在2010年6月18日进行了脑CT的检查(图-3)示脑室进一步扩大,“因侧脑室旁的2个病灶的显示,证实了结核性脑膜炎的诊断”。

图-3:2010年6月18日头颅CT
脑CT检查后的当天,因头痛持续加重再次癫痫发作(自入该院后经常发生癫痫发作),测颅内压500mmH2O,于是进行了右侧脑室额角引流术。引流术后头痛迅速减轻,脑室引流共持续了2周,后因引流管脱出脑室而被迫停止引流。
在拔除脑室引流管之后,靠静脉输入甘露醇每天3次和甘油果糖每日2次的方法控制颅压,经反复腰穿测颅压证明颅压被控制在270-280 mmH2O (颅压仍是中度增高水平)。
在住院治疗1个月零9天的时候即在2010年7月19日,再次复查头颅CT,结果显示脑积水又有所加重(图-4)。此后病情比较稳定,平均每周呕吐一次,头痛偶然需要临时加用甘露醇处理。

图-4:2010年7月19日头颅增强CT
在住院近2个月即在2010年8月初,腰穿脑脊液细菌培养检查发现了表皮葡萄球菌感染,随后给予了万古霉素、美平和丙种球蛋白的药物治疗。
在继续治疗20余天之后即在2010年8月31日,再次查头颅CT增强(图-5)虽仍有脑积水的表现,查肺片示稍有感染(图-6)。但腰穿检查,具有蛋白和白细胞数均接近正常但颅压仍高达300mmH2O以上的结果,虽仍经常出现癫痫发作,以抗癫痫药物控制;但医生仍建议出院观察。

图-5:2010年8月31日头颅增强CT

图-6:2010年8月31日肺片
出院后半月即2010年9月19日,到山东省淄博市某医院例行检查,脑核磁结果示仍有脑积水(片子丢失)。因此,当天立即第2次就诊于山东省某胸科医院,查头颅核磁示仍有脑积水(图-7),腰穿发现颅压为>300mmH2O;白细胞数和蛋白均又有增高,但医生却认为目前仍没有更好的治疗方法,还是建议“回家继续观察”。

图-7:2010年9月19日头颅核磁
回家后10天即2010年9月29日,患儿出现了头痛难忍的症状,家属估计山东省某胸科医院可能还是没有好的治疗的办法,所以决定换个著名医院去就诊。
4、第4家山东省济南军区某医院治疗(14天):
患儿2010年9月29日(发病后146天),因头痛无法忍受,到第4家的三甲医院,山东省济南军区某医院神经内科就诊,再次进行头颅核磁的复查(图-8)示“严重脑积水”。

图-8:2010年9月29日头颅核磁
患儿在入院当天出现了“意识基本不清”的表现,到晚上意识进一步恶化致昏迷,腰大池持续引流术后有所减轻,但1-2天后又反复加重,反复几次后,医生认为“已经再没有什么好办法了”,建议“可以到北京某儿童医院再做一次尝试”。
5、第5家医院北京某儿童医院治疗(仅1天)
2010年10月13日早晨(发病后160天),转住入第5家的北京某儿童医院结核病区。但在住院的当晚,患儿头痛再次加重并突发全身抽搐,急用甘露醇降颅压但无效。因为患者为“癫痫持续状态”,医生向家属“告病危”;因之前患儿有过“腰大池引流后病情改善”的经过,所以家属要求医生给予腰大池引流,但医生断然拒绝,家属跟医生多次沟通仍被拒绝的无奈的情况下,不得已家属要求“自动出院”。
6、第2次转回第4家医院山东省济南军区某医院(17天左右)
在第5家医院仅住了1天,因患儿病情危急即2010年10月13日当天晚上,乘120急救车返回第4家医院,急诊给予腰大池引流后,患儿意识很快得到了恢复,并恢复到“正常水平”。在该院神经内科治疗了半月的时间,但医生还是告知家属:目前只能暂时使用腰大池引流的方法,仍没有其它方法可以采用,建议“还是到北京大医院再试试”,否则有生命危险。
7、北京4家著名大医院门诊就诊(辗转1周):
2010年10月30日(发病后177天),患儿带着腰大池引流管,再次前往北京。先后到北京4家知名的大医院门诊就诊,但是这些医院的专家,都一致地告知家属:“因为结核性脑膜炎还没得到根治,所以现在还没有任何好的治疗方法”。最后一位专家提议:“可到北京某三甲医院神经外科再试试”。
8、第6家医院北京某三甲医院神经外科住院的诊治阶段(11天):
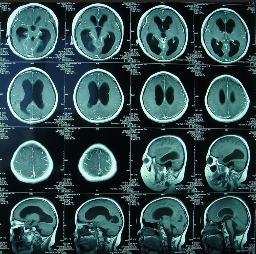
在2010年11月6日(发病后184天),因为腰大池引流管自行脱出出现头痛,来到北京某三甲医院急诊科就诊,医生采用甘露醇降颅压和头孢曲松抗感染的治疗方案,但2天后即到2010年11月9日,头痛再度加重,再次进行了头颅核磁的检查(图-9)仍为“严重脑积水,脑室内可能存在多处感染灶”,转入该院的神经外科。

图-9:2010年11月9日头颅核磁
神经外科医生再次给予了腰大池引流术,头痛症状基本缓解。家属提出了试试脑室镜的方法治疗脑积水,医生仍按照了家属的意愿,进行了脑室镜手术,手术中发现了“脑室内多处具有感染灶”的表现,手术毫无悬念的以失败告终。脑脊液化验存在多种感染的情况,该院治疗11天仍无改善,医生无奈告知家属:至今已经再没有其它方法能治了,出院回家吧(等死);2010年11月17日(第6家医院治疗11天),家属绝望的带着患儿仍携带腰大池引流管出院返回老家。
9、在家中家属自行进行腰大池内抗生素注射(11天)
但回家后的第2天即2010年11月17日,腰大池引流管再次脱出,只好寻求别的当地的医生给再度给予腰大池引流,此时出现了后颈部严重疼痛的“脑膜炎刺激征”加重的症状;当地的医生劝家属:“孩子的生命可能没有多长时间了,不要做无用的努力了,再次被告知回家吧(等死)。
但回家后家属仍不放弃救活女儿的努力:在网上阅读了众多资料和请教了多位神经外科专家后,在没有医生帮助的情况下,家属坚持每天自行给孩子经腰大池引流管注入抗生素的治疗,并间隔2-3天到当地的医院查脑脊液,没想到白细胞数不断的下降,从3000降到2000,又降至1000。正在此时,收到了一位原来为女儿看过病的北京某三甲医院专家的信息,“建议到北京找李小勇再做最后的尝试吧”,家属带着患儿立即动身前往北京的李小勇脑脊液科。
二、在李小勇脑脊液科治疗过程和结果
2010年11月29日(结核性脑膜炎发病后207天继发脑积水173天,先后经6家医院治疗无效,多次被告知回家“等死”的情况下),住入李小勇脑脊液科。
入院时:只能“仰伸位”,被推入院;不愿睁眼;面部和躯干因为长久使用激素治疗而呈“满月脸和向心性肥胖”特征;(外院)腰大池引流管扔保留,引流的脑脊液黄色而混浊;脑膜炎特征的脑膜刺激征十分显著:向前屈曲颈部时因剧痛而发出尖叫声音和颈项强制的特征;左额部遗留有脑积水神经内镜手术刀口的疤痕;饮食差(图-10)。

图-10:2010年11月29日入院时
入院时CT检查发现在持续腰大池引流情况下仍具有严重的第四脑室及其脑室系统普遍扩大的严重脑积水表现(图-11);当天给予拔出了腰大池引流管+脑室外引流术。

图-11:2010年11月29日
脑室外引流术后次日,患儿头痛显著减轻,精神明显改善(图-12),脑脊液培养细菌回报白色念珠球菌。

图-12:2010年11月30日
2010年12月2日(住院治疗3天),查头颅CT示脑室缩小(图-13)。

图-13:2010年12月2日头颅CT
2010年12月6日(住院治疗7天),引流出的脑脊液仍有絮状物,精神变好(图-14)。

图-14:2010年12月6日
2010年12月9日(住院治疗10天),查头颅CT示脑积水进一步变好(图-15)。

图-15:2010年12月9日
2010年12月14日(住院治疗15天),在外院4个月长久卧床不起的状况,在李小勇脑脊液科治半月开始可以在帮助下下床,且在父母搀扶下能走路,其父母的脸上终于露出了久违的笑容(图-16)。

图-16:2010年12月14日
2010年12月15日(住院治疗16天),自己吃饭变完全正常,引流出的脑脊液仍有絮状物(图-17)。

图-17:2010年12月15日
2010年12月25日(住院治疗26天),单独站立变稳(图-18)。

图-18:2010年12月25日
2010年12月26日(住院治疗27天),走路进一步变好,稍有不稳仅拉着家属的手指(图-19)。

图-19:2010年12月26日
2010年12月28日(住院治疗29天),时常愉悦的跟父亲下棋(图-20)。

图-20:2010年12月28日
患儿在脑脊液细菌被彻底控制后但真菌持续存在的3个月内,但患儿神智和肢体功能逐步恢复正常,体温已变完全正常水平。
脑脊液真菌终于被消灭后于2011年3月14日(住院治疗105天),进行了脑室腹腔分流术(图-21)。

图-21:2011年3月14日
2011年3月24日(李小勇脑脊液科住院治疗115天)出院。出院前头颅核磁仍有第四脑室扩大、小脑扁桃体下疝和脊髓空洞症的影像学异常表现(片子丢失);出院时:患儿可以自己行走稍有不稳,身体向前倾斜的步态,言语智力均正常(图-22)。

图-22:2011年3月28日
三、出院后随访
出院后4个月时间内,家属告知:孩子已恢复了完全自理的能力,并已返回学校上学。
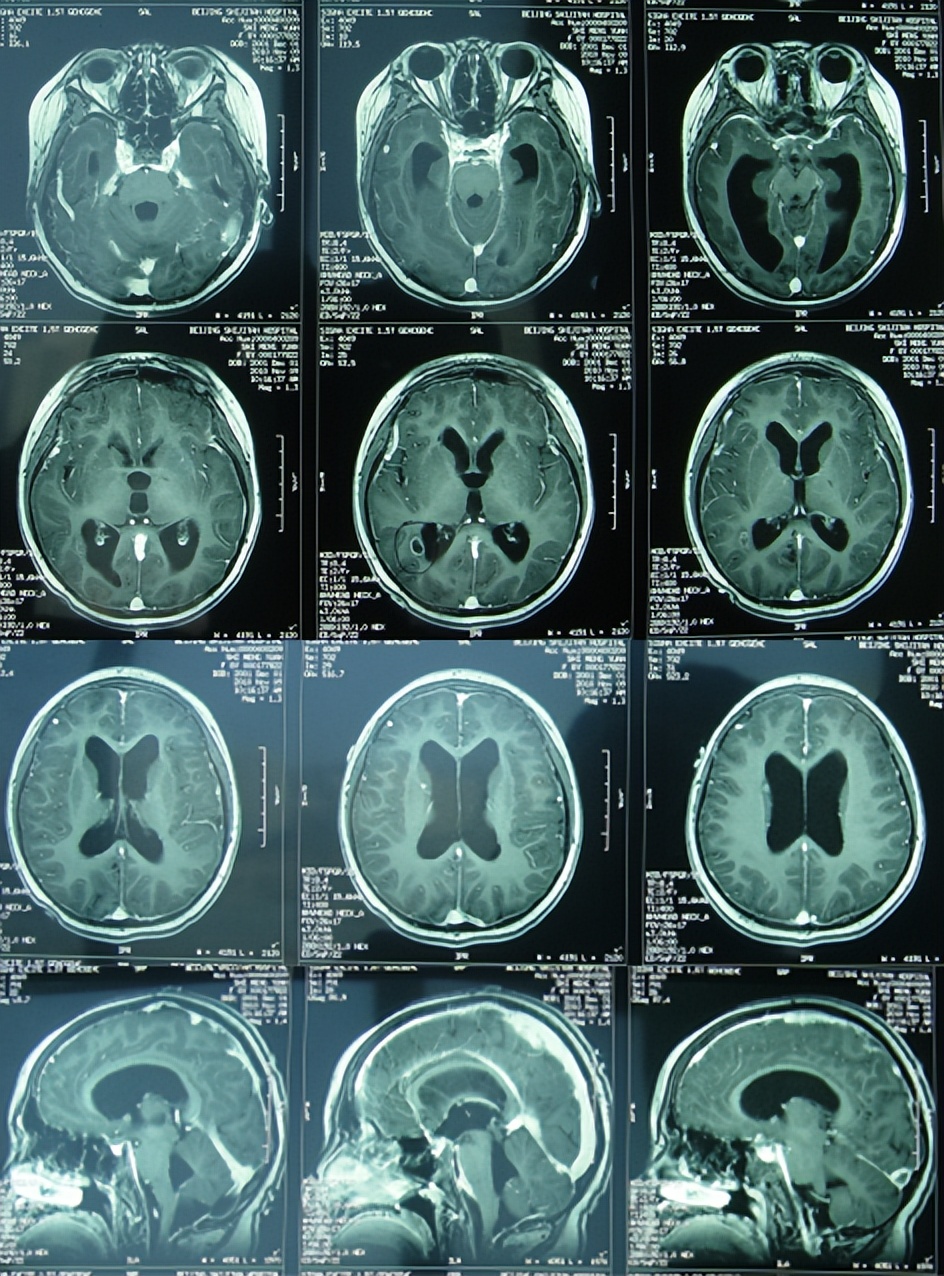
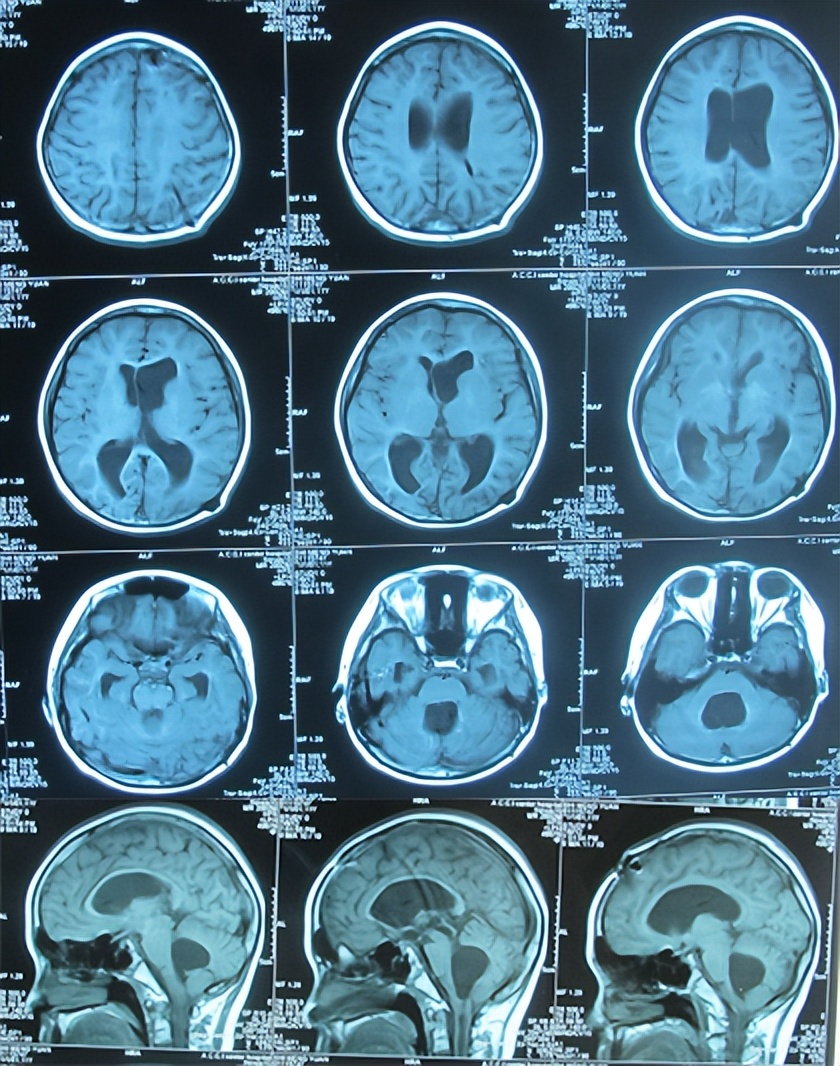
出院后1年零4个月即2012年7月15日复查。复查时:已完全恢复正常健康的状态,激素性面部也完全消失,并向医护人员展示了学习优秀的奖状,也这说明了其智力也完全回到了正常健康水平(图-23);虽此时复查颅脑核磁虽显示第四脑室扩大、感染性小脑扁桃体下疝合并脊髓空洞的异常后遗症表现(图-24);但患儿目前状态一切正常,因此建议继续观察定期复查。

图-23:2012年7月15日

图-24:2012年7月15日头颅核磁
出院后5年余即2016年7月,已上初中,暑假期间经常跟父亲打羽毛球锻炼身体,还跟家人一起出去旅游(图-25)。

图-25:2016年7月
出院后10年半即2021年8月,身体一切正常,收到大学录取通知书(图-26)。

图-26:2021年8月