张先生是一位开火锅店的小老板,经营了一家炎锅店。由于味道好,餐馆的回头客多,经营得红红火火。他为了保证香料的味道,每天都亲自采购,虽然辛苦,但也得到了相应的回报。
详细交谈后得知,张先生有阵发性头痛一年多,主要为左侧枕部的头痛。但他忙于生意,以为是劳累所致,未把头痛放在心上。可最近一个月内,张先生头痛的程度及发生次数明显增多,这严重影响了他的状态,耽误餐馆经营。为了寻求病因,就来医院向专家问诊。
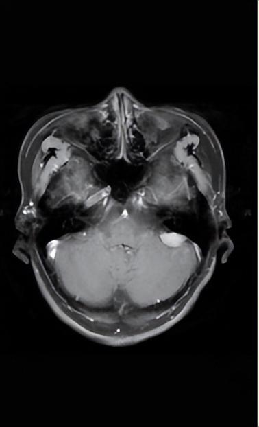
了解张先生的病情后,完善相关检查。查体:左侧耳鸣,但听力仍与右侧保持一致,右侧无明显面瘫情况;眼球活动灵敏;吞咽无呛咳,耸肩有力,伸舌居中。头颅MRI(核磁)(图1)显示左侧桥小脑角区有一异常信号,考虑是脑膜瘤。

图1所示:左侧桥小脑角区有一异常信号
张先生着急得询问我治疗方法,我告诉他,为解决目前耳鸣、头晕、头痛的症状,决定积极进行手术治疗。沟通后,张先生表示理解,并同意手术治疗,签署知情同意书。在爱人的陪伴下,积极进行术前检查与术前准备。
经评估后,张先生没有手术相关的禁忌症,故拟对张先生行左侧额顶部占位性病变切除术、颅骨修补术。在告知要进行手术切除时,张先生很紧张,一直比较焦虑和担心,害怕手术不顺利和疼痛,在留意到张先生的情况后,我一直安慰他:"您别紧张,手术要打麻药的不会太疼的,手术医生也都是很专业的!"听完,张先生终于松了一口气。手术很成功,占位病变全部切除,送至病理科做病理活检确诊性质。病理结果确诊为脑膜瘤(WHO1级)。

(图一:病理活检提示脑膜瘤WHO1级)
张先生术后进行对症支持治疗,同时嘱咐其爱人,术后应加强营养,多吃高热量、高蛋白的食物,并做到营养均衡,有利于身体恢复。在卧床期间,应及时给其翻身,避免形成压疮。同时需观察是否有颅内压升高、失语、偏瘫等症状,如有异常,及时告知医护人员,及时对症治疗。张先生术后经过爱人细心的照料,恢复得较好。

在术后第3天,张先生一般状况允许后便陪同他至耳鼻喉科,进行专业听力测定,结果完全正常。张先生的家人悬着的心终于放了下来。术后7天,顺利拆线后出院。治疗效果较好,张先生恢复满意。