如何才能做到神经内科疾病的准确诊断?除了具备扎实全面的知识外还应当养成正确的思维方式。下面请看医学专家为您用实际病例详解神经内科医生诊断疾病的思维方式。
病例1:患者,女性,50 岁
主诉:右上肢僵硬感2年,四肢僵硬感1年。
现病史:反复发作性右上肢僵硬2年,表现为右前臂肌肉僵硬,右手指屈曲,难以伸开,每次持续1-2 分钟,按摩后可逐渐缓解,多在静止状态下发作,每天发作数百次,发作时神志清楚,可自我控制。四肢发作性僵硬感1年。2007年出现眼睑水肿、尿频,外院行肾脏穿刺活检示“肾小球系膜轻度增生”。
既往史:否认高血压、冠心病、糖尿病病史,否认手术外伤史,否认食物药物过敏史。
家族史:患者父亲因“肺癌”死亡,母亲罹患“肾病”,出现尿毒症。兄弟姐妹共 6人,三个哥哥长期存在头痛。患者育有一子,目前健康
体格检查:血压 100/70mmHg,可见发作性肌肉痉挛,四肢肌容积正常,四肢肌力5 级,双侧膝腱反射(+++),双侧Hoffmann 征、Rossolimo 征、Babinski 征均阳性
辅助检查:尿常规:尿隐血2+ (80 cel/ul)。 (镜下血尿)
尿肾功5 项:尿微量白蛋白27.01 mg/L (0-20)、尿转铁蛋白0.1 mg/L (0-5)、尿免疫球蛋G 68.12 mg/L (0-17.5)、尿a 1 微球蛋白0 mg/L (0-6)、尿α2 巨球蛋白0.01mg/L (0-4) (肾脏滤过重吸收功能异常)
腹部超声和CT 检查提示:左肾小囊肿
MMSE:25 分,MoCA:26 分,汉密顿焦虑量表:19 分,汉密顿抑郁量表:17 分
血压动态监测:24 小时血压均在正常范围
全脑DSA:未见异常
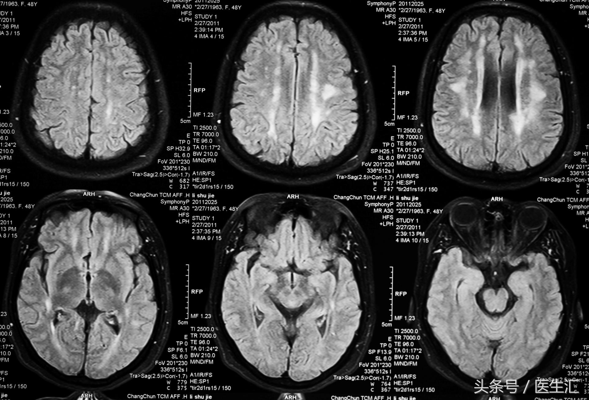
头颅MRI:(见图1)

专家判读:双侧弥漫脑白质病变
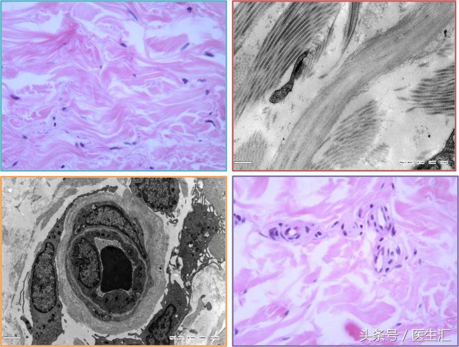
皮肤下组织活检(见图2)

专家判读:皮肤下胶原粗大紊乱,电镜下胶原破坏;小血管基底膜增粗增厚。
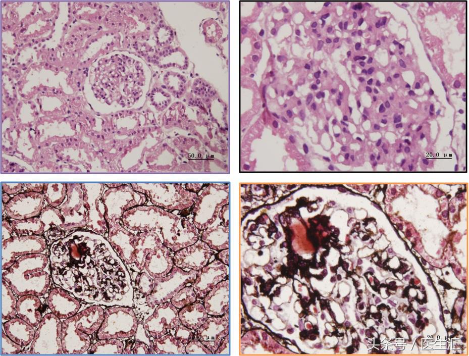
肾活检(见图3)

专家判读:肾小球基底膜增厚。
基因检测(见图4、图5)


诊断:COL4A1基因突变综合征
病例2:患者,女性,46岁
主诉:走路不稳,手足麻木30余年。
现病史:14岁开始发现走路不稳,手足麻木。
既往史:否认高血压、冠心病、糖尿病病史,否认手术外伤史,否认食物药物过敏史。
个人史:自幼易腹泻,尤其进食含脂肪的食物,限制进食含脂食物可减轻。27岁左右视力下降。
家族史:无特殊
查体:双侧巩膜轻度黄染,视网膜色素变性,右侧视力下降,步基宽,Romberg征阳性,指鼻试验和轮替运动基本正常,四肢音叉振动觉和关节位置觉下降,手袜套样针刺觉减退,肌力正常,四肢腱反射降低,Babinski征阴性。
辅助检查:血浆胆固醇<0.1 mmol/L [正常1.3] ,甘油三酯1.8 mmol/L [正常 5.2],显著降低
VLDL 和 LDL未能检测出
血液涂片(见图6)

专家判读:棘形红细胞增多。
基因检测:MTP基因13号外显子点突变(1783C>T)(见图7)

诊断:Bassen-Kornzweig综合症
病例3:患者,男,26岁
主诉:左手疼痛,左小指不能伸直半年。
现病史:半年前左手小鱼际侧疼痛,左小指不能伸直;3月前右手无力、肌萎缩伴有疼痛;逐渐发现下肢肌萎缩伴有疼痛。病前10余天发热、全身酸痛
既往史:否认高血压、冠心病、糖尿病病史,否认手术外伤史,否认食物药物过敏史。
个人史:无特殊
家族史:见家系图(见图8)

Ⅱ1和Ⅱ3心肌梗塞
Ⅱ3:44岁发病,右手肌萎缩开始,渐渐双侧手足无力,
上楼费力,易于摔倒,言语不清,吞咽困难,
病后4月窒息1次,逐渐呼吸困难,病程10月。
Ⅲ7:肝病
体格检查:双侧面瘫,右侧冈上下肌、肱桡肌、拇短展肌,左小鱼际肌,双手骨间肌萎缩;右侧腓肠肌萎缩,双足底小肌肉萎缩 。手指伸直受限,并分指肌力3级,双侧膝反射(+++),双侧Babinski征(-),掌颏反射和吸允反射(-),无感觉障碍(见图)

辅助检查:
神经电生理检查 右侧正中神经、尺神经,左侧尺神经 ,右胫神经CMAP波幅下降;潜伏期、传导速度均正常范围面神经运动传导检测:CMAP均于低限针极肌电图(静息):舌肌、胸锁乳突肌、脊旁肌(T10/T11/T12)未见自发电位;右指总伸肌、右胫前肌可见Fib、PSW;MUP分析均正常。
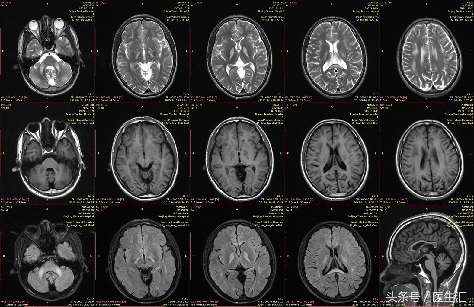
颈MRI:长节段髓内病变(前角)(见图13、14、15、16)




头颅MRI:(见图17)

专家判读:小脑中脚、苍白球、白质、胼胝体皆有病变。
基因检查:SOD1,c.319C>T,p.L107F(见图18)

诊断:1、遗传性运动神经元病2、病毒性脑病
神经内科疾病诊断思维:
1、重视首发症状
疾病的起因、诱因
起病方式,病程特征
症候学:完整的症候特征描述
疾病进展方式:病变部位、病理学方式
对治疗的反应
既往史、医疗史
2、起病方式及病程
外伤或缺血性梗死所引起的神经病呈急性发病,发病时症状即达到高峰。
炎症和一些代谢性神经病呈亚急性病程(数天至数周)。
慢性病程(数周至数月)是大多数中毒和代谢性神经病的特点。
慢性、缓慢进展性神经病(数年)见于大多数遗传性神经病或慢性炎性脱髓鞘性多发性神经根神经病。
反复复发-缓解病程见于CIDP、免疫介导疾病
3、规范化查体
注意全面查体,同时根据病史,重点突出
病史与查体的一致性
深入探究病变的可能部位
4、定位诊断
解剖生理学、结构与功能的关系,或者结构破坏与功能缺损的关系
遵循:病史、查体、辅助检查的逻辑严密性、全面性
例如:神经肌肉接头(前膜、后膜)
注意临床表现与辅助检查的相互验证、补充,采用合理方法发现和解释临床下病变
神经科疾病的部位选择性
5、定性诊断
定性诊断一个重要原则是尽量用“一元论”解释所有的临床现象,如果“一元论”不能解释,也尽量使用可能少的诊断名称
每一类疾病的发生存在自身的病理生理学和临床表现的“共性”问题,但也存在每一个个体发病的“个性”特征。“共性”是我们认识事物的立足点,是研究疾病的前提基础,而“个性”的存在构成疾病的丰富多样性
全面地、历史性看问题,避免片面看问题
临床思维体现在每一个环节!!