之前我们说了Angelababy、彭小苒是牙性前凸,正畸就能有很好的效果。那么各位患者属于什么情况,应该选择怎样的方案呢?本文做一个系统的、精简的解释,大家可以做参考。
一、对于接受不了正畸(或者正在犹豫),想快速的解决嘴凸的患者,看完以下文章,可以了解自己是要正畸还是微整形。
本文只供自测参考,如果能面诊,拍CT,结果会更准确。
“突嘴”造成嘴周围、鼻子显得比较低,下巴看起来也向后收缩,同时法令纹看起来更加严重。很多人希望能通过简单的“垫下巴”或者“垫鼻基底”来改善这一问题。
如果不存在错合畸形的问题,又想获得一个有完美弧度的侧貌,那么通过垫鼻基底和下巴确实可以达到这一目的。
然而实际的临床工作中发现,单纯嘴突而不存在错合畸形的患者其实是少数,对于这一类患者,虽然通过垫鼻基底和下巴的修饰性治疗可以在一定程度上快速改善嘴突,但还是存在一些问题。一方面,这样的修饰性治疗只能在一定程度上改善轻微的前突,但对于中度以上的前突改善有限。
原文阅读《只垫下巴/垫鼻基底,能改善嘴凸吗?》
二、对于已经决定正畸,但是不知道自己是骨性还是牙性,是做正畸还是正颌的患者:
什么是骨性龅牙、牙性龅牙?我的嘴很凸,但是牙很齐是为什么?嘴凸不拔牙可以收回去吗?为什么当地医院告诉我收不进去?牙收回去很多,但是还是没下巴怎么办?
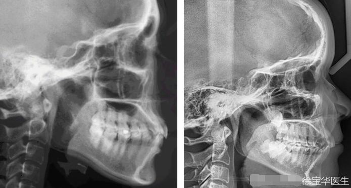
凸嘴分为牙性的和骨性的,牙性的凸嘴是由于牙齿前突造成的,骨性凸嘴是由于上下颌骨大小、形状或位置关系的异常引起的。
我们必须搞清楚嘴凸是是骨性的还是牙性的,同时要计算骨性畸形的程度,只有严重骨性牙颌畸形才会选择正颌手术治疗,在临床病例里,分辨骨性和牙性有个专有名词叫ANB角,这个角是通过X线投影测量技术计算得出的,一般这个角大于5°就应该是骨性畸形,当ANB角达到8°以上就属于严重骨性畸形。
骨性嘴凸相当于上下骨头基座出了问题,头影测量ANB角大。有些目测外貌较明显的嘴凸特别容易混淆概念,误以为是骨性的嘴凸,此处有些认识的盲区,不但患者会认为自己是骨性嘴凸,甚至很多医生也会把牙根凸误认为是骨性嘴凸。如果上颌骨不凸、鼻基底不凸,就不是纯骨性的。所以面诊外貌时会看鼻基底、摸牙槽骨处牙根的位置,分清楚牙槽骨处是牙根凸还是真正的骨性的嘴凸,事实上牙根的位置的凸起并不是真正的骨性嘴凸。也就是说,通过专业的正畸方案,大部分都可以获得比较好的矫正效果,免去了正颌的痛苦。
原文阅读《Angelababy和彭小苒是怎么变美的?有没有做传说中的正颌手术?》
有的人认为自己牙齿很齐,就觉得自己是骨性嘴凸,其实嘴凸与牙齿排列整齐与否没有明确的关系。有些患者牙齿排列不齐,牙弓狭窄,个别前牙倾斜角度比较大,可以引起龅牙;而有些患者牙齿比较整齐,依然有龅牙的表现,这是因为面部组织退化的先后顺序是:肌肉、骨骼、牙齿。由于牙齿的退化速度最慢,而骨骼已经在由于人类食物的精细化而退化,所以很多情况下,我们的上下颌骨是容纳不下我们的32髁牙齿的。很多人的智齿阻生,长不出来,甚至有些患者的智齿已经退化。
有种错颌畸形叫做双牙弓前突,就是指上下牙的前突,简单来讲就是上下颌骨的位置相对于头颅骨是正常的,但是上下牙齿位置比较靠前,这样整个上牙弓的前后径大于骨头的前后径,牙齿排列到齿槽骨的边缘,形成了牙列前突,牙齿是相对整齐的,这类患者骨头的发育没什么问题,也可以通过矫正改善嘴突。另一种错颌畸形,患者的上下颌骨的位置相对于头颅骨都比较靠前,这样的话牙齿也有更多的空间来排齐,但是由于存在颌骨的位置异常,所以需要结合正颌手术来纠正患者的嘴突。
矫正嘴凸一定要拔牙吗?
若患者主诉为嘴突,并且临床检查各项指标也证实患者确实嘴突,如果是选择单纯正畸治疗,少数轻度嘴突患者可以通过向内移动牙列或者片切牙齿矫正嘴突,但是,大多数嘴突的患者,不论是牙性的还是骨性的,都需要拔牙矫治。对于严重骨性龅牙患者,则需要正颌外科与正畸联合治疗,方能达到理想的治疗效果。对于牙性龅牙,即便是严重嘴突,仅仅通过拔牙矫治,也可以获得满意的颜面美观改变。
对于拔牙,很多患者也存在很多疑虑,有些患者害怕拔牙会疼,有些患者担心拔牙会出缝,有些患者不想拔牙是因为觉得拔了之后牙就少了,对于这些问题,我们的一些患者反应,拔正畸牙的过程中除了打麻药会有刺痛感之外,拔牙之后基本没有什么疼痛感。而对于拔牙间隙会通过各种方法关闭,在治疗结束后,通过良好的保持,牙齿仍然是紧密相接,不会出现任何缝隙。
我们口内的牙齿缺失是少了,但是我们的牙齿排列的整齐之后,口腔卫生容易控制,牙周炎和龋病的发病率大大减小,我们剩下的所有牙齿的健康得到了保证。对于患者的侧貌及嘴突,都得到了很大的改善,而且我们正畸拔除的牙齿,对于咀嚼功能影响最小的一颗。国内做牙齿矫正的患者,超过半数是需要拔牙矫治的。
能否仅通过正畸回收牙齿,使下巴显得没有那么后缩?
正畸医生的审美、方案设计、正畸过程的把控之外,很大一部分还与患者本身下巴的形态和位置及软组织代偿有关。简单来讲,如下图所示:患者本身下巴发育形态就因人而异。

对于上右图或者其他下颌颏部形态更不明显者,患者下颌骨颏部本身弧线就不是特别完美,我们即使把牙齿收进去,也不能改变其下巴的形态。但是,如果要求比较完美,可以通过颏成形手术、垫假体或者注射玻尿酸。颏成形手术是正颌手术的一种术式,简单的来讲,就是下巴形态不佳,通过人为的方法制造骨折后移动骨块,达到比较完美的形态,固定后使其愈合。手术一般采用口内切口,术后需住院约一周。相对来讲是一劳永逸。而对于玻尿酸的注射,则需要半年到一年的时间注射一次,来维持完美的下巴形态,但是其每次的创伤都是非常小的。有一些患者,即使骨组织没有发展的很完美,但是其软组织,即肌肉皮肤等组织有了很好的代偿,弥补的患者骨头发育的缺陷,也可以拥有比较好的侧貌。

三、对于已经决定做正颌手术的患者,想知道正颌手术还需不需要带牙套,整体需要多长时间,可以参考原文 《做正颌手术还要带牙套吗?》
单纯正畸治疗,牙齿咬合可能达到95分以上,但是骨骼关系和颜面外貌可能做到7-80分;如果单纯外科手术,骨骼关系和颜面外貌可能达到95分以上,但牙齿咬合关系可能连60分都达不到。因此要达到100分的面型及咬合关系的重建,没有口腔正畸科正畸医生的参与,不经过术前术后的正畸治疗是无法达到的。在当代,正颌外科的术前术后正畸已经成为牙颌面畸形外科矫治程序中必不可少的重要步骤。
一般术前正畸12-14个月,主要是排齐牙列,去除牙齿代偿,调整上下牙弓的弓形。然后手术,手术3-4小时,术后恢复2-3个月后开始正畸,主要目标是调整和建立良好的咬合关系,一般需要10-12个月。总时段(12至14 )+(2至3)+(10至12)=26-27个月左右。如果是成人复杂病例,单纯正畸治疗,疗程就要三年以上了。
术后正畸与术前正畸最大的不同在于:术前正畸主要是消除合干扰,利于手术进行,不要求牙列的精细调整,属于粗略的牙齿移动,而术后正畸则是牙合的精细调整。术后正畸要解决牙列中存在的所有问题,使其达到理想的牙合关系。
因此,现代正颌外科,是口腔正畸学和口腔颌面外科学二者紧密联合的产物,只有通过序列的术前正畸、外科手术、术后正畸治疗,才能达到满意矫治牙颌面畸形的目的。