猫咪跑酷,上蹿下跳,外出探险...
回家后发现家里猫咪出现跛行,会不会是骨折?

除外伤外骨折还有一些病理性原因 一般来说单纯骨折没有生命危险
当猫咪受到惊吓、外力冲撞、跌倒,坠落、车祸时,骨折是最常见的外伤表现。
今日小课堂:猫咪常见的骨折有哪几种?什么情况下猫咪容易出现骨折?骨折后应该怎么处理?
一起来看看吧!
Q1:哪个年龄猫咪更容易骨折?
根据受伤前骨质是否正常,可分为:
➤ 创伤性骨折:创伤性骨折猫咪比较年轻,平均年龄3岁左右。一般由于车祸,运动,咬伤,坠楼导致。
➤ 病理性骨折:出现非创伤性骨折的猫咪年龄一般偏大,平均年纪13岁左右。比如代谢性骨病(骨质疏松,骨囊肿),肿瘤,骨髓炎,慢性肾病等。
Q2:猫咪常见骨折部位有哪些?
四肢骨骨折
最常见的骨折。绝大部分由外伤(不合理的运动,冲撞,跌倒等)导致。6个月以下或肥胖的猫更为常见。

猫四肢骨骨折 图自:猫研所动物医院
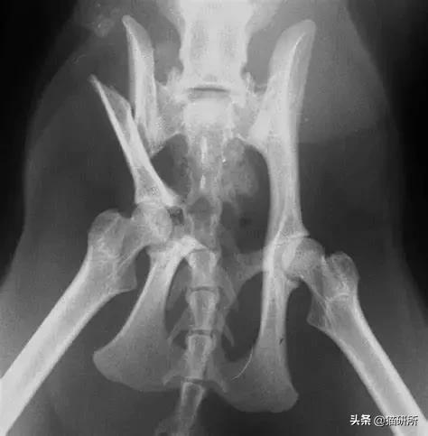
骨盆骨折
猫第二常见的骨折,骨折病例中约25%的病例是盆骨骨折。
最常见的原因包括高处坠落和车辆创伤。
当猫咪盆骨骨折时,除运动异常外,需要注意猫咪是否出现神经功能损伤,排尿排便功能是否正常。

图自:猫研所动物医院
下颌骨骨折
除外伤外,老龄猫严重的牙周病伴随骨骼损伤,肿瘤等疾病,容易导致下颌骨骨折,导致猫咪自主进食困难。

猫咪下颌骨骨折 图自:Bored Panda
尾部骨折
尾部拉伤,在猫咪中比较常见。
轻微骨折很难发现,注意猫咪是否有排尿排便的异常,运动功能是否下降。通常,在没有这些异常情况下,尾部骨折不用手术处理。

尾骨骨折 图自:猫研所动物医院
肋骨骨折
猫的胸腔结构让猫咪更少出现肋骨骨折。
研究显示:车祸导致的骨折中猫咪只有1.6%出现肋骨骨折,但患有心脏、肺部疾病、肿瘤的老年猫咪容易出现非创伤性肋骨骨折。
Q3:怎么判断猫咪是否骨折?
猫咪骨折的一般症状:疼痛,出现跛行,患肢不能站立,异常活动,患处有骨磨擦音。
轻微的骨折通过观察和触诊很难确诊,建议X光片检查确诊。

猫咪出现跛行 图自:whiskerdocs
Q4:当发现猫咪骨折时我们应该怎么办?
1.有外伤时,注意止血和消毒
如果猫咪骨折后有明显外伤,首先应该局部止血;
注意局部消毒和简单包扎处理;
在初步处理的过程中,确定猫咪骨折的部位和严重程度。
2.减少患肢的移动,避免病情进一步恶化
如果发现猫咪明显骨折,应减少患肢移动:避免患肢弯折,减少颠簸,并及时送医。
送医过程中如果猫咪乱动可以使用毛巾包裹,避免进一步损伤,加深猫咪的痛苦。

毛巾减少猫咪乱动. 图自:wikiHow
3.送医就诊
确定猫咪基本情况后,进行拍片检查,确定骨折的具体情况。
猫咪骨折没有得到正确的处理,可能导致持续损伤或骨骼畸形愈合,引起猫咪终身运动异常、无法正常行走。
当有严重外伤导致内脏问题时,甚至有生命危险。
Q5:猫咪骨折是否需要手术和外固定?
什么情况可保守治疗?
若轻微骨裂和部分骨折,检查确定不影响猫咪正常生活,不造成持续损伤的情况下,可以视情况保守治疗。
年轻猫咪(6月龄以下)骨折后,恢复能力比老年猫更强。
手术的最佳时期
若需要手术的猫咪,建议在一周以内择期手术,等待时间过长,会增加手术和术后恢复难度。

骨折手术治疗 图自:wikihow.pet
需要外固定吗?
一般猫咪骨折不建议外固定治疗。
这是因为猫咪天*爱性**攀爬跳跃,外固定常常容易脱落,并且固定效果不好。
因此,这就更需要家长更多关注术后的养护,适当限制猫咪的运动。

图自:wikiHow
Q6:猫咪手术后,需要注意什么?
➤ 手术后24小时内,猫咪可恢复正常饮食;
➤ 术后3-5天,注意炎症和疼痛控制,根据具体情况决定用药时间;

图自:猫研所医院
➤ 注意伤口护理,避免出现伤口感染情况;
➤ 注意肌肉组织愈合,激光疗法和适当的按摩可以减轻肿胀和浮肿,有利于组织恢复;
➤ 康复训练:骨折慢慢恢复后,大概一周左右,在帮助下可以进行步态恢复训练,加快肌肉组织恢复;

图自:猫研所医院
➤ 保证恢复期间营养,但不要营养过剩;
➤ 按摩和康复训练建议在医生指导下完成。

图自:猫研所医院
Q7:怎样防止猫咪出现骨折?

避免猫咪骨折 图自:wikiHow
➤尽可能避免惊吓和外伤,高楼饲养的猫咪需要注意门窗,避免猫咪高楼坠落。
➤适当的运动,避免跌倒等意外情况。
➤控制猫咪体重,减少四肢骨负重负担。

胖猫咪更容易出现骨折 图自:nitidlife
➤注意猫咪口腔问题,避免严重牙周问题,导致猫咪下颌骨骨质损伤,定期体检。
【今日所长互动】
你家猫咪有从高处跳下时,“脚滑”的经历吗?
//////////
参考文献:
[1]. Couper E, De Decker S. Evaluation of prognostic factors for return of urinary and defecatory function in cats with sacrocaudal luxation. J Feline Med Surg. 2020. doi: 10.1177/1098612X19895053
[2]. Gant P, Asztalos I, Kulendra E, Lee K, Humm K. Retrospective evaluation of factors influencing transfusion requirements and outcome in cats with pelvic injury (2009-2014): 122 cases. J Vet Emerg Crit Care (San Antonio). 2019;29(4):407-412
[3]Adams C, Streeter E M, King R, et al. Retrospective Study: Cause and clinical characteristics of rib fractures in cats: 33 cases (2000–2009)[J]. Journal of Veterinary Emergency and Critical Care, 2010, 20(4): 436-440.
[4]Schwartz G. Spontaneous capital femoral physeal fracture in a cat[J]. Canadian Veterinary Journal-revue Veterinaire Canadienne, 2013, 54(7): 698-700.
[5]Harari J. Treatments for feline long bone fractures[J]. The Veterinary clinics of North America. Small animal practice, 2002, 32(4): 927.