
胃超声可以检查哪些疾病?
胃超声可以用于检查胃肿瘤,胃溃疡,胃结石,胃息肉,胃底静脉曲张,胃异物,贲门失弛缓,常规体检等。
胃超声有哪些优势?
实时动态:可以实时动态观察胃的蠕动,了解胃的排空状态;还可以观察胃助显剂在幽门和贲门的通过情况,了解有无幽门关闭不全和贲门失弛缓等。
灵活全面:可以观察胃周围组织的情况,利于发现向胃外生长的肿瘤和胃周围的肿大淋巴结等。
安全无辐射:超声波没有放射性,可对孕妇、儿童进行检查。
胃超声检查已经被写入胃癌诊疗规范(2018版),该规范指出:超声检查具有简便易行、灵活直观、无创无辐射等特点,可作为胃癌患者的常规影像学检查手段。
友谊医院超声科已经开展了胃肠超声检查,并成立胃肠专业组,现有成员8人。

病例展示:
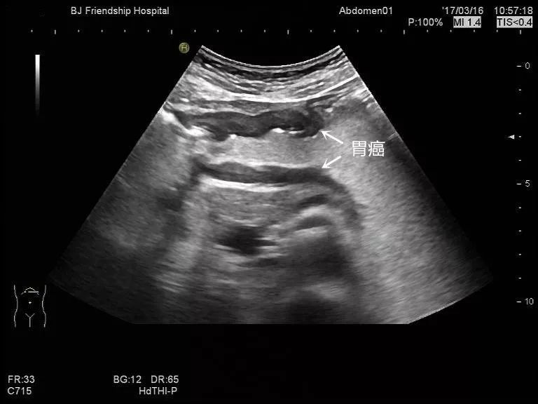
胃角部胃癌:

胃体部胃癌:

十二指肠球部溃疡:

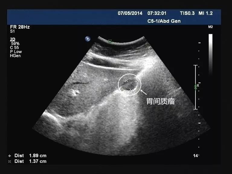
胃小弯侧间质瘤:

胃内异物伴胃窦部胃壁增厚:

作者:北京友谊医院超声科主治医生 刘东
绘图:北京友谊医院超声科 段君杉

长按下方二维码 竭诚邀请您的关注
北京友谊医院
订阅号
了解更多友谊医院医疗服务相关资讯
北京友谊医院
服务号
为您提供预约挂号、门诊缴费、就诊指引、报告查询等移动服务。