近期,安州区中医院疼痛科、针灸康复科主任,安州支社社员张静率针灸康复疼痛治疗团队利用新技术成功为腰椎间盘突出伴神经根病患者实施微创手术,让其挺起腰杆告别腰痛。

53岁的王阿姨(化名)反复腰背部疼痛伴活动受限1年余,经院外保守治疗后,症状时有反复,稍微弯腰,腰骶部边疼痛难受。4月初,王阿姨因症状加重到安州区中医医院院就诊。在进一步检查后,发现其腰椎CT及核磁提示:腰3-骶1椎间盘变性,腰4/5椎间盘向右后突出,腰5/骶1椎间盘向后突出……患者目前症状主要考虑腰4-5椎间盘突出压迫硬膜囊及右侧神经根。

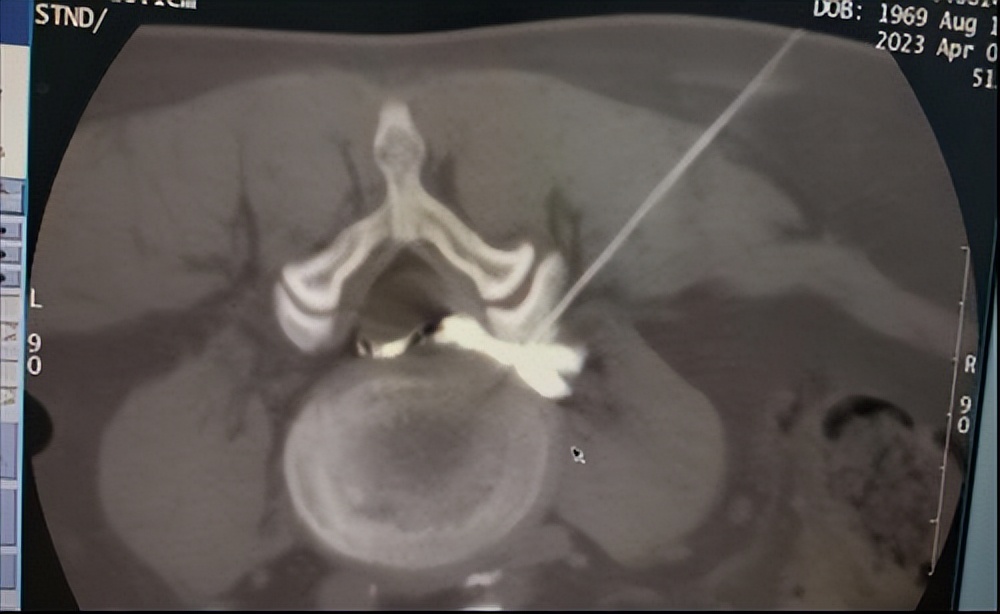
在与王阿姨及家属充分沟通、详细讲解病情、手术方式及预后情况后,针灸康复疼痛科主任张静为王阿姨确定了手术方案——CT引导下腰4/5椎间盘纤维环微创消融术+神经阻滞阵痛术+胶原酶溶解术。
张静介绍:“患者的腰椎间盘已经出现神经压迫,保守治疗效果不明显。我们的手术方式其实就是在CT的引导下用一根针将胶原酶注入病变的椎间盘,通过水解胶原酶被血浆中和吸收,从而使椎间盘突出物减小或消失,使得神经组织的压迫得以缓解或消除,临床症状就会得以改善或消失。”该微创手术具有创伤小(仅仅2mm左右穿刺口)、恢复快、不破坏脊柱稳定性、住院时间短等优势。
术后第四天,王阿姨顺利出院。据张静介绍,该技术是科室开展的新技术之一,目前已成功实施数例,皆取得了良好的临床反馈。随着微创技术的不断发展,胶原酶溶解术已让越来越多腰椎间盘突出症患者受益,但腰椎间盘症突出症的治疗不是一概而论,需要根据患者的病情制定阶梯性、个性化诊疗方案。

(CT引导下精准穿刺)
作为一名九三学社社员,张静时刻以九三学社先辈为榜样,弘扬爱国民主科学精神,在医学事业和*党**派履职中“双岗建功”。现代医学技术日新月异,发展迅速,作为一名临床医生,只有不断的学习,提高自身理论和实践技能,才能够更好的为患者服务。张静在工作之余,始终不忘学习新理论新技术,精益求精,今年作为安州区中医院人才引进后,已率先开展多项微创介入技术,填补了安州区疼痛事业的短板,不断造福于安州区老百姓,让疼痛患者不出家门,就可以解决。(撰稿:张静、王杨梅)