刘医生坐诊时,经常碰到家长带着孩子来咨询孩子为什么牙龈老是会出血,特别是在刷牙后出血更严重,检查后发现孩子牙齿表面有大量软垢,牙龈红肿,判断是牙龈炎症。

何谓“萌出性牙龈炎”?
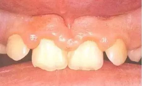
儿童患上牙龈炎症又叫“萌出性牙龈炎”,一般是因为口腔卫生不良导致的,症状表现为牙齿红肿,表面发亮,用手清除牙龈就会出血,一般情况下孩子呼吸过大也会导致出血。
造成炎症的原因主要有两点:
1、嘴巴咀嚼东西导致的口腔污染或者口腔粘膜受损;
2、孩子吃东西后没有及时清理口腔环境,导致细菌滋生、发酵,刺激口腔粘膜,使牙龈红肿;

处于萌牙期的孩子,因为牙齿萌出刺激到牙龈,会有发痒的迹象,他们就会想着去咬东西,让牙齿舒服点,所以都会咬手指、玩具、笔等一些东西。
这些东西都会让孩子娇嫩的口腔粘膜受到感染,导致粘膜受损;另一方面因为孩子每次进食后,总有一部分食物残留在口腔中,如果这些食物残渣没有得到清理,会刺激到牙龈,引起牙龈发炎,甚至让牙齿脱钙,导致蛀牙等。

孩子牙齿发炎怎么办?
一般情况下轻微的牙齿出血不必到医院治疗,只需在牙龈局部涂一层1%碘甘油液,就能够很好的治疗了;如果发现出血严重那就需要到医院找医生进行牙周洁治,以防炎症扩散。

家长在日常中要注意孩子的不良口腔习惯,不要让孩子咬东西,可以使用安抚奶嘴;进食后要给宝宝喝开水,防止口腔内食物残渣遗留,保护口腔内部清洁。