
肢体额外结构可以发现在肢体骨的各个部位,包括长骨(肱骨、股骨、尺骨、挠骨、腓骨和胫骨)、蹠骨、掌骨或指(趾骨)的部分或完整的重复。
1.多指(趾)畸形 多指(趾)畸形是重复畸形中最常见的畸形,发生在4/10000 ~ 8/10000活产,根据多指发生的部位分为轴后型多指(趾)、轴前型多指(趾)和中央型多指(趾)。多指趾畸形可以独立存在,有14.6%的可伴随着其他畸形,常见的伴发畸形包括心脏畸形、胼胝体缺失、脑膨出、短肋-多指综合征等。多指(趾)可以起源于掌(跖)骨或起源另一个指(趾),内部含有软组织或包含骨骼,而前置可能导致产前超声检查诊断的困难。
(1)轴后型多指(趾)畸形:轴后型多指(趾)畸形是指发生在尺(腓)侧、5th 指(趾)侧的多指畸形,其发生可能与遗传性因素及染色体异常有关,已经发现在非洲人和非裔美国人的发生率近10倍于白人。轴后型多指(趾)畸形多发生于双侧肢体,单侧发病时多位于左侧,男性多见。Rayan等根据多指的发育情况将其分为Ⅰ ~ Ⅴ五型,仅有表现为皮肤肉赘时为Ⅰ型(图1A),有软组织连接的异常手指为Ⅱ型(图1B),有发育良好的指(趾)并与第5掌(跖)骨连接是为Ⅲ型(图1C),有完整发育指(趾)并与异常发育的第6掌(跖)骨连接是为Ⅳ型(图1D),轴后型多指(趾)畸形合并并指(趾)为Ⅴ型。

图1轴后型多指分型
(2)轴前型多指(趾)畸形:轴前型多指(趾)畸形是指发生在拇指(趾)侧的多指(趾)畸形,是最常见的多指(趾)畸形类型,发生率为1/3000次分娩。与轴后型多指(趾)畸形比较,轴前型多指(趾)畸形可能更多见于白种人。基因突变或遗传性因素在轴后型多指(趾)畸形的发生中可能起重要作用。轴后型多指(趾)畸形可能单独存在,也可能合并其他畸形或为某些综合征如心血管-肢体综合征的一部分,或伴有先天性再生障碍性贫血。根据多指的结构Wassel将 轴后型多指畸形分为Ⅰ ~ Ⅶ七型(图2);以后又有研究者对Wassel分型中的Ⅳ型分出了A、B、C三个亚型以对治疗更有指导意义。也有研究者对轴前型多趾畸形分型进行了更为详细的阐述,有兴趣者可以参考相应的文献。

图2 Wassel轴前型多指分型示意图
(3)中央型多指(趾)畸形:中央型多指(趾)畸形系至手(足)部非边缘型多指(趾)畸形。最常见的是4th指(趾)的重复畸形,其次是3rd指(趾)和2nd指(趾)重复畸形,可以形成独立的多指(趾)畸形或形成并指(趾)多指(趾)畸形。在Wood等统计的144例多指畸形中,中指和无名指的重复畸形占15%,并且有91%的合并并指畸形。依据软组织和骨骼的重复程度可以将中央型多指畸形分为三种类型:仅有软组织而没有骨的连接,内部也没有骨、软骨和肌腱时为Ⅰ型,如果重复指(趾)含有正常的组织和分节,并与深部的指(趾)骨或掌(跖)骨连接时为Ⅱ型,如果外形发育完整,并有独立的掌(跖)骨及相应的软组织时为Ⅲ型;以后有研究者将合并有并指畸形的Ⅱ型称为Ⅱb型,没有并指畸形Ⅱ型的称为Ⅱa型。
(4)多指畸形超声检查:在伸展状态超声显像检查显示胎儿手(足)冠状面可以容易地显示手(足)部的多指(趾)畸形,但由于显示断面的限制以及突出的组织较小或没有骨骼组织而影响畸形指(趾)的显示。最佳的显示时间是14孕周~16孕周。检查是注意显示和观察手(足)指(趾)的排列,左右关系是否清晰、整齐,有无变形、弯曲,超声显示检查常常是显示指(趾)排列异常为线索,通过进一步的细致、对比观察显示显示手(足)指(趾)的重复畸形。
手(足)指(趾)的侧方的重复畸形,包括轴前型和轴后型多指(趾)畸形时,手(足)指(趾)的正常形态多可显示,仅仅是在手的一侧显示额外的回声,多数结构异常或骨骼短小,与正常的手指排列关系明显不一致,较短,指(趾)骨缩短或有弯曲,与相邻指(趾)骨或掌(跖)骨成角畸形(图3,图4)。如果不能显示手(足)指(趾)的正常形态并且指(趾)数增多,则为中央型多指(趾)畸形。显示中央型多指(趾)畸形时需要注意观察多指(趾)与邻指(趾)的关系,如果表面皮肤及皮下软组织完整,则为多指(趾)并指(趾)畸形。产前超声检查发现多指畸形后要注意胎儿头部、胸部、心脏及腹部的检查(图5),发现有无合并的畸形对预后的评估非常重要。
三维或实时三维检查需要依赖高质量的二维图像及理想的检查条件,尽管也不能达到满意的显示率,但与二维超声检查比较,三维及实时三维检查可以更好地显示手(足)部的位置、形态,显示手(足)指(趾)相互的关系,有利于手(足)部畸形的显示。

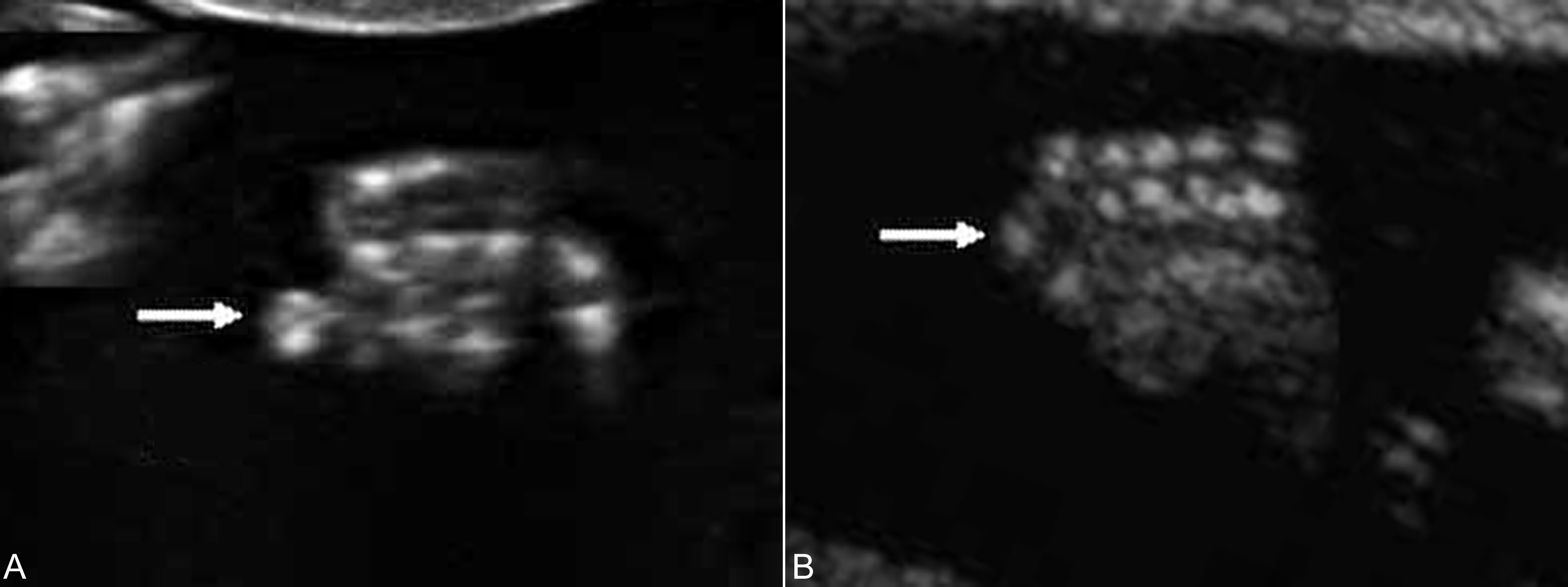
图3轴后型多指二维超声显像检查(A)及三维维超声检查(B)显示突出的多指(箭头)

图4轴前型多指畸形声像图(箭头)

图5多指(A)-短肋(B)综合征畸形
4.尺骨重复 尺骨重复又称尺侧复肢畸形或镜手畸形,是非常罕见的上肢畸形,典型的变化是前臂有两根尺骨形成,挠骨及拇指缺失,沿轴线对称性或非对称性6指~8指多指畸形(图6)。多数两根尺骨均发育异常,腕骨重复排列。超声显像检查显示手部对称性多指,拇指缺失,上臂显示基本一致的两根长骨;有时上臂仅有一根长骨,但显示拇指缺失并对称性多指时仍可诊断镜手畸形。

图6镜手畸形X检查(A)及手部图像(B)
(四)肢端其他畸形
1.剪刀手 染色体异常胎儿特有的手形异常,实时超声扫查时及随访检查均显示手部保持固定姿势,腕关节及掌指关节屈曲状,手指半张开。
2.重叠指 亦与染色体异常关系密切。主要表现为掌指关节屈曲,中指屈曲最明显,食指和无名指重叠在终止背侧,拇指屈曲、内收于食指背侧。
3.先天性足内翻 先天性足内翻是胎儿足不常见的发育异常,多与遗传因素有关,可单独存在或与其他畸形并存。超声显像检查显示小腿矢状长轴切面时与足底平面一致,姿势固定,并可合并其他部位畸形(见图23-11)。
除上述肢端异常外,还有一些肢端畸形在产前超声检查中难以显示,或显示为无规律型的发育异常,如拇指发育不全、三指节拇指、关节挛缩及痉挛性屈指(图7)等。有兴趣这可参阅有关文献及本书胎儿复杂畸形超声检查和评估部分。

图7胎儿小指屈曲畸形声像图:小指中节指骨缩短(箭头),向外侧弯曲(非同一胎儿)