
每一面锦旗背后都有一个故事
每一个故事中都饱含着一段真情
每一段真情里都赋予着客户的
一份信任!
一份肯定!
上周,厦门高尚医学影像诊断中心赖振华总监和全体医护团队收到了客户周先生(化名)送来的锦旗。锦旗上“高尚医学 诊断精湛”八个大字,包含着周先生对厦门高尚医学影像诊断中心的专业诊断及服务水平的肯定和赞誉。

11月12日,漳州市67岁的周先生晨起突发头晕,胸闷,呕吐,家人将其紧急送往当地医院就诊,因其脑部有外伤,医生怀疑是颅脑病变,建议做头颅磁共振进一步检查,但当地医院预约磁共振需要数天才能排到号。随后周先生儿子辗转几家医院还是安排不上,眼看年迈的父亲饱受痛苦,却查不出病因,心急如焚,忐忑不安,迫切希望能尽早知道病因,进行下一步的治疗。
当天下午,周先生儿子通过朋友推荐联系到我中心赖振华总监,了解到客户的特殊情况,赖总监一边安抚客户焦急的心情,一边立即与中心医务组沟通安排检查相关事宜,并向周先生一再承诺 我中心当天预约当天出报告。 随后,周先生及其家人赶到厦门高尚医学影像中心,虽已是下班时间,但我中心客服人员、护士仍在前台等候,全程引导及陪伴其检查,中心医护团队也早已做好随时检查准备,在经过专业的问诊之后立即为其安排头颅磁共振平扫,颈椎磁共振平扫检查。
时间是紧迫的,在检查等待期间,中心医护在等候区不停的安抚家属,陪伴着他们一起等待。晚上6点半周先生拿到了报告,终于确定了周先生突发头晕,呕吐的罪魁祸首。
从检查到出具报告不到一个半小时,周先生家属悬着的心终于放下来的同时也感慨高尚的专业及检查速度。周先生的儿子表示:如果不是高尚,他也不知道自己的父亲还要饱受多久的痛苦,他还要走多少弯路。更没想到多家医院解决不了的问题,在高尚一个电话就解决了所有难题。
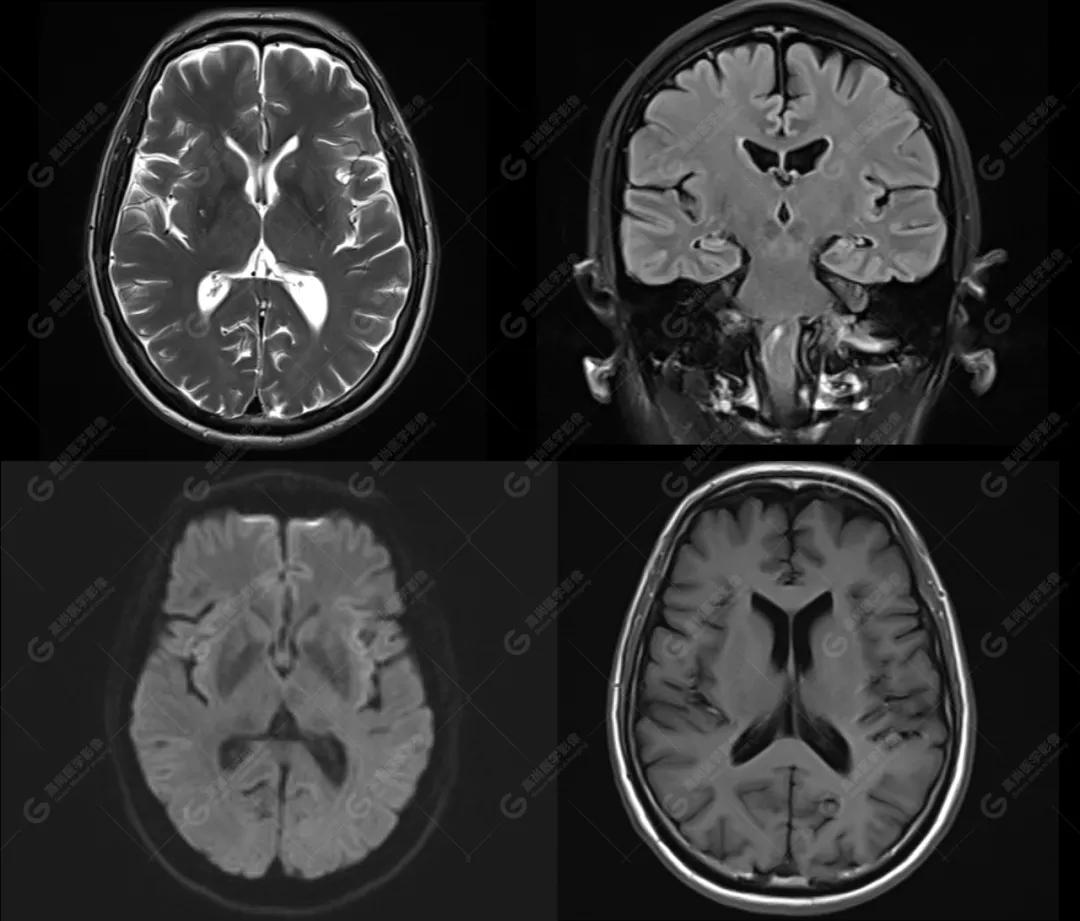
磁共振影像图

图1

图2
影像诊断: 1、颅脑MR平扫未见明显异常。
2、C3/4、C4/5 椎间盘向后中央突出 、C5/6、C6/7 椎间盘膨出 , 相应平面蛛网膜下腔受压, C5/6、C6/7水平 右侧神经根出口稍变窄 ;颈椎右侧上部神经根袖区少许T2高信号,请结合临床。
3、颈椎退行性改变。4、双侧上颌窦粘膜下囊肿。
检查结束后,周先生及其家人带上检查报告,第二天前往专科就诊,结合了检查报告,排除了颅脑问题,找到了病因,对症下药,得到了及时诊治,现已康复痊愈。
“谢谢,非常感谢”。这是周先生家人送上锦旗后说的较多的话语,朴实无华,却表达了内心真挚的感情。
加班加点,加急出报告是我们的常态, 急客户所急,想客户所想... 是初心和使命,更是责任和担当,这鲜红的锦旗就是最好的见证。
“高尚医学 诊断精湛”这八个字传递的不仅是客户的感激之情,也是对高尚精准诊断能力和优质服务的最大信任和肯定。这既是一份荣誉,更是一种鞭策,激励着我们继续前行。我们将始终坚持匠心品质、精益求精的工匠精神,努力提高医疗质量,用精湛的技术和优质的服务做好每一例影像检查。
西门子3.0T聚能静音磁共振

厦门高尚医学影像诊断中心引起西门子3.0T聚能静音磁共振,先进的Tim4G+DOTGO平台的基础上融合了西门子的“聚能静音”和“聚能成像”技术。可用于全身多部位磁共振检查,包括但不限于头颈、脊柱、心脏、腹部、子宫、卵巢、前列腺、血管、骨关节等多部位扫描。
数据精准: 太空舱Direct RF射频内置技术实现相对矫正及自动重新采集,减少误差和伪影。
图像质量优秀: 针对特定身体部位获得高信噪比与均匀度
聚能静音平台: 适用所有的线圈,提供多方位的静音解决方案,有效降低70-99%的声压,噪音低,且噪声水平与1.5T系统处于同一量级。 高舒适性 :大孔径,检查空间自然通风、采光装置及音乐耳机的设置,能够去除受检者的紧张感,增强舒适性,更好的配合完成扫描。
(文章来源于厦门高尚医学影像诊断中心微信公众号)