
医脉通编辑整理,未经授权不得转载。
胰腺脂膜炎是一种罕见的脂膜炎变异,其特征是皮下脂肪坏死,在一系列不同的胰腺疾病中影响0.3%-3%的患者。约40%的胰腺脂膜炎患者可出现皮肤损伤,多发生在腹部症状出现前1-7个月。临床上多表现为疼痛,界限不清的红斑,可能伴有油性棕色粘性物质。病变通常涉及下肢,但也可能出现在臀部、躯干、手臂和头皮。除皮肤外,脂肪坏死可能涉及关节周围、腹部和髓内脂肪组织。脂膜炎,多关节炎,胰腺炎的三联征称为脂膜炎-多关节炎-胰腺炎(PPP)综合征。这是一种罕见的综合症,其死亡率较高,因此需要及时诊断和适当的治疗。本文报告了一例胰腺炎,脂膜炎和多关节炎(PPP)综合征患者。
病例简介
患者男,57岁,因皮下结节伴关节疼痛2周而入院。患者1月前出现腹痛、恶心和呕吐等症状,确诊为急性胰腺炎,对症治疗后疾病缓解。2周前,患者胫骨、臀部、腹部和肩部出现皮下结节,并伴有双膝、踝和肘部关节肿胀疼痛。
体格检查:踝关节、小腿、大腿、腹部和肩部有多处皮肤下结节(图1a和b)。病变没有溃疡和渗出。患者关节肿胀,活动受限(图1c和d)。其余检查是正常的。

图1 下肢和腹部(A和B)多发皮下软结节和手膝关节肿胀(C和D)
实验室检查:红细胞沉降率、C-反应蛋白阳性,γ-谷氨酰转肽酶升高正常水平3倍、血清脂肪酶升高2倍,血清淀粉酶升高至约5倍。乙肝和丙肝的筛查阴性,肿瘤标志物、癌胚抗原在正常范围内。
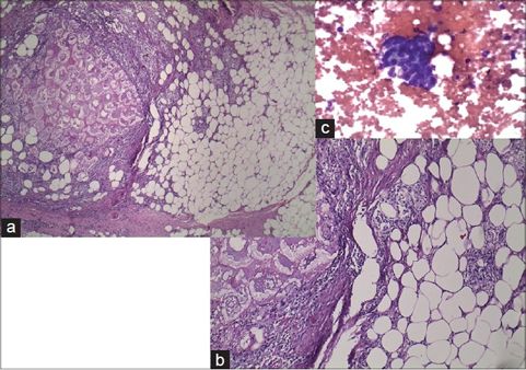
组织活检:皮肤结节的活组织检查显示小叶脂膜炎和脂肪细胞坏死,周围有淋巴细胞和嗜酸性粒细胞的炎性浸润,这是胰腺脂膜炎的特征(图2 a、b)。超声引导细针穿刺细胞学检查显示非典型细胞(图2C)。
影像学检查: X射线检查显示关节正常。腹部计算机断层扫描显示不明确的低密度肿块,大约2.2×2.7 cm,胰头部的范围为2.6 cm,胰管扩张至4 mm (图3a和b)。皮下平面也有多个软组织结节。

图2 (a)小叶凝固性脂膜炎,累及多个脂肪小叶;(b)脂肪小叶周围有嗜脂细胞、淋巴细胞和嗜酸细胞的炎性浸润,脂肪隔增厚。(c)细胞学上的非典型细胞

图3 CT显示:(a)胰腺头部的肿块;(b)胆总管
基于患者病史、组织病理学结果及临床症状,考虑诊断为胰腺炎、胰源性脂膜炎和多关节炎(PPP)综合征。
讨论
脂膜炎、多发性关节炎和胰腺炎(ppp)综合征是一种罕见疾病。其发病机制尚不明确,目前最广泛认可的假说认为,受损胰腺释放的胰腺酶(如胰蛋白酶、淀粉酶、脂肪酶、磷脂酶A)通过血流输送到内脏和软组织部位,导致周围的皮下组织和骨髓发生脂解和炎症。
胰源性脂膜炎是一种罕见的皮下小叶脂肪坏死形式,与各种潜在的胰腺疾病有关。约0.3%-3.0%的胰腺疾病患者可出现胰源性脂膜炎。临床上通常表现为红斑、边界不清、红褐色、疼痛或无痛性皮下结节,可发生在身体的任何部位,好发于胫骨前区、下肢远端、踝关节等部位。组织病理学显示小叶性脂膜炎,无血管炎,无核的厚壁鬼影样细胞是胰源性脂膜炎特征性表现。
关节疾病最常见于脚踝、膝盖、腕关节等部位,通常为多关节受累,表现为关节肿胀疼痛。有学者认为关节炎症状来自关节周围脂肪坏死或直接从坏死的皮下组织延伸到邻近的关节间隙。
ppp综合征主要是支持性治疗,重点在于治疗胰腺疾病。糖皮质激素和非甾体抗炎药能缓解关节和皮肤症状,但不能减缓疾病进展。
总之,PPP综合征是一种罕见的疾病,诊断延迟时,可导致较高的死亡率,故早期识别这种三联征至关重要。
参考文献:
[1]Graham P M , Altman D A , Gildenberg S R . Panniculitis, pancreatitis, and polyarthritis: a rare clinical syndrome[J]. Cutis, 2018, 101(1):E34.
[2]Kashyap S, Shanker V, Kumari S, et al. Panniculitis-polyarthritis-pancreatitis syndrome[J]. Indian Journal of Dermatology, Venereology, and Leprology, 2014, 80(4): 352.
点击「阅读原文」可查看更多历史文章。