今天接诊一位老人,曾经做过疝气手术,最近一直腹痛,自己摸到肚子有个“疙瘩”,实在坚持不住了,来医院看看,这一看确实吓一跳,也幸亏来得及时。

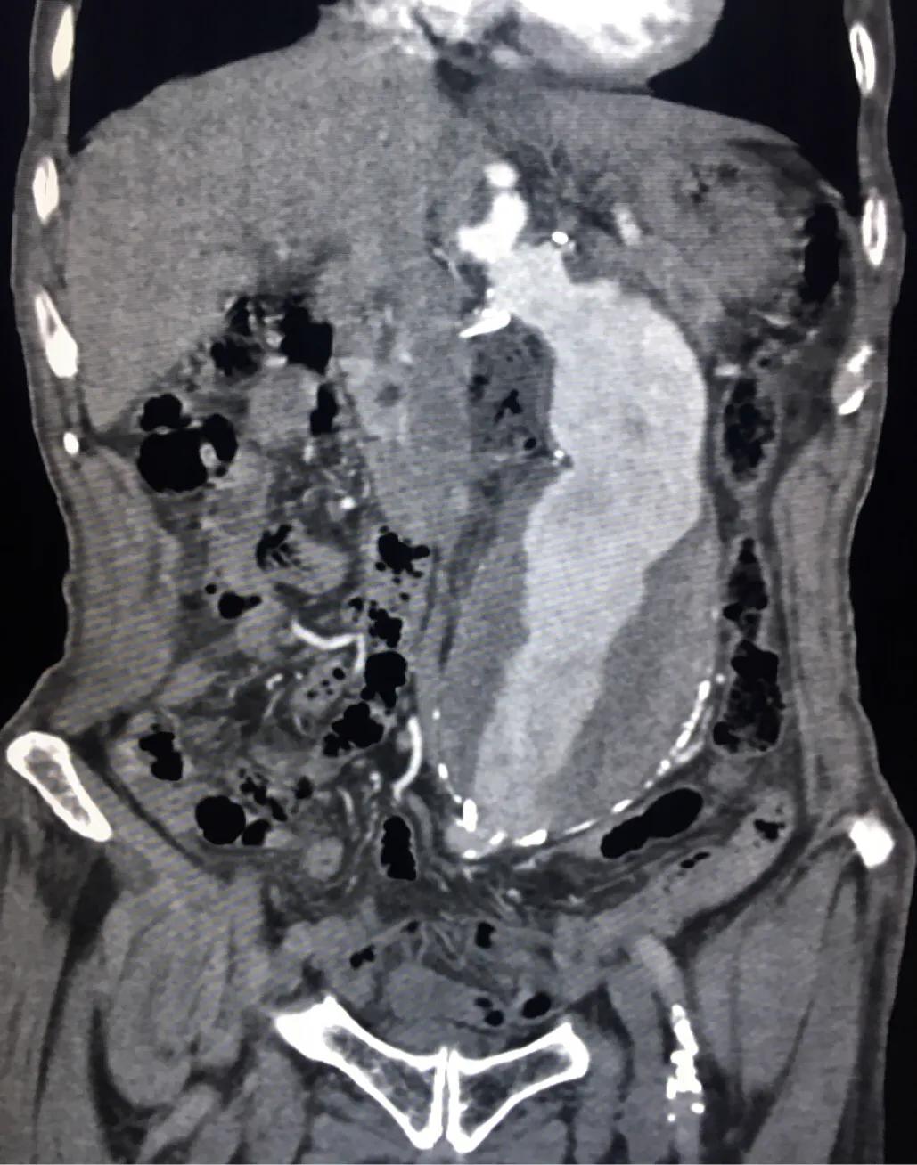
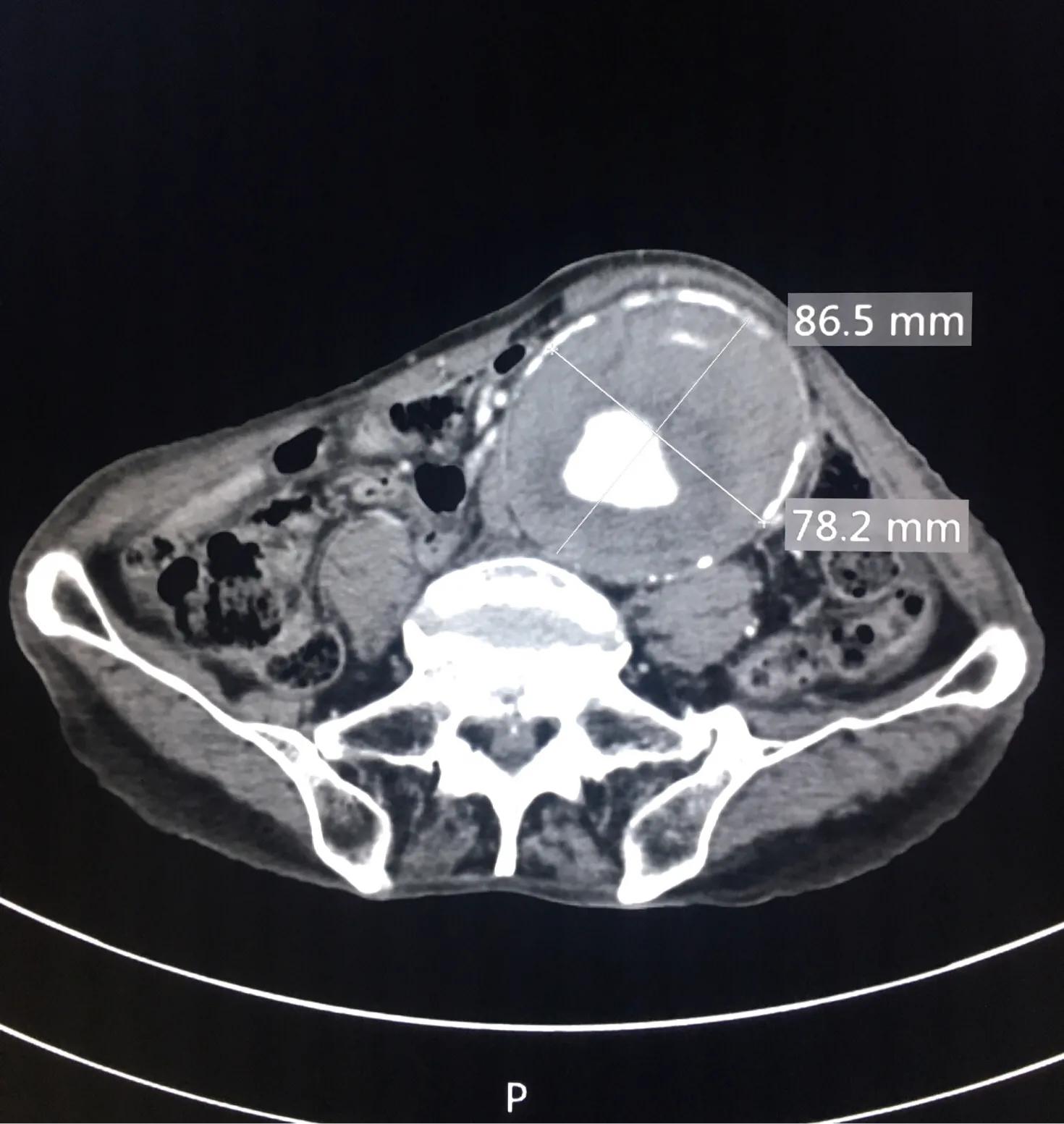
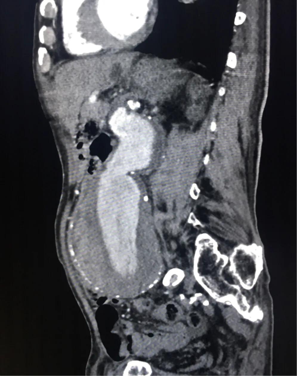
腹部CT明确,腹主动脉瘤样扩张,范围较大,最大横径接近快10厘米了,管壁可见不强化的血栓形成,诊断腹主动脉瘤。

腹主动脉瘤是指腹主动脉永久性的局限性扩张,当血管直径超过正常 50% 以上即可称为动脉瘤。通常情况下,腹主动脉直径 >3 cm 可以诊断为腹主动脉瘤。

主动脉瘤分为真性动脉瘤和假性动脉瘤。
- 真性动脉瘤主动脉局限性扩张或膨凸,附壁血栓表现为新月形或环形充盈缺损
- 假性动脉瘤是在血管周围形成局限性血肿,周围包绕纤维结缔组织而不具有正常的动脉壁结构,在血流的冲击下,形成破口小、瘤腔大的囊性肿块。

治疗方法包括保守治疗、手术治疗。分别什么情况适合保守治疗或者手术治疗呢?
- 对于无症状的腹主动脉瘤,直径小于4厘米时破裂风险较小,建议选择保守治
- 如果动脉瘤在4-5厘米之间,根据病人体质和意愿,早手术早排出风险,当然体质不允许可以药物治疗后复查也可,每年最少复查一次,可以做超声,看看有没有变化
- 动脉瘤大于5厘米或者最近增大明显,,建议手术治疗;大于7厘米或者有疼痛症状应该立即手术,一旦破裂,死亡率95%以上
我是放射科医生CT机,科普医学知识,崇尚健康生活。
喜欢或者咨询的朋友,可以添加关注或者私信留言。
