中医治疗颈椎病,三个疗程很大缓解

患 者 4 0 岁女性,右肩疼痛,已断断续续伴随其多年,对生活也造成影响。期间多次接受治疗,如肩膀按摩,拔罐,针灸,治疗后略有缓解,但一直未根除,时常复发。

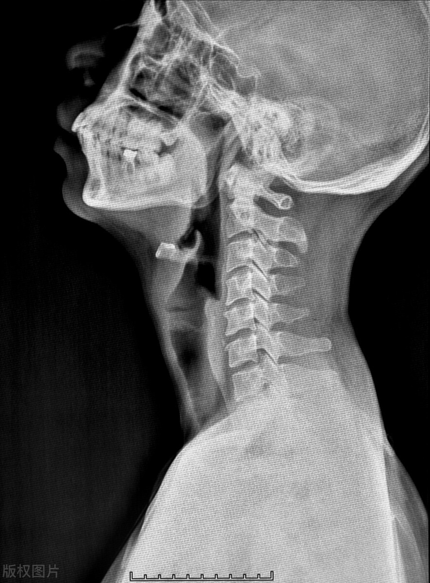
半个月前来问诊,通过核磁检查,显示患者颈椎间盘突出压迫神经。

该患者虽然症状显现在肩膀上,但根源实则是颈椎,辩证拟方,带回家自己煎煮,并配合我教她的颈部按摩操,两个疗程症状缓解明显,三个疗程后反馈基本不影响生活了,非常感谢。

中医治疗颈椎病,三个疗程很大缓解

患 者 4 0 岁女性,右肩疼痛,已断断续续伴随其多年,对生活也造成影响。期间多次接受治疗,如肩膀按摩,拔罐,针灸,治疗后略有缓解,但一直未根除,时常复发。

半个月前来问诊,通过核磁检查,显示患者颈椎间盘突出压迫神经。

该患者虽然症状显现在肩膀上,但根源实则是颈椎,辩证拟方,带回家自己煎煮,并配合我教她的颈部按摩操,两个疗程症状缓解明显,三个疗程后反馈基本不影响生活了,非常感谢。
