记者 宋昆仑 通讯员 刘雷
6月28日,在河南中医药大学第一附属医院(以下简称“中医一附院”)心胸外科的手术室里,顺利完成了一场惊险的手术。
胸内竟长了“足球”般的囊肿
十年前一次感冒后,郑州市民李先生经常感到胸闷,总是喘不过来气,吃了感冒药后稍微缓解,也就一直没在意。李先生说,自那次感冒痊愈后,近十年来他反复出现胸闷感,但一直没有去医院做检查,只是偶尔吃点药。两周前,李先生觉得胸闷得厉害,呼吸几乎停滞,于是赶紧来到中医一附院就诊。
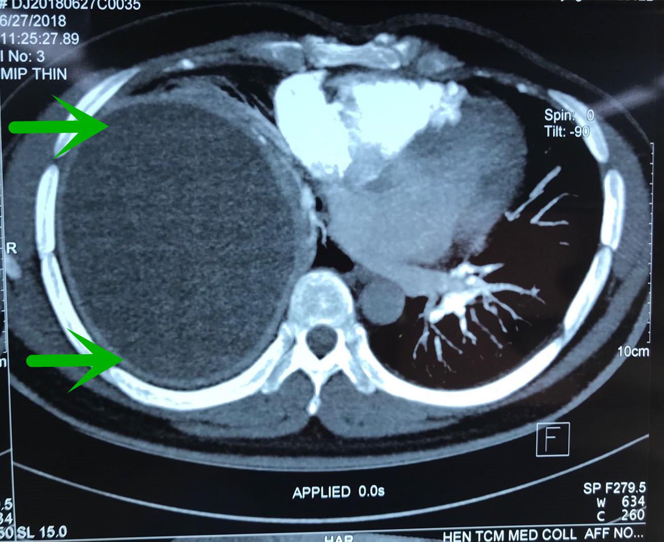
“拿到患者的检查结果,我们发现患者胸腔里长了一个足球大小的囊肿,已经快把右肺压瘪了,难怪他总是说胸闷、喘不过来气。”该院呼吸科王至婉教授说,患者胸腔内这个囊肿的体积有15×15×25cm那么大。由于囊肿的压迫,患者的右肺已经失去了呼吸功能,仅靠左肺来维持呼吸。
囊肿是占位性病变的一种,大多数都是良性的,不会对身体造成大碍,但体积较大的囊肿容易压迫其他器官,影响其他器官的正常功能。


常规影像学检查
可以尽早发现病变
“其实患者十年来,只要做过胸部CT或者核磁共振扫描成像检查,就能及早发现囊肿,不会发展成如今这么大的囊肿。” 该院心胸外科主任医师仝国林说,占位性病变很常见,通过常规的影像学检查就能确定病变的位置、大小、数目以及与周围组织的关系。
但这次李先生的情况不同寻常,由于右肺完全被挤压到肺门附近,加上右肺被压迫时间长,胸腔内囊肿巨大,可操作的空间极其狭小。同时囊肿和肺组织、主动脉、心包、膈肌、胸壁等周围重要组织粘连紧密,手术难度特别大,风险极高,手术中操作稍有不慎,就可能导致患者胸腔大血管破裂大出血,危及生命。

医生正在手术中

手术取出的囊肿:15×15×25cm
为确保手术的安全,在心胸外科曹建西主任的主持下,在手术前进行了多学科会诊,经过详细的讨论,专家们制订了安全的手术方案,在手术室、麻醉科、监护室、血库等相关科室的协调下进行了手术。
6月28日上午,经过几个小时的手术,患者胸腔的囊肿被顺利摘除。目前他恢复良好,即将出院。