文/羊城晚报全媒体记者 张华
通讯员 黄怡辛
图/医院提供
生活中,人们误吞骨头、鱼刺的事情时常发生,但是误吞假牙引起呼吸和吞咽困难却比较少见。近日,广东省第二人民医院(以下简称“省二医”)多学科的专家们协作,成功为一位97岁高龄老人取出卡在咽喉处的整排假牙,其过程一波三折,惊心动魄。
97岁老人咽痛两天,原来是假牙卡喉
今年97岁的林大爷,最近喉咙痛了两天,起初他以为是感冒,没有重视,后来出现呼吸和吞咽困难,才发现是不小心吞了假牙,卡在喉咽里了。在普宁当地医院,医生无法为他取出假牙,建议转院到省二医治疗。

假牙异物位于人体的“交通要道”——会厌谷及食道入口
广东省第二人民医院耳鼻咽喉头颈外科主任医师傅向军为林大爷做了影像检查,结果显示为“下咽食道入口异物”。同时,林大爷基础疾病较多,曾做过心脏起搏器置入和冠心病支架置入手术,最近又因为摔倒导致耻骨骨折,身体十分虚弱。对于高龄合并多种疾病的情况,手术的风险较高。
广东省第二人民医院耳鼻咽喉头颈外科负责人、主任医师邓泽义当即认为,“患者吞咽、呼吸困难的症状无法缓解,且有食道穿孔等重症感染风险,如果拖延就会造成生命危险,因此要尽早手术取出异物。同时要做好抢救应急预案,降低潜在风险。”
术前严重心力衰竭,高龄增加麻醉难度
林大爷刚入院时两天没有进食,呼吸急促,心力衰竭,情况危急。医生为他紧急进行心电监护,吸氧、禁食、补液、抗感染以及抗心衰对症治疗。
心电图显示,林爷爷有频发房性早搏,短阵房性心动过速,心肌缺血。同时,他体内的心脏起搏器已使用了5年,平时未能定期复诊,状况难料。

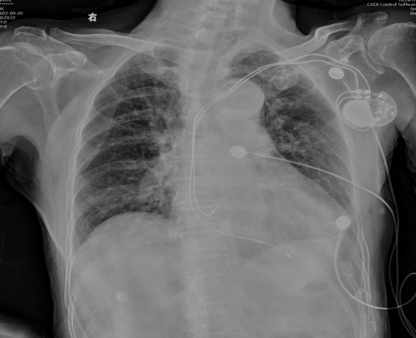
胸部影像片:心衰,肺间质水肿,见胸壁起搏器
“高龄患者在全身麻醉下,各项身体机能会发生变化,并且起搏器工作状态无法评估。通俗一点说就是,起搏器平时为备用状态,万一心律失常,需要启动起搏器,但如果起搏器电量不足,就会相当危险。” 傅向军说。
于是,傅向军紧急请心脏重症科会诊。会诊意见认为,起搏器工作状态未知,需要1-2天时间检测电池电量,而患者可能等不及了。经过与患者家属详细沟通,团队决定迎难而上,为林大爷进行气管插管全麻下异物取出手术。

术前心律失常紧急处理后,专家团队严密观察心电监护情况
术中一波三折,医生使用可视喉镜巧取假牙
果然,被推入手术室不久,麻醉还没开始,林爷爷就出现了频发室性心律失常。“心功能风险高!快使用利多卡因!”麻醉科主任医师廖秀清立刻指示,给予强心及抗心律失常治疗。得到紧急处理后,林爷爷才转危为安。
而当手术团队正准备气管插管,以保证术中供氧的时候,又遇到一道难题:假牙卡在会厌谷与梨状窝,也就是气道与食道的“十字路口”,难以抬起会厌,气管插管困难。

傅向军主任医师借助可视喉镜巧妙取异物
如果不能气管插管,就不能使用食管镜,意味着无法取出异物。这时,傅向军主任医师建议,采用弯曲可视喉镜,终于看见了目标物——假牙。但是假牙位置较深,普通的器械主体多为直线,不符合舌根后的弧线结构,难以将其取出。傅向军主任医师改为使用卵圆钳,慢慢一点点往外移动,终于将“罪魁祸首”一整排假牙取出。幸好,此假牙为下颌义齿,无金属挂钩,没有明显将林大爷口腔和咽喉的黏膜切割伤。

“罪魁祸首”真面目—— 下颌假
为林大爷取假牙,手术前后花了两个小时。术后,林大爷会厌肿胀,苏醒较慢,被送入ICU重症监护治疗。第二天他的情况好转,便回到耳鼻咽喉头颈外科普通病房治疗。
医生提醒:佩戴假牙需注意这五点
傅向军提醒,老人佩戴假牙时一定要重视假牙的护理,因为其感觉减退,很容易发生假牙脱落,甚至误吞,如果假牙上带钩,误吞后可造成严重后果。因此专家建议:
1、不要佩戴活动假牙进食年糕、汤圆、粽子等黏性大的食物;进食时要注意细嚼慢咽,尤其是吃黏性食物时更要细嚼慢咽,以免假牙因吞咽误入食道。
2、睡前要取下活动假牙,不可佩戴着假牙睡觉。
3、喝水服药时同样要注意,避免将假牙一起吞下。
4、佩戴的假牙如松动、损坏,要及时去医院处理。
5、发生过脑血管意外的老人以及有智力障碍或有精神疾病的患者,使用活动假牙时一定要慎重。(更多新闻资讯,请关注羊城派 pai.ycwb.com)
来源 | 羊城晚报·羊城派
责编 | 陈辉