患者提问:做完根管治疗之后,这颗牙齿还能吃饭用吧?不会碍事儿吧?(患者有一颗牙齿是根尖周炎)
回复:可以正常吃饭使用,不过需要注意不用这颗牙咬特别硬的东西,以免损伤到修复体。

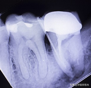
根管治疗后的牙齿
根管治疗后的牙齿,内部疼痛得以缓解,整颗患牙保留了下来,但是因为失去了牙神经,内部内清空,失去了输送营养的“通道”,所以整颗牙会变脆弱,需要做个牙冠,或者是使用其它修复体,将其修复保护起来,方可正常使用。

使用注意事项
治疗修复后,不要直接开始就吃特别硬的东西,让牙齿逐渐适应一下。
做好牙周卫生,定期洗牙,保持好口腔卫生,谨防牙周病,因为牙周病不仅影响自然牙的健康,还会影响到修复体的稳固。
牙冠或者修复体出现异常问题,及时问医生,尽量不要自行处理或者置之不理。
根管治疗的目的就是让患牙能再次正常使用,恢复咀嚼力。

两个要点能帮你了解根管治疗
1、根管治疗解决了牙齿内部问题,后期又对患牙进行了修复,使得患牙可以恢复正常使用。
2、治疗修复后的牙齿不能老咬硬物,注意做好牙周卫生,定期检查,就能很好地使用下去。