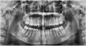
关于网络问诊,相信大家再熟悉不过了,虽然极大的丰富了人们问诊途径,让咨询越来越透明化,但是随之而来的问题也是不可避免的,比如说:同样一种症状,你在网上咨询结果和在实际医院咨询的结果是有差异的,这是为什么呢?拿牙科来举例,通常正规的检查是需要视诊和x光片等为诊断依据的,我们如果没有进行过检查,那么也只能提供一些清晰的口内照片或者面部照片,但这些并不能作为最终方案制定的依据,它只能作为一种参考依据,实际情况仍要以到院医生检查的结果为准!

视诊

x光片
这个时候,问题又来了,“我怎么知道医生给我的诊断以及治疗方案是最佳的呢?”坦白讲,我作为一名口腔医生,日常也回答一些粉丝的咨询,这种情况也遇到过不少,首先,个人觉得你要信任你的医生,如果对于方案有不明白的地方,要多与医生进行沟通,这是比较稳妥的方式;其次,如果真的心存疑虑可以多走两三家医院看看,最好是公立医院与私立医院相结合,多听听医生的建议,再综合一下,最优的治疗方案自然显而易见了,但也不要走太多医院,如果一家给一个方案,容易蒙圈儿。

需要注意的一点:最优的治疗方案一定是结合患者个人意愿的,单方面的满足口腔治疗或者美观需要甚至二者兼具的方案只能称之为次优方案。当然,我们也不能排除大家口中所谓的“入坑”的情况发生!为此呢,我总结了一些常规的牙科治疗的注意事项,给大家分享一下,仅供参考,也希望大家在看诊的时候“不纠结”“不上当”“不迷路”,另外,知道了这些,会让你的医生高看你一眼哦:
1. 正畸如需拔牙,应当优先拔除坏(龋坏)牙。
2. 智齿一般都建议拔除,但并不是所有的智齿都非拔不可,具体要看生长位置如何。
3. 龋齿的治疗原则是按龋坏程度优先考虑补牙,其次是根管治疗,最后是拔牙。
4. 牙齿美学修复应结合患者意愿遵循补牙、微贴面、贴面、嵌体修复、全冠修复的次序。
5. 对于龋坏或者外伤严重的牙齿,应遵循能保留尽量保留的原则,如不能保留则需要拔除。
6. 洗牙不等于美白,洗牙去除的是牙结石、牙菌斑、食物残渣等,它只能还原牙齿本色,而美白则根据个人情况,改善牙齿整体色泽,提升色阶,频率一般建议每年洗牙1-2次,而美白则看个人需求。洗牙是健康问题,美白是美观问题。
7. 乳牙发生蛀牙或者缺失,要及时治疗,否则会影响恒牙的发育。
注意以上这些仅供大家参考,具体情况要具体分析,如大家对文章内容有何疑问,请关注@北京口腔医生王丽,或者在文章下方留言。