如今,许多人都会坚持每天刷牙、去做美白牙齿或戴牙套等,其实都是在为自己的美丽形象努而力。
但是,在这过程中有一些问题是大家常常会忽略的,比如:有时候无意中发现,自己牙齿表面开始出现一些白色小区块,但由于这对牙齿暂时没产生什么影响,所以很多人都选择忽视了,并且大家也都不知道这是什么东西,以为刷刷牙就能清除掉,于是对此不了了之!

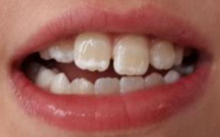
为什么牙齿产生白斑?要警惕了,你的牙齿已经被“细菌包围”,慢慢产生脱矿了!
牙齿表面的最外一层是牙釉质,是高度矿化的硬组织,当我们的牙齿没有及时清洁干净,牙菌斑就会在牙齿表面堆积。
当你吃东西时,食物里面所含的糖分遇上牙菌斑里的细菌。细菌利用糖来释放侵蚀牙齿的物质——酸,这些酸会使牙釉质脱矿。

牙釉质脱矿,不但使牙齿色泽改变,呈白色或微黄的斑点,影响美观。更严重的,牙釉质脱落,牙齿上会有明显的浅凹陷或细沟。

哪一类人群更容易产生牙齿脱矿?
平常不注重口腔卫生的人,难逃牙齿脱矿的危险!除此之外,不正确佩戴矫正器,经常饮用碳酸饮料也是后天引发牙齿脱矿的重要原因。
已经产生了牙齿脱矿,要怎么办?
1、牙齿脱矿了,需要时刻注意保持口腔卫生。特别是在饭后的时候,应清洁口腔,最好是要刷牙,至少也要进行饭后漱口,将残留在牙齿间隙的残留物及时的清理出去,以免对牙齿继续造成损伤。

2、牙齿脱矿了,注意节制饮用碳酸饮料。比如:可乐、或者是那种运动型的饮料,里面含有多种的有机酸,而这些有机酸能分解钙质,进而侵蚀到牙齿,造成牙齿脱矿。

3、牙齿脱矿了,及时做涂氟治疗。牙齿脱矿后,及时去医院进行凃氟治疗,在牙齿的表面上涂上一层氟化物,相当于给牙齿穿上了“”保护衣,继续保护牙齿、抵御牙菌斑等细菌的侵蚀。
但要提醒大家,凃氟看起来简单,但不能私自凃氟,要在专业的医生指导下进行。日常建议选用含氟牙膏,进行口腔清洁。

再次提醒大家认真刷牙,尤其正在矫正牙齿的朋友们如果看到了托槽周围有了白色斑点一定要引起重视,掌握正确刷牙方式,用含氟牙膏,坚持认真刷牙,防止它们继续发展下去。