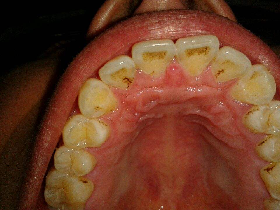
牙齿上附着着黑色的污垢,看起来脏脏的,让人很不舒服!但是这些黑色污垢却很难清理掉通过刷牙怎么刷它也“纹丝不变”。其实,去除这些污垢得用专业的方法!

造成牙齿附着黑色污垢的原因有很多,而这些污垢有可能是牙结石,也有可能是蛀牙的氧化物,还有可能是假牙所致……它们的去除方法都不一样。
黑色污垢一:牙结石
牙结石是饮食过程中,食物残渣残留在牙齿表面经过分解沉淀而形成的污垢,它一般呈现出黄色、棕色、黑色等等。而黑色的牙结石一般都是由于经常抽烟,烟渍残留于牙齿所致的。

想要去除它,单靠刷牙可不行!在临床上,去除牙结石有专业的方法——洗牙。洗牙是通过超声波的震动,使牙结石去除,或牙医使用医疗器械手工剔除。
黑色污垢二:蛀牙产物
很多人发现自己的蛀牙,都是因为牙齿出现了黑色物质。这些黑色物质是细菌腐蚀牙体,牙体分解后发生了氧化反应而产生的。

想要清理掉这些黑色物质,就要治疗蛀牙,阻止蛀牙继续发展,以及修复牙体形态。一般来说,如果蛀牙还未累及牙髓,可以进行补牙,反之则需要进行根管治疗。在治疗的过程中,会磨除发黑的腐坏牙体。再充填修复后,牙齿又会重新美美哒~
黑色污垢三:烤瓷牙发黑
金属烤瓷牙有一个令人难以接受的缺点,那就是使用一段时间后很可能会出现金属内冠氧化的情况,氧化后会出现牙龈边缘发黑,影响美观之余,还威胁牙周健康。通常烤瓷牙发黑会引起严重的牙龈炎、牙周炎等。

想要恢复牙齿美观,以及为健康考虑,发黑了的烤瓷牙通常需要拆除修复。但有的烤瓷牙已经严重氧化,使牙体龋坏了,伤及了牙髓,就需要进行根管治疗或拔牙治疗了。所以,对于烤瓷牙发黑,最好不要忽视。
这三个是常见的牙齿出现黑色污垢附着的情况,而牙齿变黑却不仅这几种情况,像一些氟斑牙等色素牙也会出现牙齿发黑的现象,其处理方法也不一样。因此,对于牙齿有发黑,目测有黑色污垢附着,建议去做个口腔检查,对症处理,如此事半功倍!