点击「神经介入在线」可快速关注
颅内静脉窦血栓是缺血性脑血管病的一种,占全部脑血管病的1%。颅内静脉窦血栓起病隐袭,不容易被认识,容易误诊和漏诊使病情加重,甚至死亡。
颅内静脉窦血栓的原因多种多样,如感染、脱水、口服避孕药、外伤、凝血异常、肿瘤等等。其中,高凝状态是我国目前颅内静脉窦血栓发病的主要原因之一。
颅内静脉窦血栓最大的特点是死亡率高、复发率高。 目前,这个疾病的关键是早期诊断,一旦诊断正确80%的病人能够控制症状,并生存下来。近期,我们治疗了2个病人。和大家分享一下。

病例1
基本信息:患者女性,46岁。因“突发神志不清伴有右侧肢体无力1天”,2015-12-23入院,神志昏睡状,GCS评分3+1+5=9分,左侧瞳孔4mm、对光不明显,右侧孔2密码、,对光迟钝,左侧肢体刺痛定位,右侧肢体无活动。
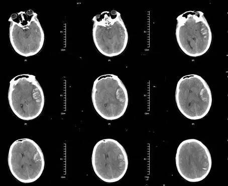
▼头颅CT提示:左侧颞顶叶血肿。

诊治经过:考虑存脑疝,予开颅血肿清除+去骨瓣减压术,,术后予降颅压对症治疗。考虑患者可能存颅内静脉窦血栓,行MRV及全颈脑血管造影术,示“左侧横窦闭塞 矢状窦、右侧横窦血栓形成”。予华法林抗凝治疗。出院PT-INR:2.11。门诊随访中。
▼影像资料


病例2
基本信息:患者女性,24岁。产后第3天,因“突发四肢抽搐4小时。” 2016-03-09入院。神志嗜睡状,GCS评分3+5+6=14分,四肢肌力V级。
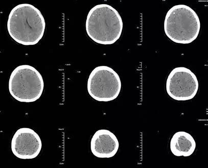
▼头颅CT如下。

▼头颅CTV。

▼头颅MRV。

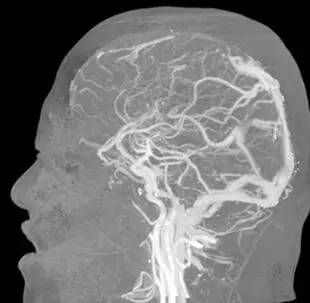
▼全颈脑血管造影术。

诊治经过:予口服华法林现PT-INR:2.45,现门诊复查随访。
心得
1.要有对该病的警惕性。只要你想到了,选择CTV/MRV一般就可以明确了。
2. 在基层医院最简单的办法是通过眼底镜检查,如果眼底水肿提示有颅高压,需要做腰穿,通过眼底检查和腰穿可以初步诊断颅高压;结合D-二聚体检查显著升高,可以初步诊断颅内静脉窦血栓,这是在基层卫生院都可以做到的。上一级医院可以做CT。颅内静脉窦血栓的CT检查非常有特点,可对后颅窝脑组织进行薄层的连续扫描,可以发现条带状沿着静脉窦走行的高密度信号。也可以做核磁或脑血管造影检查。核磁MRV检查没有创伤,而且能够明确窦的闭塞和脑组织缺血损伤及脑内出血情况,进一步明确诊断。而最终的诊断金标准是血管造影检查(DSA),能发现静脉窦的血栓位置,还能显示引流静脉,同时提示脑血 流动力学异常。确诊是不是颅内静脉窦血栓,通常核磁、CT、造影其中的一项检查就能够判断,但是因为这个病相对少见,当一种方法拿不准的时候可以用另一种方法进一步证实。
3. 颅内静脉窦血栓治疗主要有:抗凝、溶栓和介入治疗。首选的治疗方法是抗凝治疗,不管病人有没有发生颅内出血,不管症状多重,一旦发现颅内静脉窦血栓马上进行稳妥的抗凝治疗,可以改变血液的高凝状态,让血栓不再延伸,控制病情进展。抗凝治疗也是最好的降颅压的方法,一旦静脉窦血栓缩小了,颅压自然会降下来。第二种方法是溶栓治疗。第三种方法是是介入治疗。
抗凝是其他两种治疗方法的基础。INR比值控制在2—3之间是比较理想的抗凝指标。指标在这个范围之外稍有波动,不需要那么担心,小的波动相对来说还是安全的。

欢迎广大医生积极投稿,分享经典病例。
投稿邮箱:sjjrzx@hh-medic.com