生活中很多人都会普遍存在牙齿不适的问题,尤其是当牙齿长期得不到正确的养护以后,很容易致使牙齿敏感、牙齿脆弱,甚至只要稍微咬一下硬物就会感觉酸痛难忍。很多人也是不知其所以然就任由它疼,那到底是怎么回事呢?
牙齿一咬硬物就痛?这几点原因不能忽视!
①牙神经外漏引起的

其实之所以牙齿咬硬物会出现疼痛或者是酸痛,考虑是因为牙神经过于外露或者是牙神经过于敏感引起的,如果突然吃一些温度过冰、烫的食物,牙齿就会感觉像电了一下般刺痛。
长期的牙龈外漏

牙齿在咬硬物的时候出现刺痛感,其实这是由于长期的牙龈外漏导致的牙龈无法完全的包裹住牙根,就会使得牙根长期的露在外面,牙根长期露在外面,也会使得牙神经过于敏感,因为牙根部是有丰富的牙神经的,牙神经一旦没有牙龈的包裹,就会使他们变得非常的敏感,无论是咬东西还是嚼东西的时候都会出现非常明显的刺痛。
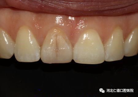
牙齿出现裂缝

牙齿在嚼东西的时候出现刺痛感,也有可能是由于牙齿出现了肉眼无法看到的裂缝,牙齿出现裂缝是非常常见的,尤其是一些饮食习惯上,喜欢吃硬物的人来说牙齿出现裂缝的几率是非常大的,牙齿一旦出现裂缝之后一定要采取及时的措施进行补救,以免引发更严重的口腔疾病。
很显然导致牙齿咬硬物痛的原因有很多,如果大家无法确定原因,一定要及时找牙牙,规避更大的风险损害。