来源|都市现场综合黑龙江都市频道
未经允许不得转载 如删除来源必究
最近,黑龙江省哈尔滨市阿城区的李波,被一个异物卡住了喉咙,而卡喉的不是鱼刺,而是针头!那么,这么长的一根针为什么会卡在李波的气管里呢?

李波说,前几天,他在家附近的牙科诊所治牙时,由于医生操作不当,误将治牙用的一根针掉进了他的口腔深处,李波一不小心就将它吞进了肚子里。起初,李波以为针头在食道里,能够自然排出体外,并没有太在意。可是两三天之后,李波开始不停地咳嗽,他这才感觉到情况严重,立即来到了哈尔滨工业大学附属黑龙江省医院香坊院区。

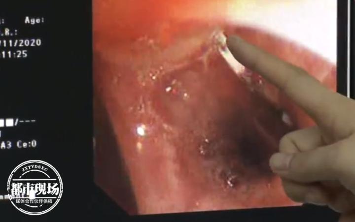
经过CT检查,医生判断针头不是掉进了食道里,而是掉进了气管里。11月9号,医生紧急为李波进行了气管镜操作。手术用时不到五分钟,医生就将一根3、4厘米长的针头状异物从李波的气管内成功取出。

医生:“我们发现这根针的时候,它已经在气道里存在四五天,针尖已经刺破了气道的黏膜,在局部形成了血肿和肉芽组织样的增生。时间长可能形成反复的感染,出现肺感染,甚至是局部肺扩张,影响呼吸的功能。”

目前,李波咳嗽的症状已经明显减轻,再过几天就可以出院了。医生表示,误吸异物的患者大多数以儿童和老人为主,建议这类人群吃饭时应缓慢吞咽,避免情绪过于激动。