金晶 推荐 来源:杭师大附院
老太突发气急,经查竟是癌症
来自余杭的赵老太,今年69岁,身体一直很健朗。今年年初因为咳嗽和胸闷气急在杭州师范大学附属医院呼吸内科住院治疗,胸部CT提示右侧大量胸腔积液。呼吸内科主任吕群结合患者病史及辅助检查后考虑是肺癌,委婉告知了赵老太家属。
初期治疗失效,症状不缓反加重
听到这个消息后,家属焦急万分,一再央求医生用最好的药、最好的医疗手段救治,吕主任立即安排行右侧胸腔穿刺置管术引流先缓解患者气急情况。然而,第三天查房时发现赵老太气急症状反而加重,氧饱和度降为90%。肿瘤患者在胸腔积液引流后气急缓解不明显反而加重,吕主任认为患者问题不简单,考虑会不会合并有其他疾病。
病情加重,抗凝治疗事不宜迟
医生立刻急查了凝血功能、心肌酶谱、肌钙蛋白、BNP,又联系了急诊心超和肺动脉CT血管造影术(CTPA)检查,结果报告提示赵老太心肌酶谱、BNP升高,右心室轻度左移,肺动脉收缩压有89毫米汞柱。肺动脉压力这么高,这可急坏了大家。
而CTPA结果提示双侧肺动脉及分支多发栓塞,病情如吕主任所料患者是肺癌合并肺栓塞。此时,赵老太的病情十分危急,属于肺栓塞中高危组,考虑肿瘤病人容易并发出血的风险,暂不予溶栓治疗。事不宜迟,吕主任立即对患者开始抗凝治疗,赵老太的气急情况终于慢慢缓解下来。
不幸中的万幸,抗瘤药物起效
根据患者胸水脱落细胞学检查蜡块病理结果,原来老太患的是肺腺癌。不幸中的万幸,肿瘤基因检测结果显示EGFR18外显子突变阳性。吕主任给予患者口服靶向抗肿瘤药物治疗1周后,在医护人员的照料下,赵老太的症状竟然奇迹般的缓解了,家属喜极而泣。
在家人的陪同下,赵老太准备出院。医生嘱咐口服凯美纳和抗凝药物利伐沙班。利伐沙班作为新型抗凝药物,不需要监测凝血功能及血小板,但考虑患者晚期肿瘤患者,吕主任嘱咐赵老太每1-2周门诊监测凝血功能及血小板情况,随访结果都无明显异常。
病情出现反复,老太再次入院
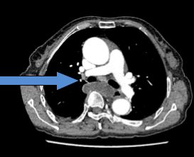
两个月后赵老太如约来门诊复查,胸部增强CT显示肺动脉血栓已经明显溶解吸收,肿瘤缩小,但后纵隔淋巴结出现增大,隆突下见4*5cm不均匀等低密度液性暗区。
影像学的蹊跷变化,到底是怎么回事?赵老太又再次住进了呼吸内科病房。复查的肺CTPA检查证实了肺栓塞得到了明显缓解,立即停用了抗凝药物,一周后,呼吸内科王建军医生和周小兰护师为她做超声支气管镜镜下针吸活检术(EBUS-TBNA),在右主支气管膜部探及液性暗区,穿刺抽出了65ml血性不凝液体。

王建军医生和周小兰副主任护师
在气管镜室给赵女士行EBUS-TBNA检查

胸部增强CT纵膈窗
后纵膈弧片状液性密度影、纵膈淋巴结肿大

EBUS-TBNA穿刺液65ml
后期治疗见效,老太成功脱险
后期治疗中,赵老太停用抗凝药物,继续靶向治疗。吕主任再三叮嘱患者出院后关注其他部位有没有出血,一有胸闷气急马上联系医生,并且建议严密监测凝血功能、肿瘤指标、胸部CT等检查。
患者家属十分感激吕主任及团队对自己病情反复变化及时做出诊疗调整以及医护人员对她的关心照料。


科普小知识
超声内镜引导下的经支气管针吸活检(EBUS-TBNA)技术是通过安装在支气管镜前端的超声探头设备,结合专用的吸引活检针,可以在实时超声引导下进行针吸活检(TBNA)。主要适应症为:1、肺内转移性肿瘤的肺门和纵隔淋巴结评估;2、原发性肺癌的肺门和纵隔淋巴结评估;3、原因不明的肺门和纵隔淋巴结肿大的诊断;4、鉴别和诊断纵隔肿瘤和气管支气管原发肿瘤的管壁浸润。

抗凝药物的不良反应主要为出血,一般为皮肤黏膜、牙龈和胃肠道出血,严重者可出血脑出血,而胸腔内纵膈、心包、胸壁出血国内外较少有报道。该患者口服抗凝药物利伐沙班后出现的纵隔血肿,考虑与肿瘤异常新生血管丰富,异常血供网,肿瘤细胞淋巴结转移以及靶向药物与新型抗凝药物相加作用相关,即使停用抗凝药后仍应该密切监控。一旦出现抗凝药物相关性出血,首先必须寻找出血原因,其次是降低抗凝溶栓效应强度或停药,并增加监测次数,根据药物的不同特点进行针对性的干预.准确评估患者的出血风险,选择合理有效的药物,定期规律的监测,及时快速的处理是在使用抗凝溶栓药物过程中所要遵循的操作规程。
吕主任表示,对于此类病例我们要格外关注原发病和合并症以及药物的不良反应,根据病情变化及时调整治疗计划,格外小心对待,才能在临床工作上做到安全、规范。
吕群
呼吸内科主任 教授 硕士生导师
每周二上午专家门诊
每周四上午名医门诊
现任浙江省肿瘤协会肿瘤靶向委员会常委
浙江省医学会呼吸分会呼吸治疗联盟常委
浙江省呼吸内镜联盟常委
中华医学会结核病分会呼吸内镜专委会委员
中国癌症防治联盟浙江分会肺癌专业委员会委员
海医会海西介入呼吸病学专业委员会委员
吴阶平基金会营养学部委员
返回稿件列表