我从事做大脚骨临床15年多发现啊,很多的拇外翻朋友都有一个前足的并发症,就是在第二三跖趾关节下方容易长茧子,您现在看一下您的脚底,看一下您的第二三个趾头那个跖趾关节下方有没有茧子?
出现茧子一般是在30岁以后或者说是40岁以后的拇外翻,这时候的拇外翻有一个特点呢就是在第二三跖趾关节下方这个地方开始长茧子,茧子的特点是修了又长,长了又得修,然后平时觉得有点硌脚,走路时间多以后啊就有点疼痛,尤其是穿硬底鞋或者说是走的比较多,这种疼痛症状就尤其明显,或者说是疼痛的比较多。

原图可能引起不适,换成图虫的图片
当然也有一些人不会有明显的茧子,只是会走路比较多以后啊,就会感觉到前足比较累,有点酸痛,这在年轻的时候呈现的比较多见。不过由于现代的都市人多行走的比较少,有可能这个症状也不太明显,但是现代都市人穿高跟鞋尖头鞋比较多,本来是足跟的负重呢,逐渐就增加给到了前足,所以也有一些年轻的都市女性女白领,会出现明显的前足的那个第二三跖趾关节下方长明显的茧子。

外侧茧子
那为什么会长茧子呢?刚刚在上面有讲到一些穿高跟鞋的女性容易长茧,这大家都能够理解,因为本来由足跟负重转移到了前足,但是前足并没有这个能力来负接近全身的重量,由于过多的前足负重,前足为了承受更多的重力,长期承受更多的重力,逐渐就在下面增加受力面积开始长茧子。

拇外翻合并茧子
拇外翻的朋友容易在前足长茧子则是因为第一跖骨内翻,然后拇指旋转,第一跖骨旋转,这个时候就会开始出现第一跖骨的上抬,本来在前足有一个人类独有的特点:就是在前足有明显的足横弓。我们很多人知道有足弓,但是大家所说的足弓呢,更多是足内侧纵弓,我们除了足内侧纵弓还有足外侧纵弓,还有一个就是足横弓,很多人可能并不一定知道我们还有个足横弓,足横弓是有第一跖趾关节,第二三四五跖趾关节同时组成了一个拱形的这样的足弓。

足横弓
这是在人类的进展的过程中,为了站立负重而形成的一个特有的生理特征,当然其实足纵弓一样,足横弓的形成是为了让我们足部够更好的来承受我们人体的这个重量,运动、锻炼等。
当我们人体重快速增加,或者说是体重过重,或者说是同时有拇外翻的时候,就容易出现足横弓的塌陷,出现足横弓塌陷以后,本来应该由第一跖趾关节来承受的重力逐渐转移到了第二第三跖趾关节,这个时候第二三跖趾关节他就需要靠增加至骨头的粗细和增加足底胼胝体的形成来承受这个重力。

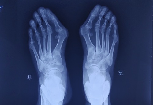
第二跖骨过长
当然还有另外一个情况,就是第一跖骨比较短,第二跖骨比较长,这一类人由于先天性的原因,第二跖骨比较长,就容易出现第二跖骨更多的来承重量,这样的人尤其是合并有拇外翻的朋友们:第二跖骨长又合并拇外翻,更容易出现转移性跖骨痛,出现在第二跖趾关节下面的胼胝体。也就是我们看到的拇指比较短,第2个趾头比较长这样的脚型,您看一下您的大拇指和第二指哪个指头比较长,如果说您的第2趾比较长,然后您同时又有拇外翻,这种情况可能更容易出现转移性跖骨痛和出现在第二三跖趾关节下方长茧子。