首先,告诉大家,脑萎缩不是老年痴呆。
脑萎缩是什么?
脑萎缩:是指各种原因引起的脑组织结构体积缩小,脑实质减少, 脑质量减轻,脑细胞数目减少,脑回变窄,脑沟增宽增深。脑萎缩可分生理性和病理性的萎缩。
生理性的脑萎缩,是随着年龄的增长,机体功能性衰退,脑细胞功能逐步退化而引起的。是像生、老、病、死一样的自然规律,但是通过合理的预防保健,人们可以明显延缓脑萎缩的发生时间及进展程度。
病理性的脑萎缩,多由血管性疾病、外伤、炎症等引起,如脑动脉硬化、脑梗塞、脑出血.……,人们可以通过治疗、保健、康复训练,延缓脑萎缩的发展。
脑萎缩的诊断,目前主要依靠CT和MRI检查。
正常大脑和萎缩的大脑,CT和MRI检查图像
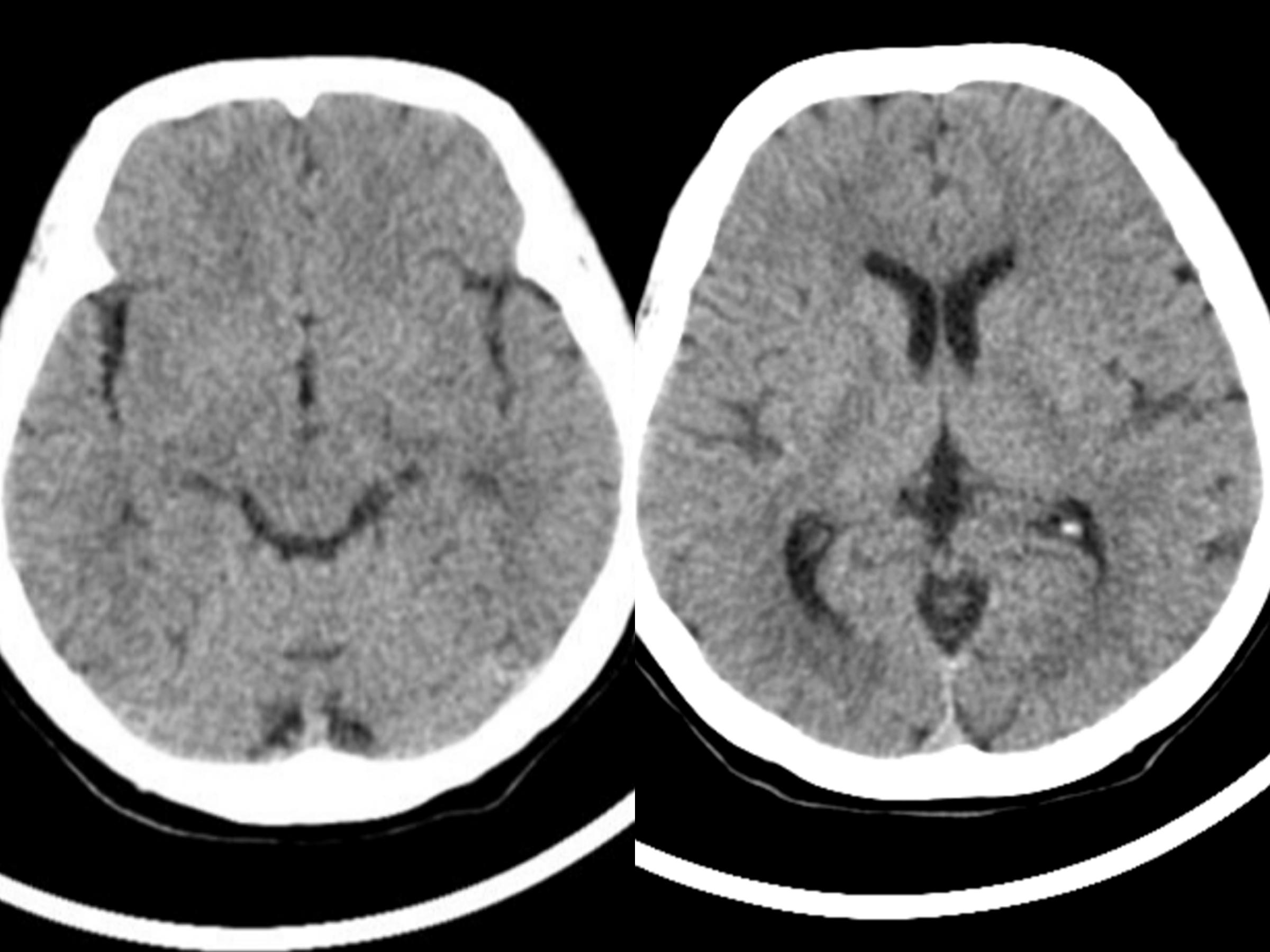
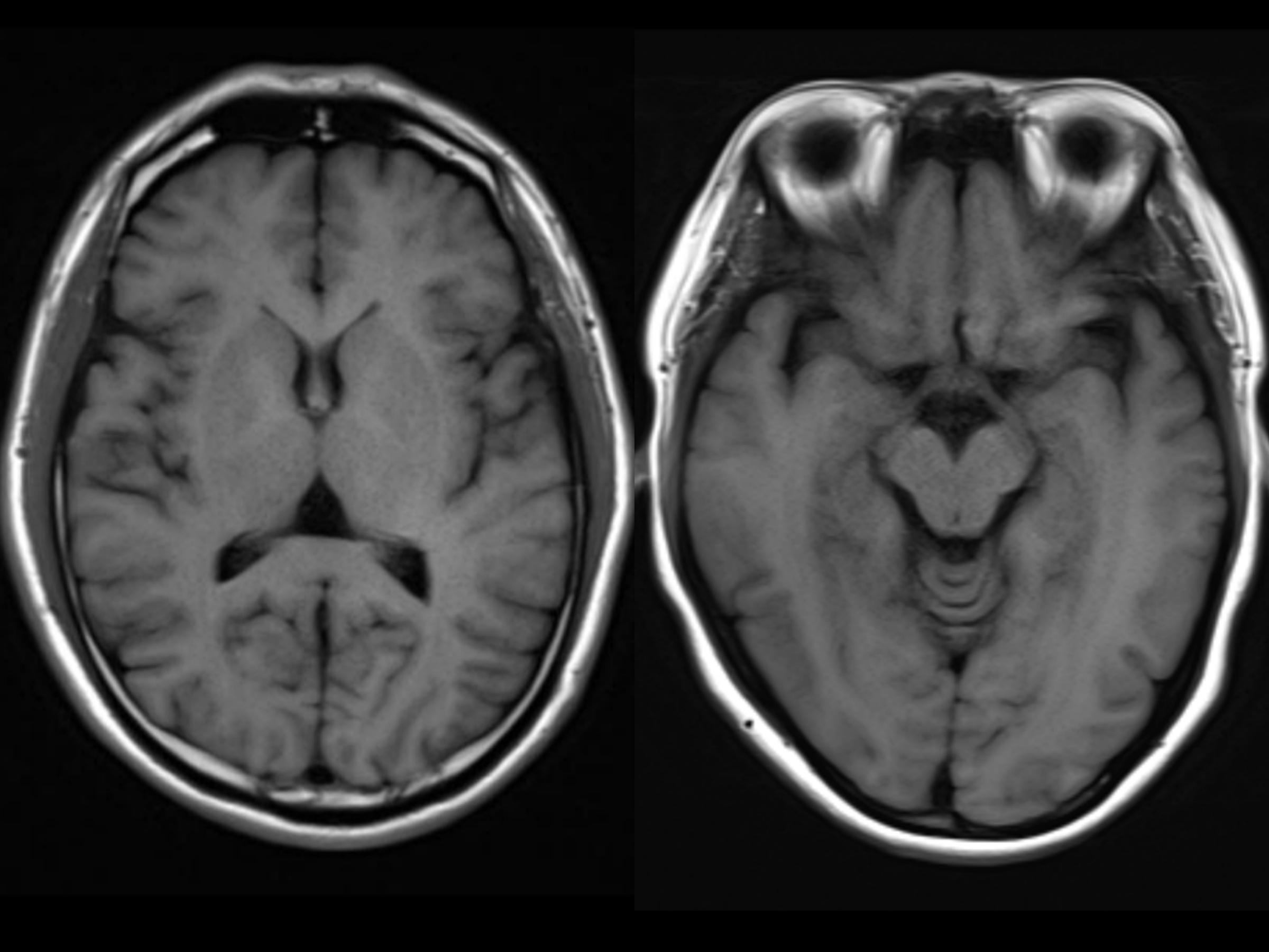
先来看看正常的大脑图像:

CT检查正常的大脑

MRI检查正常的大脑
再来看看脑萎缩的图像(箭头所标处):

CT检查萎缩的大脑

MRI检查萎缩的大脑
从上面的这几幅图中,大家可以明显看出脑室、脑池的扩大和脑沟增宽增深,脑回变窄。
脑萎缩以后应该怎么办?如何预防脑萎缩呢?
- 防治血管性疾病等基础疾病,如果本身患有高血压、糖尿病等疾病,要积极配合医生治疗;
- 增加社会活动 多参与感兴趣的社会活动,培养多方面兴趣,保持良好交际,兴趣爱好多样化;
- 注重科学饮食、作息 不要暴饮暴食,注意控制油、盐等摄入,作息要规律,不要长期熬夜等;
- 适量运动 做自己能承受的体育锻炼,不要盲目剧烈运动,并经常保持;
- 改变不良嗜好 改变酗酒等不良嗜好;
- 精神、心理调节 要学会控制情绪,调节心态,通过体育锻炼、与人交流、参加社会活动等释放压力;
- 康复治疗 如果有脑萎缩影响日常活动的患者,可以在专业医生指导下进行科学的康复治疗。
#全国*会两**“健康中国人”# #健康科普# #头条健康#
欢迎关注我哦~#影像科Doctor王#