
编者按
近日在Ocular Surgery News杂志分享了新英格兰眼科中心大查房的一例特殊病例:一位年轻女性求诊时眼痛、牙痛、头痛,还有脖子也痛,历经曲折的检查与各科联合会诊后,其病因终于水落石出——海绵窦血栓形成。
背景简介
海绵窦血栓形成非常少见,文献报道仅有几百例,据估计其每年每10万人中才出现一例。目前还没有关于海绵窦血栓形成治疗的前瞻性研究,从1940年至1984年40年间的96例病例为最大的回顾性分析。海绵窦血栓最常见的感染来源是鼻窦炎、牙科感染、中耳炎、面部蜂窝织炎或脓肿、眶周和眶周蜂窝织炎以及扁桃体炎。由于面部中央三角形的静脉无瓣膜,因此特别容易受到感染的逆行扩散和随后的脓毒性海绵状血栓的影响。与海绵窦血栓形成相关的最常见的细菌为葡萄球菌、链球菌、肺炎球菌、革兰氏阴性杆菌,极少有真菌,如曲霉菌和毛霉菌病。首选影像学检查方法为MRI和MRV,也可 CT扫描。
病史简介
●患者,女,20岁。主诉左眼睑肿胀及眼痛持续加重1天。
●10天前曾于外院诊断为“病毒性鼻窦炎”,给予甲基强的松龙短期口服、氟替卡松鼻喷雾剂治疗。治疗3天后先后出现牙痛、吞咽困难及剧烈头痛,于急诊室就诊并诊断为“偏头痛恶化”,给予舒马替坦及阿司匹林、醋氨酚、丁达比妥、维拉帕米组成的“偏头痛鸡尾酒”治疗后出院。出院后偏头痛持续存在,随之出现精神不振、嗜睡症状。昨日患者出现发烧症状,伴颈部疼痛及左眼疼痛。左眼疼痛症状随眼部运动而加重,伴有眼部红肿、畏光和视力模糊,伴间歇性复视和无法完全闭眼。
患者既往有高度近视、偏头痛、哮喘及季节性过敏病史。
眼科检查
视力(戴镜):右眼 20/20(1.0),左眼20/20(1.0);眼压:右眼18mmHg,左眼26mmHg;右眼瞳孔圆,对光反射正常;左眼瞳孔反应迟缓,无传入性瞳孔阻滞,结膜见大疱性化脓性病变。右眼外肌、外展、向上、向下活动受限;左眼存在完全眼肌麻痹,外肌外展、内收、向上、向下活动受限。左眼存在上睑下垂和感觉减退。右上、下眼睑轻度水肿,左上、下眼睑3+水肿。左眼相对突出4mm,有明显兔眼征(图1)。眼底散瞳检查示视神经、血管、视网膜均无明显异常。检查提示该患者为左侧疼痛性眼肌麻痹。

图1. 右眼外展、内收、向上、向下受限。左眼结膜有明显脓性表现、完全眼肌麻痹。
鉴别诊断
在此病例中诊断病变的主要临床线索为V2神经麻痹,若出现急性发作性左眼肌麻痹、眼外运动疼痛、眼压升高、眼球突出和化脓性病变,则判定为海绵窦血栓形成可能性最高。
1. 眼眶蜂窝织炎:伴或不伴有骨膜下脓肿也会表现为眼外运动、化脓性病变和结膜注射疼痛,但通常与眼肌麻痹或眼压升高无关,且与颅神经V2通路存在解剖学区别。
2. 眶尖综合征:也可引起眼肌麻痹,但视力、色觉和瞳孔大小正常,其可能性较小。眶尖综合征与颅神经V2存在解剖学区别。
3. 颈动脉海绵窦瘘:可表现为左侧突出和眼压升高,但常有外伤史。
入院后处理
患者心动过速、呼吸暂停、WBC升高、低血压,提示存在脓毒症。及时给予干预性治疗,并转入ICU密切监测。立即行血液培养、分泌物培养、痰培养以及腰椎穿刺,并在1小时内使用经验性广谱抗生素。
行头部和眼眶CT(图2)和MRI/MRV检查(图3),影像学显示双侧眼静脉充盈缺损和双侧合并低强化区,扩散受限,与海绵窦血栓形成表现相一致。同时,请耳鼻喉科、神经外科及传染科会诊。行鼻内镜手术及拔牙,术中行血液及鼻窦培养,术后立即全身抗凝。左眼给予布鲁莫尼丁,每日3次。

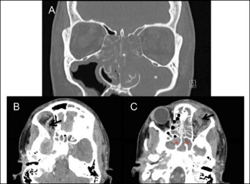
图2. 有无对照头部及眼眶CT扫描均可见广泛的窦性混浊(a,白色星号),右眼静脉扩张(b,黑色箭头),左眼静脉扩张(c,黑色箭头),蝶窦混浊(c,红色星号)

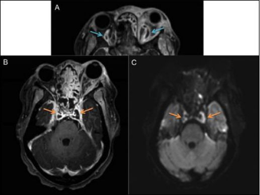
图3. 头部及眼眶MRI显示双侧眼静脉充盈缺损(a,蓝色箭头),双侧低强化融合区增加(b,橙色箭头),双侧限制性弥散(c,橙色箭头),与海绵状窦血栓形成一致
治疗第15天患者好转出院。患者眼肌麻痹、眼球下垂、化脓性疾病、上睑下垂症状完全消失(图4),双侧眼外肌运动完全恢复。出院后,头孢曲松、甲硝唑静脉治疗维持2月,利瓦罗沙班口服维持6月。出院后2月复查,患者健康状况良好,眼部及神经功能症状完全去除,MRI结果显示眼静脉和分支动脉的再通。

图4. 出院前患者左眼球突出、化脓、上睑下垂及眼外活动疼痛感均缓解
讨论
由于海绵窦解剖结构的独特性,其可以影响支配眼球运动的三条脑神经:动眼神经(CNIII)、滑车神经(CNIV)和外展神经(CNVI)。此外,眼神经(V1)和上颌神经(V2)也穿过海绵窦,出现病变时均会导致感觉减退。海绵窦血栓形成最常见的临床表现为发热、上睑下垂、眼肌麻痹和眶周肿胀。较少见的临床症状包括瞳孔异常、视力下降和复视。
治疗过程中,除抗生素外,感染源的引流和抗凝血是治疗海绵窦血栓形成的两大关键。应尽可能早期介入,以加快窦房引流。抗凝治疗已经证明在降低死亡率和发病率方面是有益的,并应在没有任何禁忌证的情况下立即开始,新型抗凝药物如利瓦罗沙班已被证明效果不亚于依诺肝素和华法林。一般在急性发作期即给予肝素或依诺肝素滴注,出院后至少持续治疗6个月后转为华法林或新型抗凝剂治疗。对于抗生素治疗时间多尚没有统一标准,目前普遍同意在临床症状缓解后至少继续使用2周。
海绵窦血栓形成具有高死亡率,仅有40%患者可完全康复,约30%留有严重慢性后遗症,譬如动眼神经无力、失明、垂体功能不全和(或)偏瘫。敏感临床鉴别诊断以及影像学详细回顾性研究是及时诊断和治疗此类疾病的关键。
资料来源 :https://www.healio.com/ophthalmology/retina-vitreous/news/print/ocular-surgery-news/{40f4a4d8-afdf-46bf-892e-27b409e6d4da}/young-woman-presents-with-painful-ophthalmoplegia-in-left-eye
(来源:《国际眼科时讯》编辑部)
版
权
声
明
版权属《国际眼科时讯》所有。欢迎个人转发分享。其他任何媒体、网站如需转载或引用本网版权所有之内容,须经本网同意并在文章顶部注明“转自《国际眼科时讯》”