
一旦家里有人怀孕了,那么宠物猫经常会成为第一个牺牲品而被抛弃,因此猫经常被戏称为“有了孩子就不要我了”。
主要原因就是,人们害怕宠物猫身上可能携带的弓形虫会传染给未出生的孩子。
弓形虫可能是目前世界上已知最普遍的寄生虫之一,它们几乎可以寄生所有温血动物,对于鸟类而言,除了一种野鸭之外所有野生鸟类都有发现弓形虫的感染案例,而哺乳动物也一样,从海洋到陆地所有哺乳动物都有发现被感染的案例,对于人类而言,可能至少有20亿人感染了弓形虫(最多可能有50%的人被感染)。

弓形虫©Dr_Microbe
同时,弓形虫可能也是最神秘和最有趣的寄生虫之一,因为它们被观察到会影响宿主的行为,而我们对它们的了解还非常有限。
那么弓形虫到底是什么样的寄生虫,为什么它们可以这样肆无忌惮地传播,我们现在是否有应对方法呢?
弓形虫如何传播的?
其实,直到怀孕了才把猫抛弃无疑是自欺欺人,因为把弓形虫传染给胎儿的永远不是猫,而是母亲自己本身就是弓形虫携带者——弓形虫“人传人”的唯一途径就是胎盘。

我们人类,以及其它大部分温血动物都只是弓形虫的中间宿主,它们的最终宿主是猫科动物——目前已经发现17种猫科动物是弓形虫的最终宿主,包括我们的宠物猫。
只有在猫科动物体内,弓形虫才会进行有性生殖,而在其它所有被认为中间宿主的温血动物体内,弓形虫只会进行无性繁殖。
弓形虫是一种原生动物,主要生存方式就是寄生。

它们寄生的主要闭环是:猫科动物吃下携带弓形虫的中间宿主,然后它们在猫科体内完成有性生殖,并以卵囊的形式排出体外,再被中间宿主摄入并传播给猫科动物,以此循环。
弓形虫的卵囊是一层厚壁包裹着受精卵,生存能力比较顽强,在那些被猫科动物粪便污染的土壤、水、水果和蔬菜……等等媒介上,卵囊可以存活数月(连海水中都能存活6个月),直到有中间宿主或者其它猫科摄入。
弓形虫的卵囊进入猫科和中间宿主最初经历基本差不多,都是囊壁被胃和小肠中的蛋白水解酶溶解并释放出子孢子,然后开始侵入附近的细胞。
但是,作为最终宿主的猫科动物,它们对弓形虫卵囊明显更加不敏感,会被更轻松地完成初步寄生。

在刚刚入侵新宿主细胞的时候,它们的活动会非常活跃,同时繁殖也非常快,所以这个阶段被称为速殖子。
弓形虫感染被分为三个阶段,速殖子是弓形虫感染的第一阶段,在这个阶段,弓形虫会在宿主细胞膜产生的特化液泡——被称为寄生液泡,把自己完全包裹起来并在里面快速复制自己,直到宿主细胞死亡并释放速殖子,然后它们通过血液循环传播到所有组织和器官,其中包括大脑。

图:速殖子分裂
随着速殖子的扩散,我们的免疫系统就再也坐不住了,这时候免疫反应会变得非常强烈,有时候宿主(人类)会发高烧。
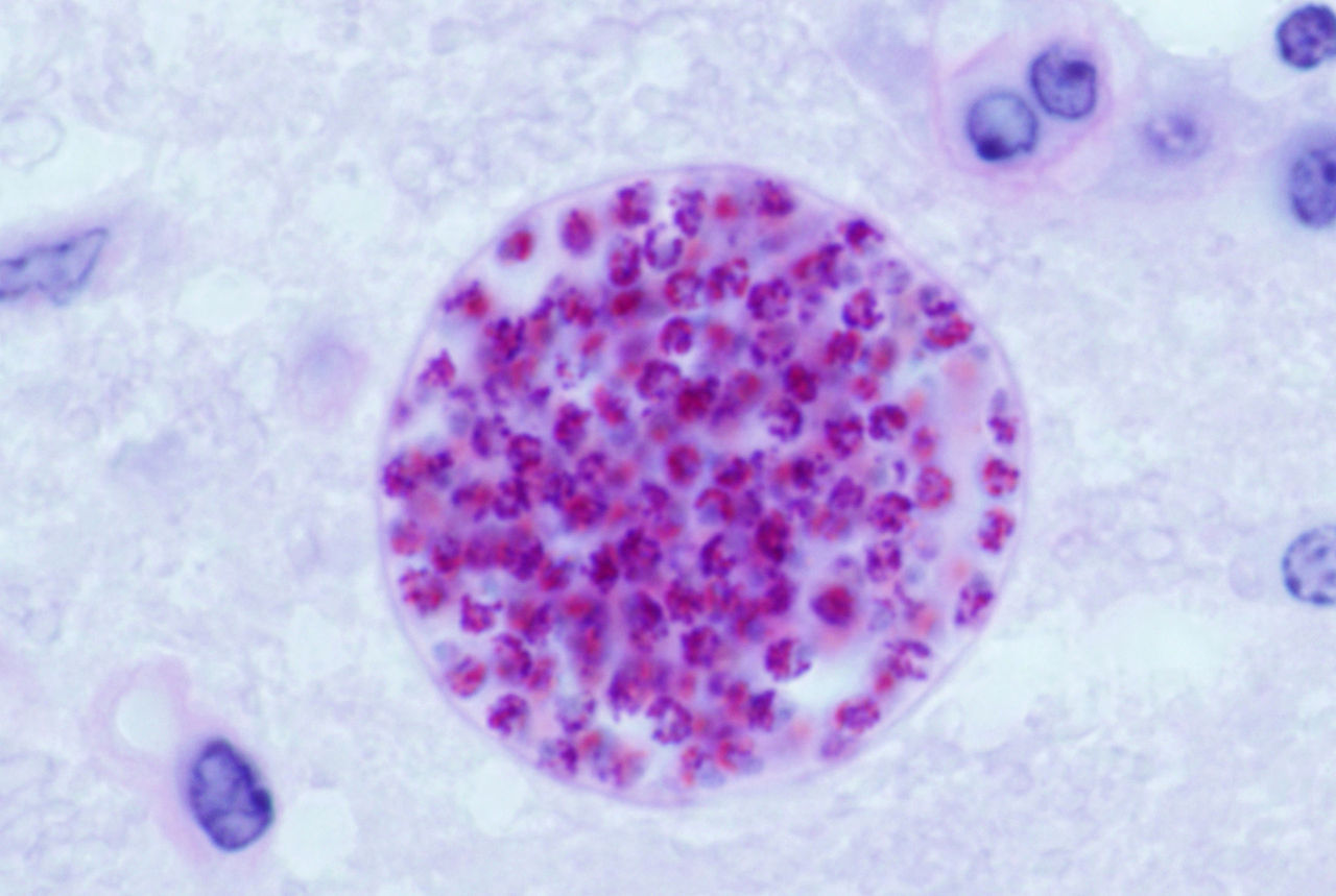
而这个时候的弓形虫也有非常聪明的生存策略,它们并不会和我们的免疫系统刚正面,而是进入第二个阶段——缓殖子。
在缓殖子阶段,它们会在我们的组织细胞内结出一簇簇囊肿——被称为包囊,同样是用泡膜把自己包裹起来,有点像是加了隐身效果,可以避免被免疫系统清除。

图:小鼠组织中的缓殖子
缓殖子的增殖速度非常缓慢,就这样在宿主体内和宿主和平共处,这时候只要免疫系统正常,宿主基本不太会有问题。
值得一提的是,虽然缓殖子可以在任何组织内寄生,但它们最喜欢的地方是大脑、眼睛和横纹肌(包括心脏)——牢牢把握住宿主最重要的器官。
摄入包囊和卵囊都可能让温血动物感染弓形虫,卵囊主要存在于水和土壤,同时污染一些素菜和草,而包囊存在于中间宿主,只要吃了不熟的这些肉就可能感染。
如果是猫科动物摄入两者的话,弓形虫会在其体内进行有性发育,并产生弓形虫的第三阶段——卵囊,而其它所有中间宿主都不会。
多样的传播方式,以及“不伤害”宿主的寄生策略,可能就是弓形虫成为寄生虫界“一哥”的原因吧。

被弓形虫控制行为的老鼠
我们前面提到过,弓形虫最喜欢寄生的地方之一是宿主的大脑,所以弓形虫从某种程度上确实有可能影响宿主的行为,同时操控宿主对于弓形虫来说肯定也是有进化意义的。
由于猫科动物是弓形虫唯一的最终宿主,所以它们最希望做的肯定是感染更多的猫科动物来完成有效的基因传递。
猫科都是最顶级的捕食者,而包囊又是弓形虫的重要传播方式,只要弓形虫稍微控制一下宿主,让猫科动物更容易吃到携带包囊的宿主,它们其实就很容易获得更大的成功。
现在许多研究发现的情况,基本也是符合这个推测——弓形虫会让中间宿主更容易被猫科动物吃掉。

图源:Wendy Ingram/Adrienne Greene
在对大鼠的研究中,感染弓形虫的大鼠对猫尿的厌恶程度有所降低,同时对猫的气味产生了X兴奋。
不过,在对小鼠的研究中,并没有发现对猫有独特的选择,而是感染弓形虫的小鼠降低了焦虑,增加了探索行为,同时对所有捕食者的厌恶感普遍丧失。
不管是对猫的单独选择,还是一种普遍选择,感染弓形虫会通过一些方式让中间宿主更容易被吃掉,这点基本是确定的。

在人类的一些研究中也发现了弓形虫对我们的可能影响,其中包括弓形虫感染者发生交通事故的风险会比普通人高2.65倍,躁狂和抑郁症病史比普通人高2.4倍,选择自主创业的情况比普通人高1.8倍。
其实,相关的研究有很多,总结起来差不多就是弓形虫会降低宿主的服从性,同时增加暴躁和探索等行为,以及精神类疾病(比如精神分裂)显著增加。
不过,弓形虫对于人类的影响现在还都被认为是非主流和缺乏证据,所以大家看看就好,不必过于较真。
虽然,弓形虫感染对人类行为的影响(真的存在的话)不一定完全是负面的,但是这东西在体内百分百是个雷。

图源:SamKakeru/果壳
对于免疫系统正常的人而言,弓形虫以包囊形式长期存在不会有任何健康风险,但是一旦免疫系统出现问题,那么对于感染者而言可能会是致命的。
由于婴儿的免疫系统相对较弱,所以弓形虫对婴儿的影响确实比较大,一些人怀孕之后不接触猫是可以理解的。
那么,有没有办法治好弓形虫的感染呢?
就现在来看应该是没有的,人类的药物(抗生素等)可以轻松杀死弓形虫,所以对急性感染是很好治疗的,但是无法完全清除包囊,只要弓形虫在组织细胞内形成包囊,那将伴随宿主一生。