网络咨询病例分享:


前言: 现在的医疗行业,不单是老百姓觉得过度检查、过度手术盛行,医务人员自己也有许多人觉得确实有些过度了。但多归结于医疗改革方面的原因、医保支付方面的原因、药品零差价医疗利润下滑方面的原因,以及医疗扩张发展需要的原因等。当然宏观角度来讲,这些都对,但这些压力传导到一线医务人员或医院领导身上,就是表现为手术指征越放越宽、检查手段能上尽量上、小病能住院尽量住等这些具体的行为上。在肺结节外科手术治疗的领域,就是表现在风险低的、小的、淡的磨玻璃结节是考虑肿瘤范畴的,越来越早的干预处理,虽然专家教授们学术会议、科普讲座时并不认为这类结节需要积极干预手术,但仍可能会因为掺杂了科室经济收益、手术量比拼、新技术开展、课题论文需要等其他因素,从而过于积极建议病人手术。今天分享的这个病例,是位网络咨询的肺结节病友,在我看来是未达需要手术的程度,但却是在国内非常顶尖的某著名医院,非常著名的教授特需门诊时建议其手术治疗。
就诊人信息:
基本信息:
男性、1967生
问题/病情详细描述:
2022年10月在某医院CT查到左肺上叶尖后段见磨玻璃结节,边界清晰,内见小空泡7X6X7mm,下叶胸膜见棘状突起。右肺上叶浅淡密度小类结节,约4mm,边界模糊。医生让随访。后又挂某教授的特需门诊号,让切除7mm的结节,为手术,11月又做了CT,结节基本无变化。现在已叫停了手术,问诊叶主任。
是否就诊过(选填):
是,在胸外科就诊过。
图片展示与分析:
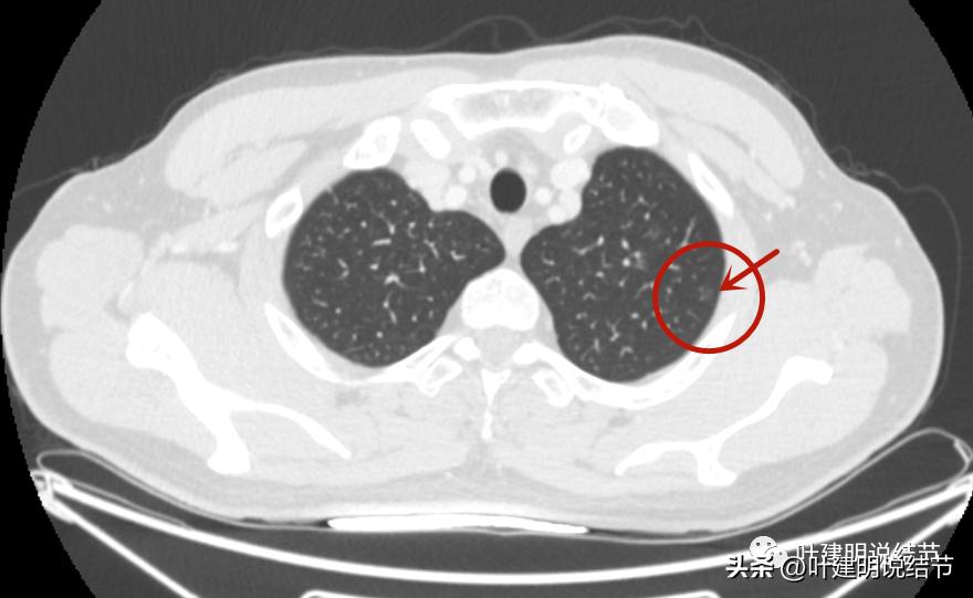
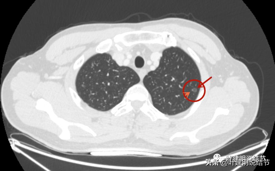
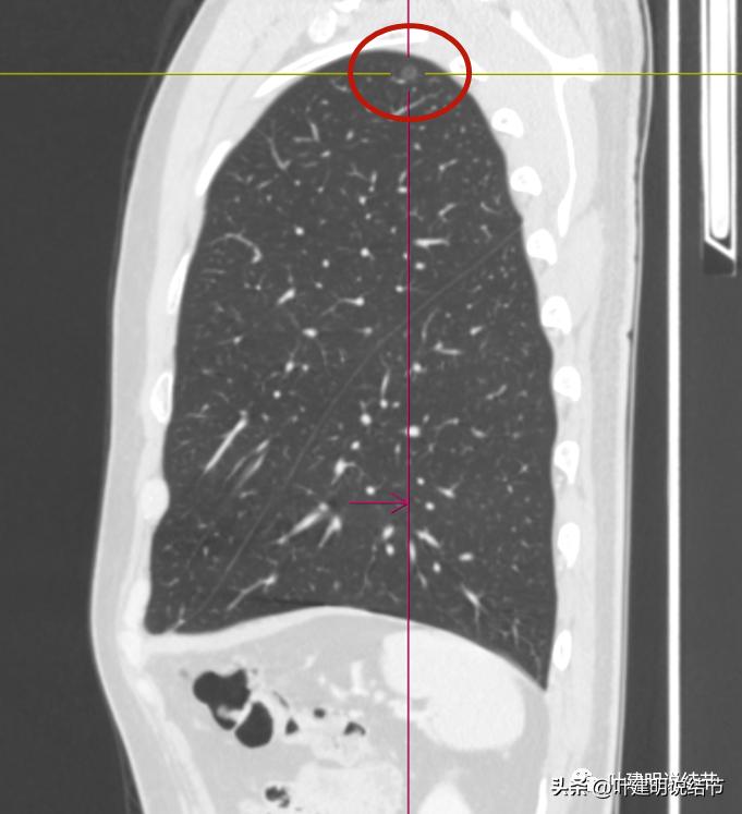
病灶1:左上叶结节

病灶出现,密度很淡,不仔细都看不太出来。

轮廓相对较清,是有结节在,密度低。

边上有小血管贴着,但病灶本身密度确实低。

病灶血管贴边,瘤肺边界较清。

中间密度比周围区域更低一点。

瘤肺边界清。

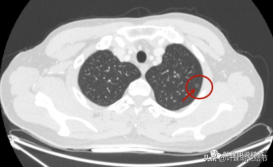
感觉之所以中间密度偏低,是不是因为病灶边上有血管,从而血管围成类近一圈,而肿瘤的真实部分密度是非常低的,看上去显得低密度空泡征似的?

周围不同方向也有血管。

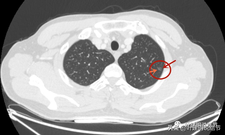
冠状位见多角度多边有血管贴着,磨玻璃部分密度低,轮廓清。

矢状位见病灶密度低,轮廓清,瘤肺边界清楚。
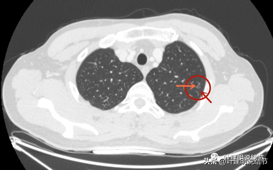
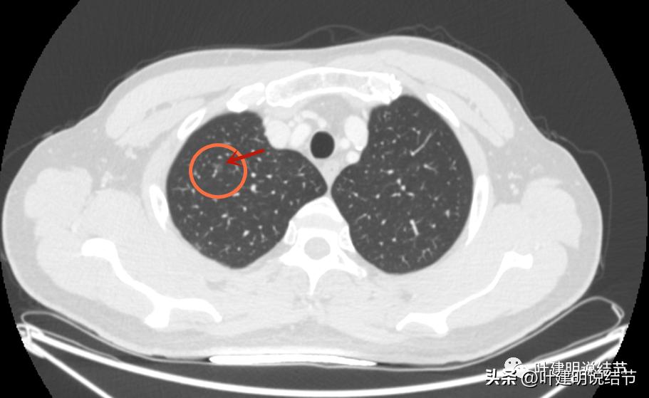
病灶2:右上叶结节

右上有微小磨玻璃结节,见血管穿行,整体密度也不高,但似乎比左侧的略高点。

病灶轮廓较清。
影像印象:
这两处结节均考虑是肿瘤范畴的,因为轮廓清,磨玻璃密度,并有血管穿行。但整体均还上,密度还很低,尤其左侧的密度更低。这样密度极低的磨玻璃结节,它周围的血管贴边并不似因为肿瘤生长需要富血供,从而吸引了新生血管过来,或周围血管发出分支来供血,而是“碰巧”有血管刚好经过的可能性更大些,且淡磨玻璃密度的结节基本不具有侵袭性,不至于侵犯或影响血管从而带来危险。如果一定要来预估一下病理会是什么,大概左侧以不典型增生可能性大,不能除外原位癌;右侧稍倾向原位癌,但也可能是不典型增生或肺泡上皮增生,至少近期风险低,能随访。
我的意见:
左侧磨玻璃结节红色圈起来的瘤肺边界清,有血管贴边,但整体密度低,没有实性成分,考虑仍是不典型增生或原位癌阶段,近期风险低,个人觉得最好先随访,因为可能很多年不变的,而且也可能再检出新的结节来。况且随访有进展再干预,效果也是一样的。右侧结节也是肿瘤范畴,但风险一样不高,建议同样半年到一年复查(其实1年也关系不大的)。意见供参考!
感悟:
持续存在的磨玻璃结节基本上都是肿瘤范畴的,包括不典型增生或原位癌,但它们惰性、发展慢、风险低,观察随访的窗口期长。而且多发的比例很高,在近期风险很低的情况下,是不是要考虑恶性范畴就建议手术,这真的是值得大家深思的问题。顶级医院的顶级专家,自然水平要比我更高一些,但我的担忧是大专家会不会也有治疗疾病以外的其他方面的心思在里面,并没有能总是“以病人为中心”来考虑问题,从而导致事实上一定程度的过度治疗。而这样做的危害在于:1、与基层医院抢病源;2、否定下级医院医生“建议随访”的意见,真切出来是恶性范畴,因为多数人还是觉得恶性还好早手术,而对知道恶性仍观察不能理解。这样病人会对下级医院医生更失去信任;3、让下级医院或同级其他医院的医生觉得“反正我不积极开,病人也会到其他医院被开刀,还不如我也建议开”,从而导致过度手术盛行,大家都卷入其中,无法独善其身。有些事要改变,不应该从下而上,而是从上而下才行。再者, 目前过度检查治疗手术等比较普遍,最根本的原因是“大医院过度无序扩张”! ,至少日常运行成过高,在财政主要靠医院自己做出来的情况下,只有多收病人、多检查、多手术、小病大治,从而有更好的经济效益,也从而让分级诊疗论为一句空话。最后是把小医院都逼到无法生存,大医院之间也内卷到不行。唉!除了一声叹息,还能如何?

(此处已添加医疗卡片,请到*今条头日**客户端查看)