爆发性心肌炎(Fulminant myocarditis,FM)为不常见综合征,突发和严重弥漫心肌炎症,经常发生心源性休克、室性心律失常或多系统衰竭引起的死亡。历史上,FM几乎都是尸检诊断的。依据定义,全部FM患者需要正性肌力药物或机械循环支持,维持脏器灌注至移植或恢复。特殊FM类型在指南推荐治疗基础上,对免疫调节治疗有效。
这项科学声明强调了处理FM需要的资源,包括体外生命支持、经皮和持续心室辅助装置、移植能力,以及重度心衰、心胸外科、心脏病理、免疫学和感染性疾病专家。
FM评估与早期处理的潜在线索与陷阱:
1.诊断
(1)年轻患者、明显心血管问题,ACS或新发的急性心衰常见,要考虑心肌炎。
(2)年轻患者、没有典型心血管危险因素、近期上呼吸道病毒感染或肠病毒感染症状和体征,表现为心血管系统症状者。
(3)休克、电不稳定或快速进展传导异常(比如QRS间期增宽或PR延长)的任何患者。
(4)识别右心衰的典型症状和体征,比如右胸痛、肝功异常、黄疸、颈静脉充盈、外周水肿、肝大伴肝搏动。需要与原发性肝胆疾病鉴别。
2.注意事项
(1)早期识别循环不稳定,比如脉压缩小、窦速、四肢发凉或花纹,或乳酸升高。
(2)患者可表现为严重感染后的虚弱。尽管更常见诊断为感染和脓毒症,也可以是严重心肌炎。
(3)脓毒症与继发于心肌炎早期心源性休克的鉴别具有挑战性。
3.初始处理
(1)避免使用室率控制药物治疗窦速(特别是负性肌力药物,比如美托洛尔、地尔硫卓或维拉帕米)。
(2)收缩功能障碍患者,心输出量很大程度依赖于心率增加。
(3)部分嗜酸粒细胞心肌炎,通常表现为FM伴外周嗜酸粒细胞增加(65%患者)、皮疹或肝酶升高时,应考虑超敏性心肌炎。
(4)患者通常发热,120天时死亡、移植或植入VAD风险高。
(5)通常需要EMB明确诊断。
(6)常用抗生素包括β内酰胺类和米诺四环素;某些中枢神经系统药物,比如氯氮平和卡马西平。
(7)避免使用NSAIDs,因其增加钠潴留、损害心肌和加剧肾脏低灌注。
心脏核磁共振2例示例见下图,

心肌炎急性期和慢性期CMR示例见下图,

EMB指征见下图,

心源性休克患者初始治疗流程见下图,

疑诊早期FM的血流动力学稳定患者在急诊初始检查项目见下表,

FM初始处理考虑见下表,

淋巴细胞心肌炎病因见下图,

淋巴细胞心肌炎治疗的部分研究见下表,

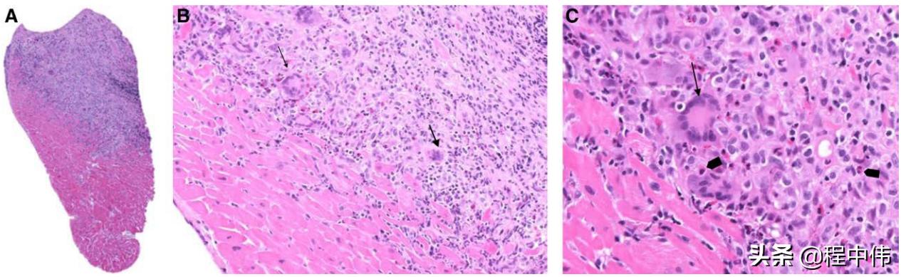
巨细胞心肌炎病理示例见下图,

与坏死性嗜酸粒细胞心肌炎相关药物见下表,

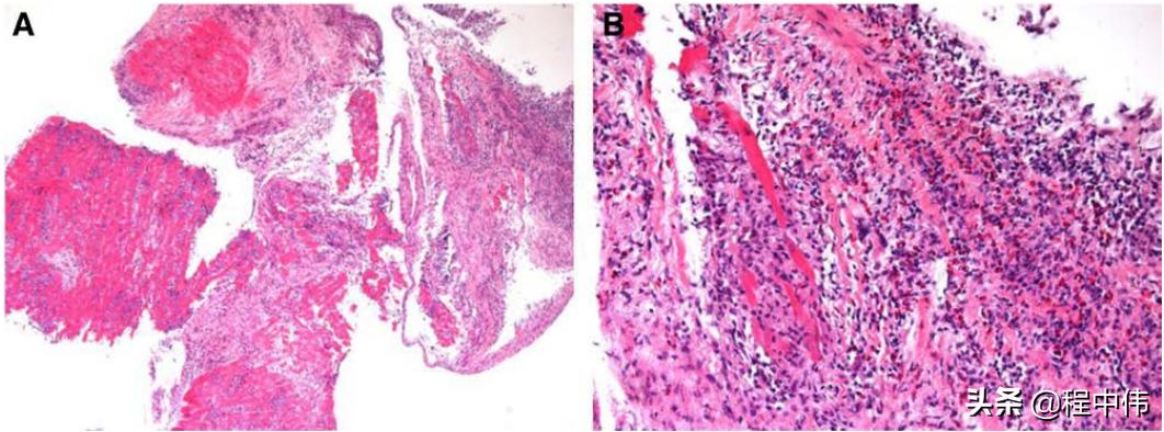
坏死性嗜酸粒细胞心肌炎病理示例见下图,

引起FM的主要心肌炎类型见下表,

Circulation. 2020;141:e69–e92。