点击「神经介入在线」可快速关注 病情介绍
》女性,74岁,主因“意识不清2小时”入院。
》既往有高血压病史5年,冠状动脉粥样硬化性心脏病、心房颤动病史3年。
》入院查体:中度昏迷状态,压眶反射存在,双侧瞳孔不等大,右侧瞳孔d=4mm,左侧瞳孔d=2mm,对光反射迟钝,四肢肌力检查不合作,双侧巴氏征阳性,脑膜刺激征阴性。
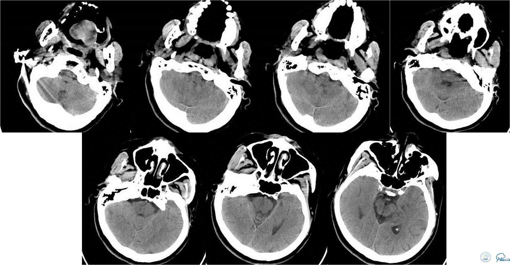
入院时急查颅脑CT(发病2.5小时)


入院时颅脑CTA(发病4小时)


实验室检查
血液分析
急查凝血分析
急查肝功能、肾功能、电解质
急查病毒标志物
均无明显异常!
发病5.5小时给予股动脉穿刺
发现股动脉入路很差,考虑经桡穿刺。

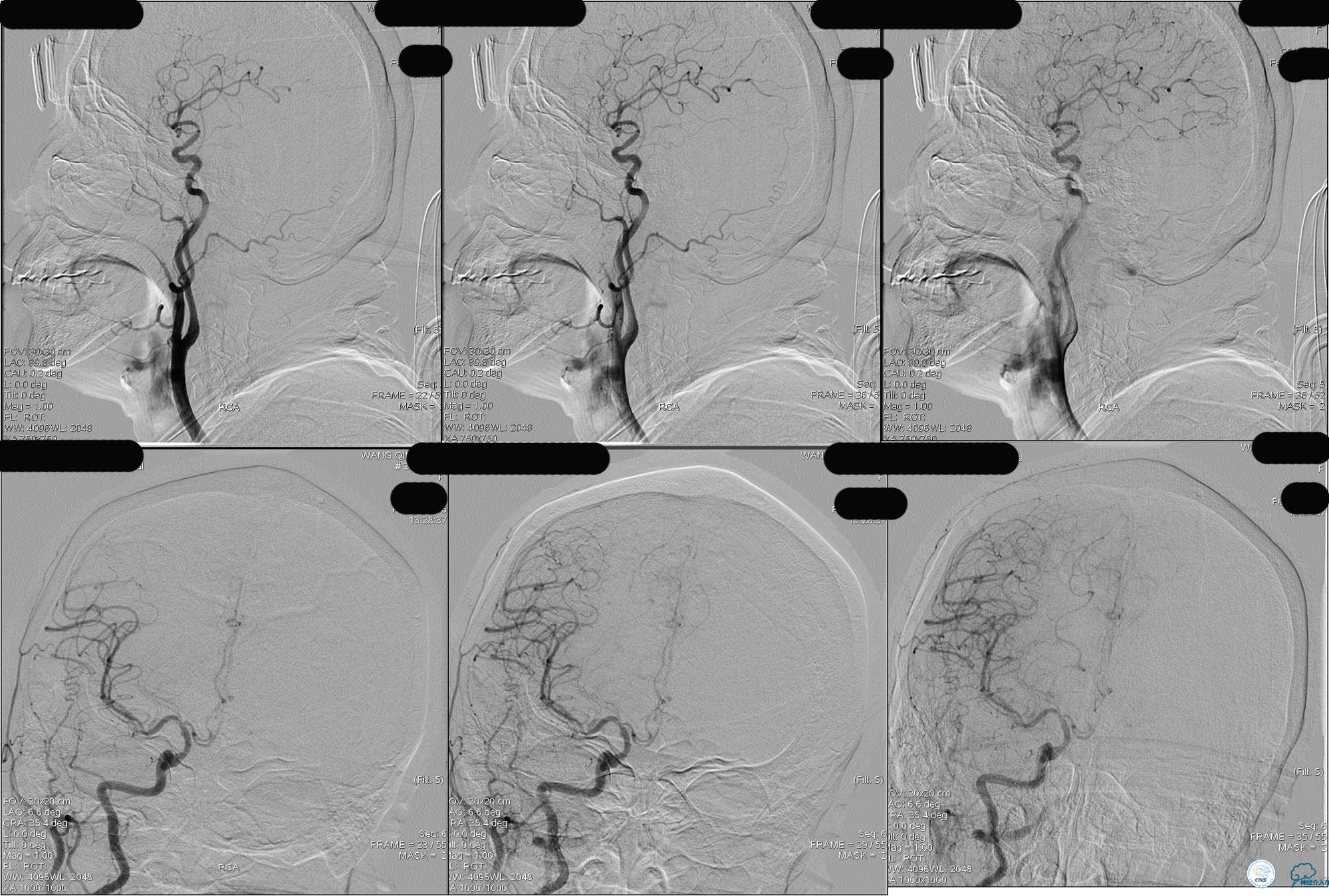
》DSA资料(左侧颈动脉)

》DSA资料(右侧颈动脉)

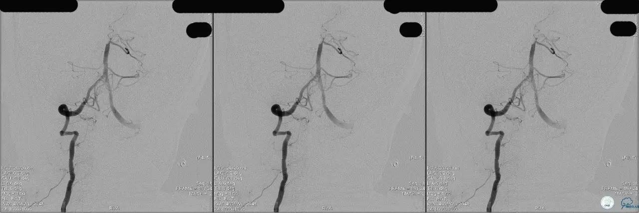
》DSA资料(左侧椎动脉)

》DSA资料(右侧椎动脉)

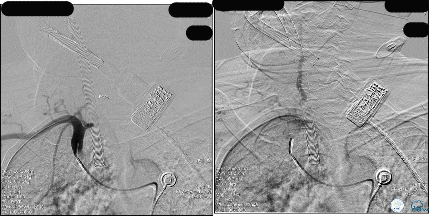
》DSA资料(经桡动脉,5F导引导管)

》DSA资料(右侧椎动脉)

》DSA资料(前2次取栓,未取出,soli 4-20)

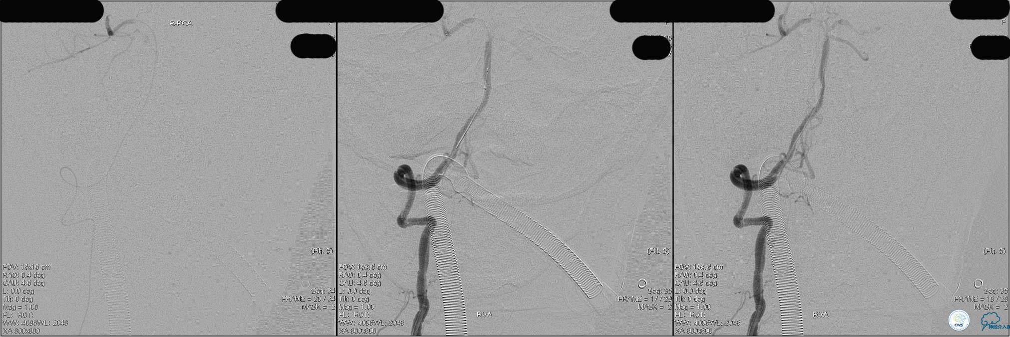
》DSA资料(第3次取栓)

第3次取出血栓

》DSA资料(第3次取栓后,发病10h)

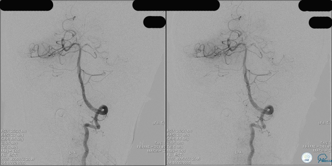
》DSA资料(观察30min后,左椎造影)

术后
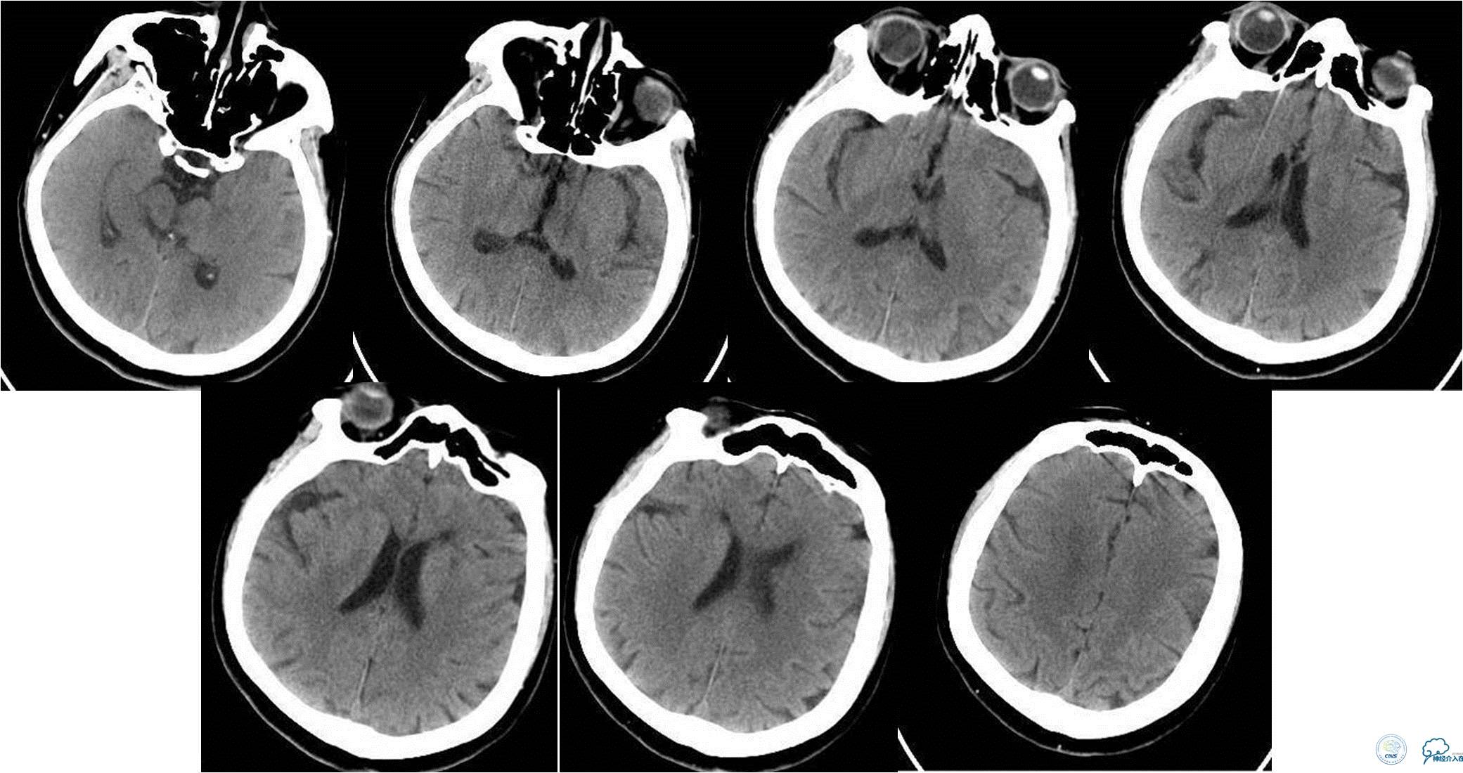
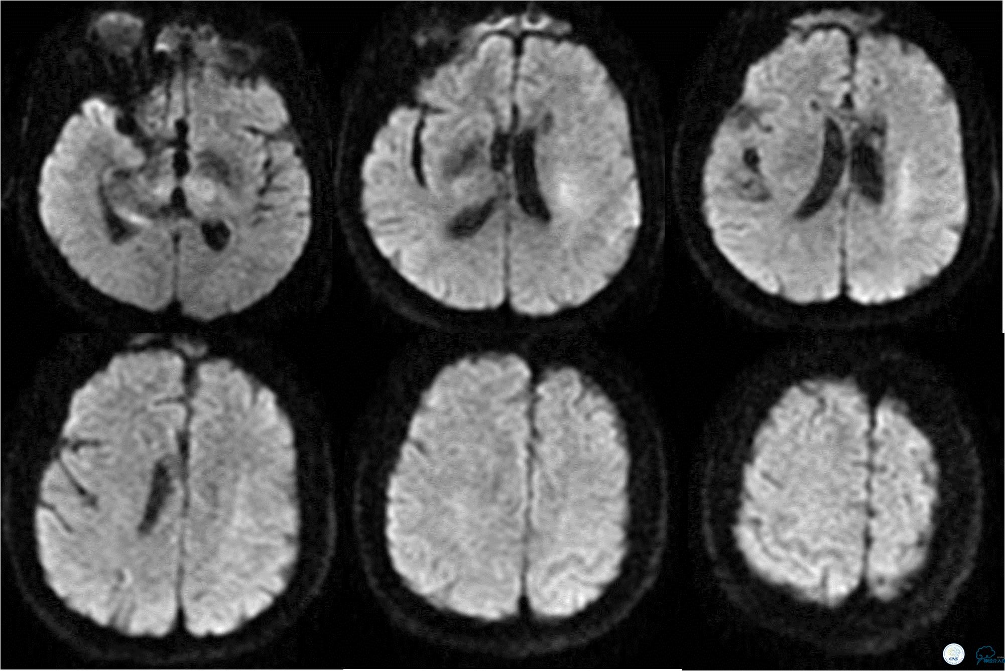
》术后10天,复查MRI


》术后情况(转入重症监护室病房)
★术后停*醉药麻**物8小时后,患者仍处于深昏迷状态,右侧瞳孔d=3mm,左侧瞳孔d=2mm,对光反射消失,无自主呼吸,给予气管插管接呼吸机辅助呼吸。
★术后23小时:意识状态好转,为嗜睡状态,呼之可睁眼,但仍无自主呼吸。
》术后情况(监护室住院30天)
★术后第5天,开始出现自主呼吸,并停用呼吸机,给予药物治疗及康复治疗,四肢肌力逐步恢复。
★术后30天(出院时):言语仍不流利,但可以独立行走,此时mRS评分2分。
》出院后2月随访
患者已经可以生活自理,mRS评分仍为2分。
讨论要点
1. 基底动脉尖端的急性闭塞,病情发展迅速,并且较为凶险。在入院CT做完评估之后,是否可以立即给予静脉溶栓桥接治疗?
2. 患者自主呼吸恢复较慢,5天恢复正常。与手术操作有关吗?是否影响了右侧小脑后下动脉?
手术经验总结
★后循环取栓病人,若股动脉入路较差,可以考虑经桡动脉进行。
★基底动脉尖端的血栓偏向哪侧,应该将Solitaire支架放入同侧的大脑后动脉,这样取栓的成功率较高一些。
神经介入中心展示
135编辑器
135编辑器提供非常好用的微信图文编辑器。可以随心所欲的变换颜色调整格式,更有神奇的自动配色方案。

