最近有网友问我,听有人说腔隙性脑梗死不算是真正的脑梗死,也不会引起什么症状,其危害远远小于真正的脑梗死,问我是不是这么回事儿?当然不是。 腔梗的全称是腔隙性脑梗死 ,属于小穿支动脉闭塞导致的 小范围的脑梗死 , 也属于脑梗死 。

什么是脑梗死?
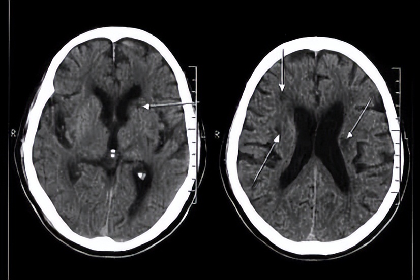
给脑部供血的动脉血管堵塞引起的神经细胞因为缺血缺氧而造成的坏死就叫小 脑梗死 。大动脉血管闭塞引起的较大体积的脑组织坏死,症状往往较重。而腔隙性脑梗死呢,往往是大的动脉血管分出的单个的小穿支动脉血管,这个直径呢大概在 0.2到0.8毫米 ,这一类血管闭塞所引起的,这一类梗死的体积和范围往往比较小,脑梗死 病灶直径 往往在 0.2到15毫米 之间。由于脑组织很软,缺血坏死以后啊,往往会出现液化性坏死,因此呢,在脑梗死的后期,脑组织液化以后就会 留下个小洞 ,这个洞就是所谓的 腔隙 。 也就是说腔隙性脑梗死是小动脉血管闭塞引起的 。

那么是什么原因引起了小动脉的闭塞呢?
最常见的原因就是 高血压、高血脂、高血糖 等问题,其次呢,与 低密度脂蛋白 胆固醇的升高,与 吸烟、酗酒 都有关系。另外呢,少部分人还可能与基因遗传有关系。有人说腔梗不引起症状,这种说法是错误的。尽管腔梗的病灶体积小,如果影响到脑部的重要结构,比如说基底节的内囊区,或者是脑干等等重要的位置,完全可以引起单个肢体或者是偏侧肢体的瘫痪,或者是麻木等感觉异常,还可以引起语言的障碍。另外呢,腔梗往往不是单发的,三高等问题,它不可能只破坏脑部的一根小血管,也就是说 腔隙性脑梗死往往都不是一处 ,而多发性的腔梗甚至会 引起痴呆,步态异常,大小便障碍 等多种问题。

但是很多人会说,我体检中发现了腔梗,平时并没有赵大夫所说的那些症状,这就是是腔梗的一个特点,也是很多人说腔梗无害论这个健康误区的来源。去年在我国的一项 研究中表明 ,腔梗患者中有 超过30%的人是没有明显症状的 ,但是这类人在未来的 5至10年中 ,腔梗的 复发率极大 。因此,腔隙性脑梗死就是脑梗死的一种,无论是从发病机制还是病理基础来说,它确实都属于脑梗死。只是呢,这类疾病在早期的症状相对轻微,甚至近一半的人可能没有明显的症状。

与面积较大的脑梗死相比,它的致残率和致死率确实也相对较低。但是,对健康的危害还是有的,特别是对病人五年,十年以后的健康状态还是有一定的影响。因此呢,发现腔梗,虽然不需要过度的慌张,一定要 严格控制,让血压、血糖、血脂等指标达标 ,并且呢,注意 戒烟限酒,适度锻炼,合理饮食,规律作息才是关键 。

我是北京东直门医院赵大夫, 你的体检上是否检查出脑梗呢 ?或者您有关于心脑血管方面的问题都可以写在评论区,我将为您解答。