502 Bad Gateway


nginx
- 在哪儿资讯网

502 Bad Gateway

502 Bad Gateway


nginx

俗话说"齿白三分俏,貌美齿为先"。当今社会,我们在人际的交往中,一口整洁、健康的牙齿会给人留下良好的印象。微笑露出八颗牙齿,不仅让你看起来更亲和,更能颜值加分。除了面部形态好看之外,更重要的是口腔与健康息息相关。可是由于口腔问题默默作祟,很多人都有牙齿缺失的状况,失去了健康又洁白的牙齿。

牙齿缺一两颗不种植,牙齿缺失好几颗

牙齿是我们每个人的门面,如果说是不小心牙齿掉了几颗,不仅看起来难看,自己难受,也会给别人留下玩笑的把柄。牙齿缺失在我们生活中很常见,导致牙齿缺失的原因也有很多:

1.年龄的增长

伴随着年龄的不断增长,尤其是一些年纪比较大的人群牙槽骨、牙龈等牙周组织 将会产生生理性的退变、牙龈也会逐渐萎缩,牙槽骨进行性吸收,导致牙齿的脱落。

牙齿缺一两颗不种植,牙齿缺失好几颗

2.外伤

由于车祸或者事故导致前牙或后牙因受伤而折断或者脱落。

3. 龋齿病

如果我们不注意口腔清洁,龋齿病就会"找上门来",患龋齿病以后,对于牙齿的破坏是由浅逐渐深入,由小创面变成大创面,如果不能及时治疗,牙齿的硬组织不断被破坏造成牙冠缺损,最终会因无法治疗而不得不拔掉牙齿。

4. 牙周病

牙周病是导致牙齿出现缺失的重要原因。牙周病会导致牙齿周围的组织逐渐被破坏,然后慢慢的会形成牙周袋,牙齿逐渐松动,最终导致牙齿的脱落。

牙齿缺一两颗不种植,牙齿缺失好几颗

5. 颌骨存在骨髓炎、肿瘤

颌骨的骨髓炎、肿瘤会咋成牙列缺陷,牙齿呈现不均匀的磨耗,进而产生牙齿折断,有时因无法治疗不得不拔除。

6. 妈妈在孕期补充营养不足导致孩子的牙齿缺失

如果母亲在怀孕时没能够补充足够的营养,特别是足够的钙磷等矿物盐以及各种维生素,当孩子出生以后就很有可能会抵抗力相对比较差,容易感染疾病,同时牙齿也容易出现缺失。

牙齿缺一两颗不种植,牙齿缺失好几颗

看了以上这么多造成牙齿出现缺失的原因后,牙齿长期缺失,你还认为不补牙就行吗,牙齿长期不补危害要比你想象中的大得多:

1.临近牙齿也会逐渐"下岗"

牙齿之间是有强烈的相互作用力,如果一颗牙齿缺失没能在最佳的时间进行治疗,相邻的牙齿由于牙齿的缺失失去一部分相对作用力从而失去支撑,逐渐向牙空隙处倾斜、移位、松动,最后缺失。

2.影响面部形态,说话漏风

单颗牙齿缺失时,对我们的发音影响不大,但是当较多的牙齿都出现缺失时,特别是前牙或者全部牙齿都出现缺失,我们的说话发音会受到严重的影响,说话费力且吐字不清楚,面部形态也会逐渐发生改变。

3.影响肠胃的健康

个别牙齿缺失或者牙列缺失时,我们的咀嚼效率会大幅下降,唾液分泌减少,肠胃蠕动会减慢,从而影响我们的肠胃健康。

牙齿缺一两颗不种植,牙齿缺失好几颗

既然这样,我们就可以根据我们的自己的身体情况弥补缺牙,方式有以下三种:

传统假牙:

牙齿缺一两颗不种植,牙齿缺失好几颗

患者可以自己进行摘戴的假牙,适宜于全口多数牙齿缺失,余留牙齿较少的情况,患者可以自行摘下来进行清洗,余留的牙齿负担比较小。

固定义齿

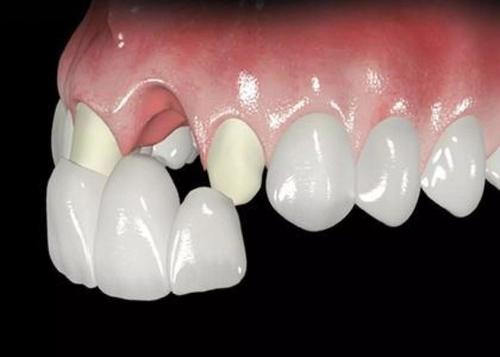
牙齿缺一两颗不种植,牙齿缺失好几颗

是利用牙齿两侧的健康牙齿做支持,将假牙固定在缺失牙齿的地方中,适用于少数牙齿缺失,间隙缺牙,不用摘戴。

种植牙

牙齿缺一两颗不种植,牙齿缺失好几颗

是将牙槽骨内植入种植体,当种植体与牙槽骨形成骨结合以后,然后在种植体上镶上牙齿,是目前牙齿缺失之后最好的修复手段。

同时我们还要做好日常的牙齿护理:

  • 1.定时刷牙,早晚2~3次,清洁口腔,清除牙齿间的食物残留,不能草草了事。
  • 2.多吃对身体有益的水果蔬菜,补充营养,增强身体对于疾病的抵抗力,牙周组织的抗病能力也会随之提高。
  • 3.坚决改正对牙龈有害的习惯如抽烟、饮酒、单侧咀嚼等。
  • 4.定期去正规的口腔医院检查,学习口腔方面的基础知识,做到及时治疗。

牙齿缺一两颗不种植,牙齿缺失好几颗

总之,我们要做好牙齿疾病的预防,当我们的牙齿缺失,一定要及时补牙,以免到最后悔不当初。

牙齿缺一两颗不种植,牙齿缺失好几颗

我是牙科医生黄征难,35年从业经历,如果你有任何口腔问题,欢迎关注后在主页私信咨询,或评论留言!可以私信牙片,我来帮你免费问诊!