在呼吸和感染科门诊,几乎每天都有患者的胸片或肺部CT提示“肺结核”,建议转到肺结核定点医院治疗。
很多患者拿着报告单,会有疑问:这样就能诊断肺结核吗?因为多数情况下,他们是没有任何症状的。
单凭胸片或者CT,就诊断肺结核并开始抗结核治疗,对于现在这个病种多元化的时代,可能有点草率。
因为,这其中有些人可能是陈旧性肺结核,有些人可能是其它病原体引起的肺部炎症,这些人都需要进一步检查,以避免误诊误治。
明确诊断很重要。因为结核的治疗是一个漫长的过程,疗程至少6个月以上,有的要12或18个月甚至更长。如果初始的诊断就错了,盲目吃药,有可能带来一些不好的后果。
也有一些人说,我痰检阴性,就不是肺结核吧?痰检阴性,只能表示送去做检查的痰液里面并没有找到结核分枝杆菌,最多能说明传染性小,或者不具有传染性,但不足以排除肺结核。

今天,龙大夫就来谈一下,在痰检阴性的情况下,医生是怎么诊断肺结核的。
肺结核及其分类
肺结核是由结核分枝杆菌引起的肺部感染性疾病,结核分枝杆菌不单单会引起肺结核,还会导致其他脏器的结核。只不过,肺结核是最常见的结核病,约80%~90%的结核病是肺结核。
目前,我国对肺结核的分类,以病变部位为依据,将肺结核分为原发型肺结核、血行播散型肺结核、继发型 肺结核、气管或支气管结核和结核性胸膜炎等5种类型。
临床上,成人最常见的肺结核类型是继发性肺结核。
当然,还有肺外的结核,比如肾结核、皮肤结核、骨结核、结核性脑膜炎等等,这些结核的治疗原则和用药是一样的,只是疗程不一样。

肺结核患者为什么痰中会找不到结核分枝杆菌?
人感染结核分枝杆菌以后,细菌在肺泡等部位与人体内免疫细胞相互作用,激发免疫反应,造成渗出、增值和坏死病灶,破坏正常的肺组织。
炎症导致的分泌物增多,会引发咳嗽、咳痰等症状。但是,并非所有咳出来的痰,都来自于病灶部位。所以,痰液检查不一定能找到结核杆菌。
就算是已经确诊的肺结核患者,也可能不咳嗽,或者有咳嗽而没有痰,导致有些患者送去检查的痰,其实是唾液,这样当然是无法找到结核分枝杆菌的。
还有一部分患者咳出的痰,虽然来自于病灶部位,但这些病灶部位的细菌,可能被免疫细胞和分子杀灭,不存在活的细菌,也是不能检测出来的。
临床上,大约有15~20%的肺结核患者,痰涂片和培养始终是阴性的。痰涂片始终找不到结核分枝杆菌,痰培养也长不出结核分枝杆菌,这就是肺结核的诊断困难所在。

肺结核的诊断步骤:怀疑、检查、分析、判断
对于有可疑肺结核临床表现的人,都要做肺结核的排查,因为肺结核和其他病原体引起的肺部疾病,治疗是完全不一样的。也就是说,结核只有那么几种抗结核药有效果还容易耐药,而其他细菌感染引起的肺部炎症,用药上并没有很大的差异。
为了避免不是肺结核的人诊断为肺结核,错误地使用抗结核药,或者有肺结核的人又被排除,而耽误治疗,需要对每一个可疑肺结核的患者进行综合的分析和判断。

当出现咳嗽、咳痰等呼吸道症状和发热、盗汗、乏力、消瘦等全身毒性症状的患者,有以下情况,要高度警惕肺结核的可能:
- 持续咳嗽、咳痰超过3~4周,经抗菌治疗后症状没有改善
- 咳血或痰中带血丝
- 发热以低热为主,尤其午后或傍晚最为明显,清晨体温恢复正常
- 艾滋病等免疫功能低下疾病,或者长期吃激素和免疫*制剂抑**,或者正在接受癌症化疗,或者长期透析的患者
- 出现不明原因的关节疼痛和皮肤结节性红斑等变态反应表现,同时有发热、咳嗽的症状
- 有长期的淋巴结肿大
- 不明原因的肛瘘
- 有和开放性肺结核患者密切接触史
注:开放性肺结核是指痰中有结核分枝杆菌的传染性肺结核患者。

对于高度怀疑肺结核病的患者,确诊肺结核最准确的办法是痰结核分枝杆菌检查,也就是平常所说的痰检。痰检包括涂片抗酸染色显微镜检查和培养:涂片检查快速、简便,抗酸染色阳性者,诊断基本上可以成立;其次是痰结核分枝杆菌培养,不过很多非结核专科医院并不具备培养的条件。
因此,问题来了:对于那些通过痰检没有找到结核分枝杆菌但怀疑肺结核患者来说,难道就没有办法诊断了吗?

痰检阴性怎么办?
诊断肺结核就像警察破案一样,如果没有提供现场的照片、录像等直观的犯罪证据,案子也是可以破的。为了确诊肺结核,医生就像警察一样,必须要找其他的非直接证据,证据越多,诊断的准确性越高。
最常用的检查是有三种:
影像学检查,影像学检查不同于显微镜检查,是看不到结核分枝杆菌的,但可以看到结核分枝杆菌所干的“事情”;
结核感染T细胞检测,也就是我们常说的T-SPOT,这是检测人体对结核菌感染免疫记忆的,相当于破案时去找各种证人,证明结核杆菌曾经来过;
PPD试验,类似于模拟犯罪现场,找一个跟罪犯长得像但并不具有破坏力的人,还原结核感染对人体的反应。

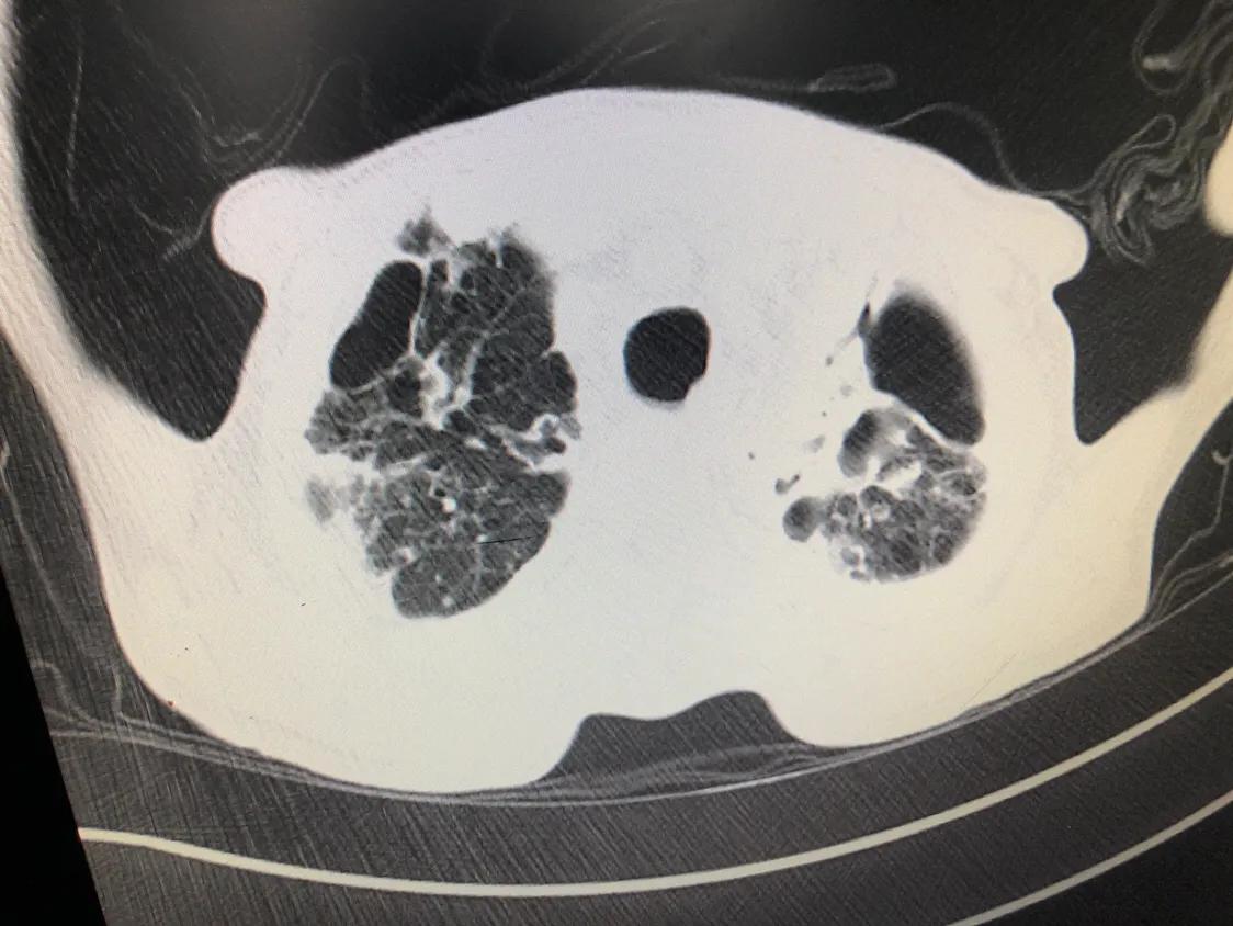
影像学检查怎样诊断肺结核?
影像学检查包括X线胸片和胸部CT。前面讲的几种主要类型的肺结核,各自有不同的表现:
- 原发型肺结核的典型表现是肺原发病灶、淋巴管炎和肿大的肺门和纵膈淋巴结组成的“哑铃状”阴影。
- 急性血行播散型肺结核在X线胸片上表现为散布于两肺野的,分布、密度、大小“三均匀”的粟粒状阴影,故又叫粟粒型肺结核。
- 继发性肺结核是最常见的,其X线表现也是最复杂、多变的,有时很难跟普通的肺炎相鉴别。
CT相对于胸部X线片来说,会更清楚,分辨率更高,能看到更小的病灶,但存在着辐射比胸片更大的缺点。
肺部影像学检查,大多数情况下能提供基本准确的肺结核的诊断,但是仍然有少部分人需要完善进一步的检查,才能使结论更可靠。

T-SPOT
T-SPOT是以T细胞为基础的γ-干扰素释放试验,有比PPD试验更高的敏感性和特异性。
这个检查的原理是,被结核分枝杆菌抗原刺激而致敏的T细胞,在遇到结构类似的同类抗原时,能产生γ-干扰素;对分离的全血或单个核细胞,在特异性抗原刺激后,产生的干扰素进行检测,可以反映机体是否存在结核分枝杆菌感染。
通俗的讲,是采用结核杆菌分泌的抗原刺激人体的免疫系统,看看能否产生在既往感染结核分枝杆菌时同样的生理反应。这是检测人体对感染的免疫记忆的,是一种结核感染的辅助诊断措施,应用越来越广泛。
T-SPOT阳性,反映人体内存在结核分支杆菌特异的效应T细胞,结合患者的临床表现,可用于辅助诊断活动性结核感染和潜伏性结核感染,还对区分结核分枝杆菌和非结核分枝杆菌具有很大的意义。

PPD试验
PPD是结核杆菌纯蛋白衍生物的英文首字母缩写,英文全称是 Purified protein derivative,是结核杆菌的特异性代谢产物,能用来检测人体是否感染结核分枝杆菌,以及感染反应程度的一种生物制剂。
目前常用的PPD制剂主要有两种,一种是人型结核杆菌制成的PPD-C,另一种是卡介苗制成的BCG PPD。用来检测潜伏性或活动性结核感染,但这并非活动性结核的确诊手段。
PPD试验的方法,是用PPD试剂5个国际单位,溶解成0.1毫升,于前臂掌侧皮内注射(注意,不是皮下注射),然后在注射48-72小时后,测量皮丘的直径,从而判断是阴性还是阳性的反应。

PPD试验判断的标准是:
- 直径在5-9毫米,为弱阳性;
- 直径10-19毫米为阳性,这种阳性反应,提示结核杆菌感染,但是不能区别是既往感染还是现在感染;
- 出现硬结,直径大等于20毫米,或者虽然小于20毫米,但有水泡和坏死,称为强阳性反应,提示活动性结核病的可能性大。
不过,如果不做测量,简单的判断办法是,出现硬结、红斑、水泡、风团,可以判定为阳性反应。
- 【特别提醒】
对于发热、CD4+T淋巴细胞小于200的艾滋病感染者,以及重症肺结核患者,可能会出现假阴性。这是因为这些患者体内的抑制性抗体抑制了免疫反应,或者由于大量的T细胞迁移至病灶,而不足以在试验局部产生阳性反应。

血沉
血沉是诊断价值稍弱一点、特异性较差的指标,但在结核的诊断中依然具有重要的参考价值,特别是在判断肺结核的活动性方面。
绝大多数活动性肺结核的血沉高的,而肺部的其他感染引起的炎症,血沉升高不是很多。
试验性诊断/诊断性治疗
对于大多数患者来说,经过以上的这些检查,收集的证据越多,诊断的准确性越高,这种诊断叫做临床诊断。
临床诊断后的患者,应尽快开始抗结核治疗。
而对于一些诊断仍然不是太明确的患者,没有更多的证据,或者以上的检查无法做的情况下。在常规使用不具有抗结核作用的抗感染药治疗两周以后,如果还是没有效果,可以试验性的抗结核或者诊断性抗结核治疗。
诊断性抗结核治疗后,最好每个月检测一次肺部的X线片或者CT,如果病灶有吸收,说明结核的倾向更大;如果两个月没有任何吸收,则要重新考虑诊断。

总结:痰检阴性肺结核的诊断依据
痰检阴性的疑似肺结核患者,具有相应的临床表现,出符合以下条件之一者,可以初步作出临床诊断:
- 胸片或CT显示与活动性肺结核相符的病变 ;
- 临床症状不明显,但胸片或CT提示有与肺结核相符的病变,且PPD试验强阳性或T-SPOT阳性;
- 诊断性抗结核治疗有明显效果。

我是感染科的龙大夫,谢谢您的阅读!
如有问题,欢迎留言或私信。
如果觉得对您有帮助,请点个赞再走呗!