小细胞癌约占所有肺癌的15%,是一种典型的癌症类型,由于其进展迅速而难以治疗。
然而,如果癌症是局部的,也就是说,它局限于一个肺部或同侧肺部的淋巴结,它可以用化疗和放疗来治疗。
在这种治疗后被认为是 "几乎消失 "的小细胞癌患者会被给予 "预防性全脑照射 "以减少复发的风险。
预防性全脑照射是一种治疗方法,对整个大脑进行照射以防止复发。 这是因为有很高比例的小细胞癌在大脑中复发。
这是因为在大脑入口处有一个 "血脑屏障",使药物难以进入大脑。 这就是为什么它们经常以脑转移的形式复发,而不是在肺部。 临床试验表明,预防性的全脑照射不太可能引起复发。 这意味着治愈率更高。
预防性全脑照射包括10个剂量的辐射,每个2.5克,每天一次。 这样做了10天,所以每天有25个格子。 它只在工作日提供,为期两周。 大多数病人都是住院的,但也有一些人去医院。 他们中的一些人在下午工作,所以这取决于病人的情况。
事实上,我可以清楚地看到,接受过预防性全脑照射的病人的复发率更低。

世界卫生组织在新的报告中,对世界各国的医疗体系进行了综合比较。
日本因为“高品质的医疗服务”和“医疗负担的平等程度”、“国民平均寿命高”等原因再次蝉联一位。
这个排名,很大程度取决于日本完善的“精密体检”体系。
日本精密体检

什么是日本精密体检?
日本精密体检(人間ドックNigenDock)是指以不管有无自觉症状,定期地通过CT,MRI,超声波等精密仪器,对身体各部位进行的一种精密检查。主要目的是为了检查癌症,其次是各种生活习惯病。它是一项对自我近期健康度检测的重要标准。
检查对象主要分胃、肝脏、肺、肠、心脏、血压、糖尿病、前列腺、甲状腺、子宫、乳房、卵巢等、检查项目多种多样。部分项目的检查需要前一天晚上开始控制饮食,具体内容需要与医院事先确认。精密体检Ningen Dock是日本最标准的癌症检查手段,每年大约有200多万人接受检查。

精密体检为什么去日本
1、彻底排除筛查癌症,以及可能危及生命的重大疾病,如脑血管、心血管、糖尿病等让客户了解自己的健康状况。
2、通过早发现早治疗,挽救生命。就现在世界医疗水平来说,早期治疗是挽救癌症病人生命的关键。而早期治疗必须建立在早期发现的基础上。日本30年成功防癌的经验告诉我们,定期专业的癌症检查是人类现今抵御癌症的最佳方法。
3、最后也是最重要的,日本对早初期癌细胞检测能力世界第一,日本开创了精密防癌检查新时代,日本是全世界癌症防治最先进的国家。在日本进行国际最尖端的早期防癌健康检查,能发现和筛查已知的300多种癌症,能最大程度给生命以保障。

日本精密体检项目

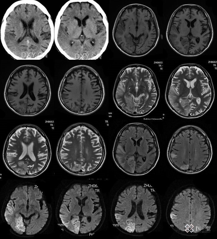
头颅mr影像
脑精密检查:头部MRI・MRA、颈部MRA,可发现造成蛛网膜下腔出血原因的动脉瘤,检查是否有较小的脑梗塞病灶,通过磁场产生图像,人体不会受到放射线的辐射。颈动脉超声波检查,可以发现动脉硬化的进展及管壁的肥厚和狭窄的情况。

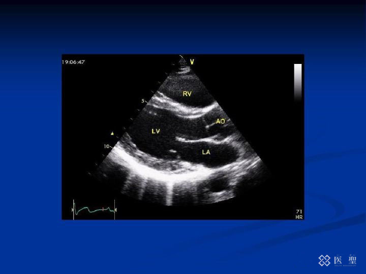
心脏超声波影像
心脏精密检查:心脏超声波检查,通过超声波观察心脏活动的检查;颈动脉超声波检查进行颈动脉成像的检查;PWV(脉搏波传播速度)检查传播到动脉的脉搏波的速度;BNP是从心脏分泌出的一种激素,心脏负担加重时呈高值,可以找出心电图检查无法查到的心脏疾病。

PET-CT
肺部精密检查:痰液细胞学检查、胸部CT检查、PET-CT,主要目的是早期肺癌的发现。
肝脏精密检查:除常规测定的肝胆道分泌的酶之外,还进行纤维化标志物、有关免疫等的检查,本项精密检查除以上多种血液检查之外,还检测肝脏的硬度。
胰腺精密检查:通过MRI检查可拍摄到胰腺分泌的消化液在主胰管中的流动状况。有肿瘤的话,大多就会引起胰管的变化,若主胰管变窄或显示扩张,就需要做进一步的精密检查。

大肠精密检查:大肠内窥镜检查,是从肛门插入内窥镜,直接观察大肠粘膜,为当前诊断早期大肠癌最可信赖的检查法。不单是大肠癌,也是发现溃疡和息肉的有效检查。

妇科精密检查:宫体部内膜细胞学检查,刮片检查就是用采集细胞的器具插入子宫深处取出细胞进行检查;乳房精密检查(外科诊察、乳腺钼靶、乳房超声波检查),使用X光的乳腺钼靶与乳房超声波检查,发现触诊难以发现的小乳癌灶。
骨骼精密检查:骨盐定量检查、骨代谢标志物,目的就是测定骨骼中钙含量,起到预防骨质疏松症的作用,并且,测定骨骼代谢标志物,掌握目前骨骼的代谢状况,一旦患上骨质疏松症时则可对症选择合适的治疗方案。

据日本国立癌症研究中心发布的《2008-2009年5年生存率结果》显示,日本在10年前的整体癌症5年生存率,就达到了65.8%,这个数据即便在全球范围也十分卓越。
长期以来,日本的医疗机构秉持 “提供高质量医疗服务”、“尊重客户的尊严和隐私”、“给予客户充分、清楚的说明”、“尊重客户选择的自由”以及“守护客户健康生活”的五大理念,给予客户更好的就医体验。
发现问题后, 还可以快速集合院内各科室专家进行会诊,跟进客户后续治疗,让客户全程无后顾之忧。
关注我们,带你了解更多干细胞再生前沿资讯,私信获取更多信息。
