一位很帅气的篮球运动员因肺癌离世,很多网友留言咨询肺癌的早期信号和养肺方法,简要科普一下。为了更好的治疗肺癌,最常用两种分类方法:一种按位置,一种按病理类型。
按照发生位置,分为中心型肺癌和周围型肺癌
相对来说,周围型肺癌手术难度小一些,预后也更好。中心型肺癌因为靠近中央气管和大血管,常常损伤更重。

像这个病灶贴近胸膜,是浸润性肺腺癌,低分化,通过胸腔镜微创手术切除,五六天就可以出院。因为肿瘤已经侵犯胸膜,分化也不好,术后做了预防性化疗,5年多没有复发,提示治愈。

这位老人是中心型肺癌,因为发现比较早,癌细胞局限在做肺下叶支气管,做的左肺下叶完整切除,目前5年多了没有复发。有些中心型肺癌侵犯肺门重要结构,需要扩大切除,比如做一侧肺全切。还有些无法切除,就只能保守治疗了。
按照病理分型,包括小细胞肺癌和非小细胞肺癌。
小细胞肺癌因为发展快,大约只有5%的病人在确诊时属于局限期,具备手术机会。其他的只能通过放化疗为主的综合治疗,延长寿命
非小细胞肺癌最常见的是肺腺癌,其次是肺鳞癌,还有其他比较少见的肉瘤样癌、类癌、腺鳞癌等等。早期肺癌可以治愈!通过螺旋CT肺结节筛查,可以发现很多早期肺癌,提高治愈率。

这位病人才27岁,单位组织体检发现左肺混合磨玻璃结节,随访3个月没有消失,手术病理是浸润性肺腺癌,已经很多年了没有复发。
肩疼不是肺癌的早期信号
有位网友留言说最近总是肩背部疼痛,会不会长肺癌了?我们知道肩膀疼的原因很多,中老年人最常见的还是颈椎病、肩周炎,还有冠心病;当然有少部分肺癌病人也是因为肩膀疼症状发现。
从人类学会直立行走,肩关节就是活动范围最大的关节,其深部还有颈丛神经,体力劳动者、坐办公室的白领很多颈椎病和肩周炎,可以通过颈椎磁共振检查明确。
少部分肺尖部的肺癌,侵犯胸膜后可以出现肩疼的症状,有些属于早期,有些已经是晚期:

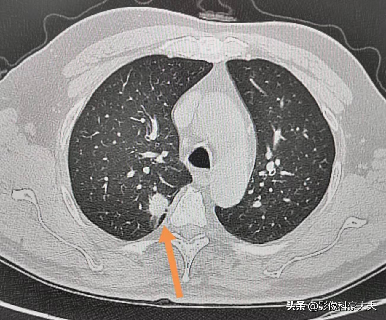
这位病人是因为冠心病、肩背部疼痛做全面检查,结果查出右上肺腺癌,比较幸运,将于近期手术治疗。

这是另一位老人,状况不好,因为左侧肩背部疼痛几个月,一开始吃点止痛药还有效,后来越来越重,影响到晚上睡眠,结果查了CT发现晚期肺癌。
哪种疼痛要重视?
多年的肩周炎*毛老**病一般不要紧。如果是近期出现的肩疼,没有外伤史,尤其同时伴有干咳、胸闷,应当及时到医院做个检查。肺癌早期发现可以治愈!
肺癌最常见的早期症状有干咳、偶尔痰中带血丝、胸闷不适等,如果短时间频繁发作,最好挂呼吸科看看,不要拖。
养肺要注意哪些?
1.最重要的一条就是戒烟!也不要让家人和孩子跟着抽二手烟。
2.关注空气指数,远离空气污染,雾霾天气出行戴口罩。像我国*藏西**青海地区肺癌患者很少见(包括烟民),应该是得益于高原上的清新空气。
3.中老年人重视胸部健康体检。肺癌是最常见的恶性肿瘤,尤其是有肿瘤家族史、慢性间质性肺病患者、工作环境中存在空气污染者,建议每1~2年做一次胸部螺旋CT筛查。

像这位病人,是因为股骨干骨折出院前体检发现的肺癌。这种因为其他疾病而发现肺癌的情况很常见,肺癌的发病率实在太高,要重视体检筛查!
我是影像科豪大夫,分享小病例,传递正能量,欢迎关注!
