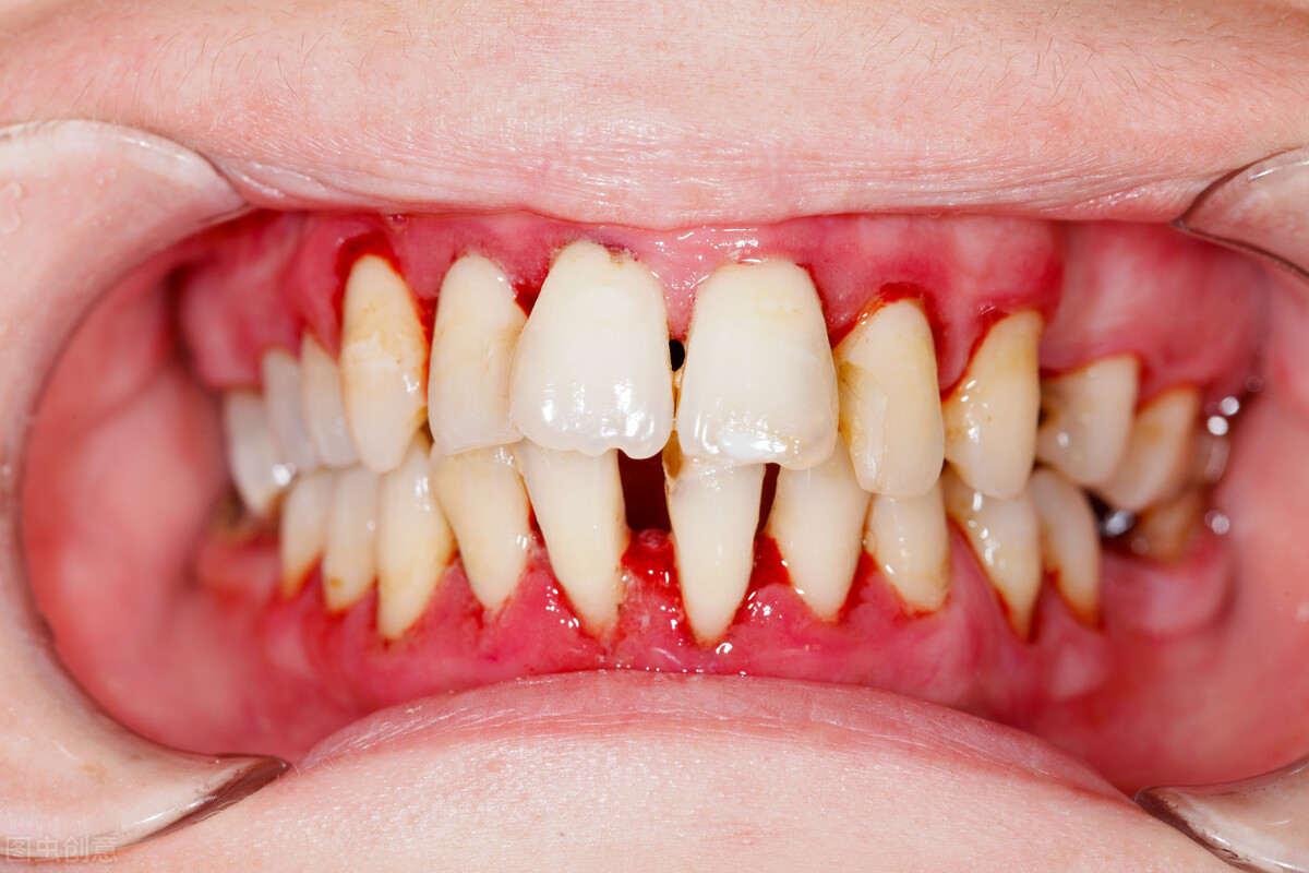
发现很多条友回来问我,我的牙龈萎缩了,是不是要拔掉了?其实不是的,我们要先看看情况,能保住的,我们都要尽量保住!今天来给大家讲讲牙龈萎缩的一些分类情况,哪些能保,哪些不能保。

牙龈萎缩分类:
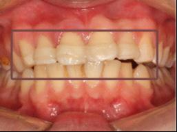
牙龈萎缩可以造成个别牙或者多颗牙牙根暴露,局部冷热敏感不适,影响美观,同时还有附着丧失,角化龈变窄。对于牙龈萎缩具体情况分为4类:
Ⅰ类: 牙齿的邻面的牙槽骨和牙龈都没有丧失,牙龈的边缘虽然退缩的但是还没有达到粘膜牙龈联合位置。
Ⅱ类: 牙龈的边缘退缩到粘膜牙龈联合位置,但是牙齿的邻面的牙槽骨和牙龈都没有丧失。

Ⅲ类: 牙龈的边缘退缩到粘膜牙龈联合位置,且牙齿的邻面的牙槽骨和牙龈都丧失到牙釉质与牙骨质界的地方。
Ⅳ类: 牙龈的边缘退缩超过粘膜牙龈联合位置,且牙齿的邻面的牙槽骨和牙龈都丧失到到唇侧牙龈退缩的位置。

哪些情况可以保?
一般情况下,前面两种类型基本都能保住,后面两种类型,则需要根据牙齿松动的情况,再确认是否需要进行拔除。
如果不需要拔牙,我们对于患有牙龈萎缩的患者,一般都会要求患者:1、掌握正确的刷牙手法,2、定期洁牙,做好龈上和龈下的刮治治疗;3、严重地进行牙周夹板固定术/松牙固定术。
