上门牙是我们的门面,一张口说话,与人沟通交流就会首当其冲。门牙颜色斑驳、参差不齐等会影响一个人的形象。若是上门牙不小心磕掉一块,更是难以露齿,大是影响美观怎么办?

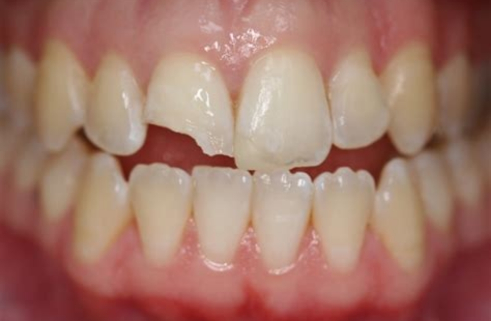
门牙部分缺失
莫急,口腔医生给你支支招,一起学习应对方法。
上门牙不慎却掉一块,怎么办
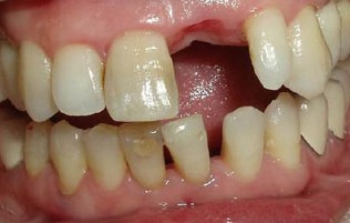
门牙位于口腔前方,是我们的门户,也常常抛头露面。因此,当口腔不慎遭受巨大外力时,上门牙往往首当其冲,折裂一块在所难免。当不慎缺失一块牙体组织,怎么办呢?

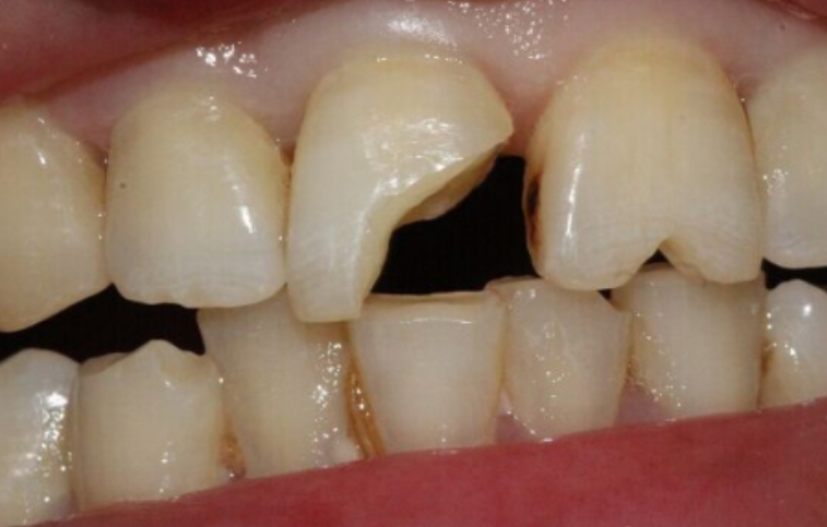
门牙折裂
常见的治疗方法有以下:
01.未累及牙神经
面对外伤磕碰少掉一块的牙齿,首先我们要检查牙齿情况,是否还有其他折裂及松动情况。其次,我们需要拍摄口腔X线片评估是否有根折等情况。
若是缺损较少且未累及牙神经,观察一段时间后,予以树脂修复,一样可以恢复美观。

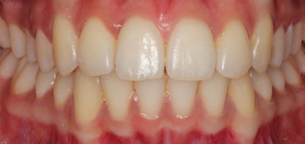
前牙修复
02.累及牙神经
若是牙体组织缺失较多,已经明显累及牙神经的情况。我们需要评估牙齿根尖发育情况,未完成则行根尖诱导成形术;已经发育完成,则行根管治疗。
待治疗完善后,予以全瓷冠修复,对于牙齿的美观性能恢复较佳。

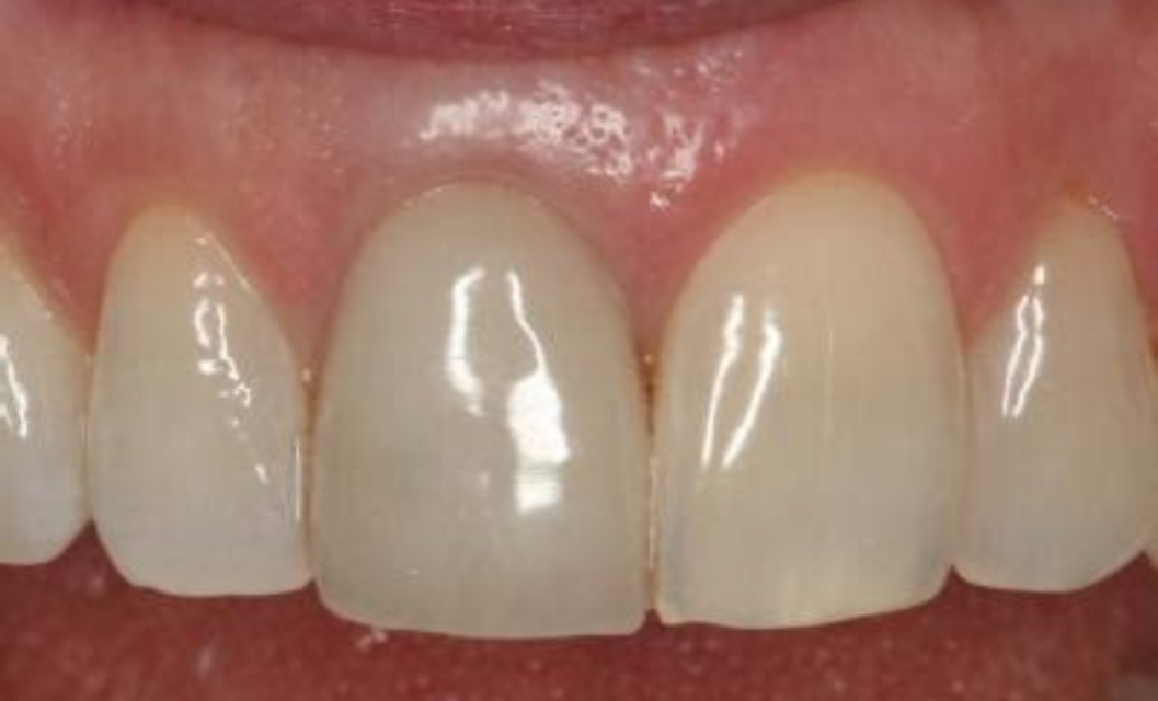
冠修复
03.牙体组织破坏大
若是外力引起牙齿折裂缝过多,松动明显,甚至引起周围骨组织的破裂。经完善相关检查后,评估无保留价值者,则需要及时拔除患牙,待拔牙后3个月,选择适宜的方式修复缺失。

拔牙
总结:门牙位于口腔前面,一张口就可以瞧见,若是不慎发生缺失,严重影响美观。口腔医生建议你及时就诊,评估牙神经状态及余留牙齿情况,制定适宜的治疗方案。一口整洁且完美无缺的好牙,可以露出微信,走出自信,吃嘛嘛香!
@生命召集令 #生命召集令超能团# #成都头条# #头条健康#