(文中有手术标本展示,如对其在意,请谨慎点击阅读)
本文分四篇首发于微信公众号《杭州市肿瘤医院》:


前言: 肺癌在中国的发病率和死亡率均位于恶性肿瘤中的第1位,近年来中国肺癌的发病率和死亡率呈明显上升趋势,据我国国家癌症中心统计,2016年我国肺癌发病率和死亡率均居恶性肿瘤首位,早期肺癌多无明显症状,临床上多数患者出现症状就诊时已属晚期,晚期肺癌患者整体5年生存率不高。而近十多年来大量检出的肺小结节中,是磨玻璃密度的、持续存在的肺结节大部分最终被证明是早期肺癌;是实性的微小结节则多为良性,较大的随访进展的孤立性实性结节恶性的概率也很高。在临床诊疗的肺癌比例中,中晚期肺癌的比重明显下降。但肺癌诊疗指南的更新实际上并不能与临床上肺癌疾病谱的这种变化同步跟进,最主要的问题是指南的更新需要循证学的充分依据,而肿瘤治疗效果的评估并不是一朝一夕的事。更关键的是近年来越来越多的多原发癌被发现,而指南中关于多原发癌的表述内容相对简单,多为原则性建议,在临床实践中不同医生的把握与理解天差地别。如何将肺癌疾病谱的改变与诊疗指南结合,以病人的健康权、经济代价、治疗效果等为中心,达到肺癌诊断与治疗相对于患者立场的最优,这是一个非常值得社会各界关注与深入思考的问题。
浙江大学医学院附属杭州市肿瘤医院胸外科依托肺癌一体化诊疗中心与马胜林工作室,常态化进行肺癌诊疗多学科MDT模式,将临床实践与指南规范有机结合,走出了自己的特色之路,深得肺癌患者与家属的好评。我们从三个不同的肺结节手术治疗的诊疗为例,来阐述杭州市肿瘤医院肺癌多学科诊疗团队对于肺癌诊疗新的理念、新的思路:

(一)77岁高龄左上肺癌顺利行肺癌切除及淋巴结清扫,风险小、恢复快,效果好
基本情况:
患者某A,男性,77岁,检查发现左上叶占位,平时没有呼吸道症状,肿瘤筛查指标正常。但动态心电图示房性早搏达1万次以上,有心动过缓,最长间隔2.3秒。心内科会诊,认为如果能安装临床起搏器更好,但没有心脏方面的绝对手术禁忌证。

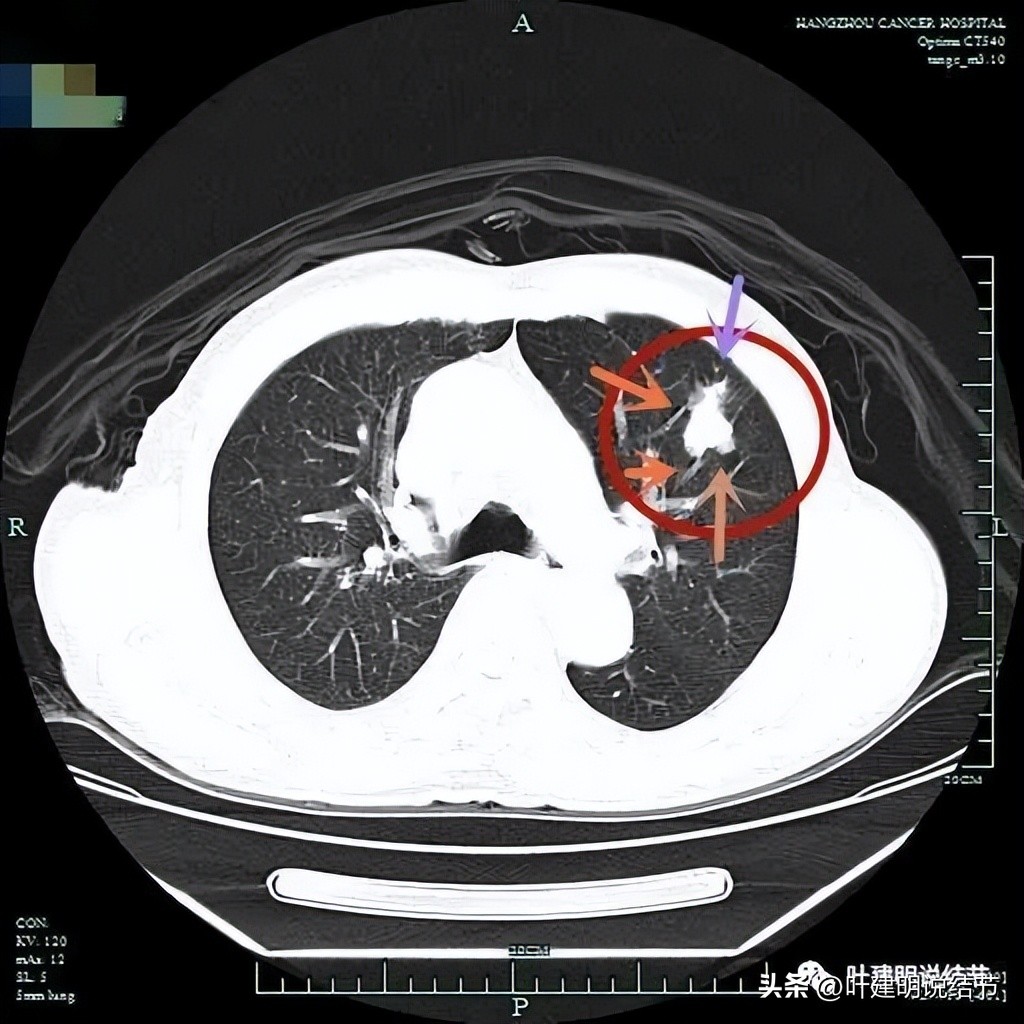
影像特点:
左上叶实性占位,边缘有磨玻璃成分,有较为典型的血管征、分叶征、毛刺征以及支气管截断征,首先考虑恶性肿瘤。相关其他检查无明显远处转移征象。
临床思考:
这样的年纪、这样的病灶,按肺癌诊疗指南做肺叶切除加淋巴结清扫术风险较大,术后肺功能影响明显。即使妥协性的肺段切除术,由于肿瘤位置的关系很难施行(在固有段但非常邻近舌段);如果考虑立体定向放疗也是合理的选项;如果考虑消融也是可以的选择;如果考虑高龄与心脏方面的风险选择化疗、免疫治疗或穿刺活检明确后靶向治疗同样是可选项。但有没有更好的选择?病灶能被去除、创伤不太大、肺功能影响小、治疗效果相对较好、经济花费又不大。马胜林教授团队经过包含放疗科、肿瘤内科、胸外科、影像、病理、介入科等多学科专家的共同讨论,并经过与患者及家属的充分沟通,最后考虑采用胸外科叶建明主任提出的“单孔胸腔镜下左肺上叶部分切除加纵隔淋巴结清扫术”,这样做的好处是:1、肿瘤原发病灶能够完整切除,局部效果必定好于放疗、消融或其他全向治疗措施;2、突破肺段切除的解剖限制,能以肿瘤为中心切除病灶与周围肺组织的同时又保留了更多没有肿瘤的肺组织,更好维护了肺功能;3、手术简单、时间短、对机体的影响小、术后恢复快,手术风险小;4、纵隔淋巴结以及肺门淋巴结的清扫能够尽最大可能评估淋巴结有无转移,与肺叶切除相比,遗漏的只是肺内第11组及以下的淋巴结情况。也就是说这样的手术方式如果纵隔淋巴结有转移同样能确定是ⅢA期,后续如果需要辅助治疗,仍有足够依据;如果肺门淋巴结有转移而纵隔淋巴结无转移,同样能判定为ⅡB期,以决策后续辅助治疗事宜;如果肺门与纵隔淋巴结均阴性,那么我们将判断它为ⅠA期,但这种情况下,可能会因为事实在存在的第11组或第12组淋巴结有转移而我们当作没有转移而带来分期的偏差,从而影响术后辅助治疗的给或不给。但如果我们把这样的处理决策放到对病人利弊权衡的角度去考虑,显然是利大于弊的,因为这种偏差的存在,即使事实有肺内淋巴结转移而未知,随访过程有复发或转移,仍可届时予以综合的治疗措施;而若事实上没有转移,则通过这样的手术方式也达到了根治肿瘤的目的。
最后结果:
患者手术非常顺利,术后恢复快,也很好。术后病理结果:左上叶周围型大细胞神经内分泌癌(大小3*2.6*1.8厘米),可见STAS现象,可见脉管癌栓,切缘及断端均阴性,肺膜未见肿块累及。送检第4组、第7组、第8组、第9组、第10组淋巴结共15枚,均未见癌转移。
感悟:
指南或临床上一般能手术的肯定都是首选手术的,但也都会指出如果心肺功能或机体不能耐受手术时,可以选择其他的治疗措施,包括目前非常热门的消融以及传统的SBRT,也有许多医生会选择直接化疗或化疗加免疫治疗,或基因检测后靶向治疗等措施的。但我们通过这个病例想要表达的意思是:由于胸腔镜单孔微创手术的普及,实际上外科已经能通过很小的创伤、很短的手术时间、对肺功能损失同样很小的手段既完全去除原发病灶,又能取得病理依据和足够多的标本进行免疫组化、基因检测等全面的检测评估。传统的心肺功能或全身情况不能耐受开胸手术的病例实际上会有很大一部分是能耐受单孔胸腔镜楔形切除的,如果不要眼睛只盯着定要肺叶切除加系统性淋巴结清扫,按本例思路切除原发病灶,并进行淋巴结采样,不管对于分期的依据还是原发病灶的控制,都是明显优于消融或SBRT的,而且也不影响术后需要时的辅助治疗。这正是个体化治疗的重要内容之一。
(二)29岁女子发现半年了的实性伴空洞的肺结节,仅2厘米微创单孔切除,术后24小时内即出院
基本情况:
患者某B,今年29岁,半年前检查发现右肺下叶实性结节,伴有空洞。随访复查没有好转,到底是良性还是恶性、需不需要手术异常纠结。

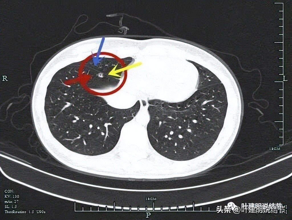
影像特点:
右下叶这个病灶紧邻叶间胸膜,但没有明显胸膜牵拉,说明收缩力不强,良性可能性大些。但随访持续存在,周围肺野清晰。部分似有点像磨玻璃密度,中间有空泡征。这种密度的结节,又不是结核好发部位,半年了没有吸收好转,即使进展不显著,也不放心。
临床思考:
这个病灶的位置很好,单孔胸腔镜下楔形切除非常方便,相当于做个活检,如果良性最好,如果恶性(比如浸润性腺癌腺泡型或原位癌伴纤维增生之类),那么鉴于年轻,病灶在边缘,也可在切缘阴性情况下加上淋巴结采样即可,这种病灶有转移的可能性总该微乎其微的。所以如果我们摒弃最后病理结果是什么来讲,从利弊权衡角度,还是切除化验更为放心。这个位置、这种大小,穿刺活检也不合适。
最后结果:
经过与某B的充分沟通,叶建明主任为其进行了单孔胸腔镜下右肺下叶楔形切除术。术后病理是细支气管腺瘤,一种少见的肺良性肿瘤。这样心中石头落地,更好的是作为年轻爱美女性,手术切口仅2厘米,术后24小时内就出院了。下面是她手术切下来标本(才指甲盖大小这么一点点)以及切口缝好后的样子:


感悟:
在传统开胸手术的年代,这样的病灶如果要手术,侧胸部要长达20厘米以上的切口,对于年轻爱美的女性来说,如果良性真的无法接受。而正是由于胸腔镜技术的普及,当这种边缘部分,楔切方便,创伤小,恢复快的情况下,其实不能除外恶性,或者随访无好转,思想有顾虑时,做单孔胸腔镜下的活检切除,既达到明确诊断的目的,又兼具治疗的双重作用。团队一致认为,手术的适应证其实是非常合适的。也就是说,淡化最后病理是否为恶性,而是以病灶有无风险和手术创伤大小之间的权衡利弊来考虑。显然手术更优于穿刺活检,又免于随访的焦虑与不安。
(三)两肺多达十余处磨玻璃结节,如何取舍,如何临床决策才能最符合患者的利益?明确的、有风险的主病灶切除加次要病灶随访以及后续必要时局部干预
基本情况:
患者某C,女性,今年60岁,约1年前检查发现两肺多达15处以上的磨玻璃结节,分布于各个肺叶,其中右上叶最多,左下叶的最明显。而且还做过脑膜瘤手术,还有高血压等慢性病。下面这几处是左侧较为明显的病灶:



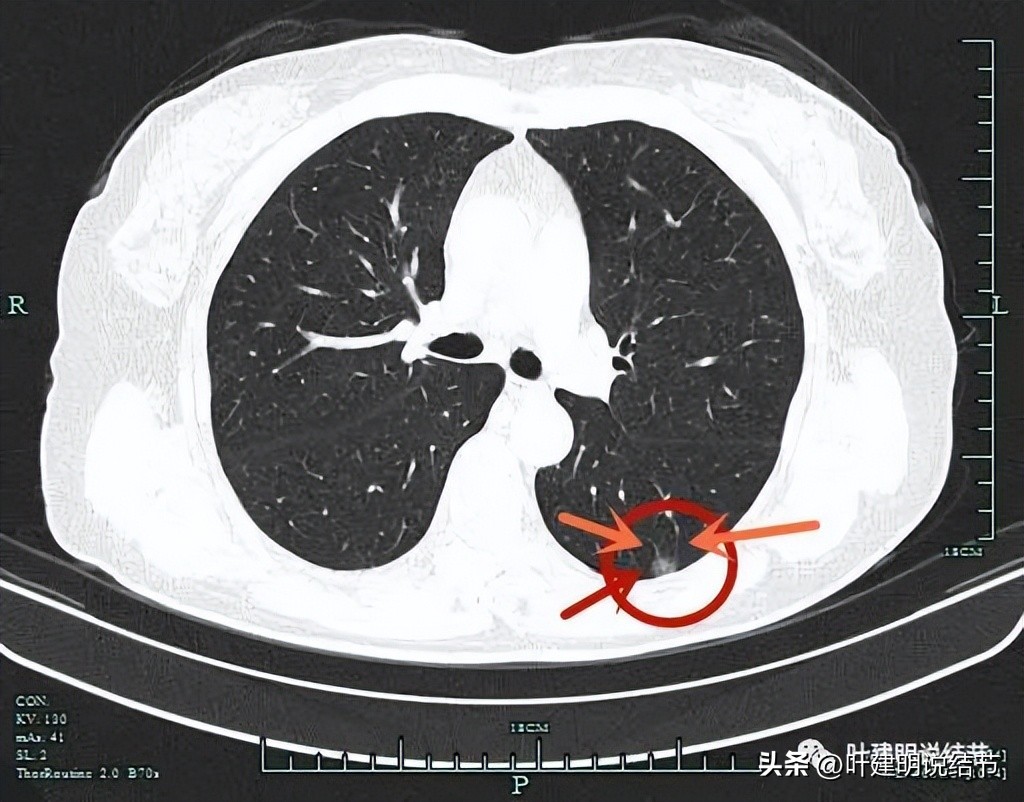
影像特点:
粉色圈起来的左上叶病灶(病灶A)密度低,但轮廓清楚,是肿瘤范畴的结节,但风险小;红色圈起来的左下叶结节(病灶B)虽然密度不太高,实性成分不明显,但它有多支微血管进入,而且紧贴胸膜,是要考虑微浸润性腺癌可能性为大的;蓝色圈起来的左下叶病灶(病灶C)是混合磨玻璃结节,但它的轮廓较为模糊,中间实性成分偏长方形,缺乏膨胀性或收缩力,磨玻璃部分密度过低,恶性的可能性虽有,但不如红色圈起来的病灶那么确定。而且与1年前对比,蓝色圈起来的这个病灶没有明显进展。此灶肉芽肿性炎的概率要高于恶性。
临床思考:
多发结节,有的恶性考虑不典型增生,有的考虑微浸润性腺癌,有的不太确切,可能恶性,也可能肉芽肿或慢性炎,临床如何决策?要不要开刀?开哪个?怎么切?需不需要一网打尽?这些都是非常现实的临床问题。决定治疗前马胜林教授团队进行了细致的分析与讨论,最后的意见是:1、病灶B存在风险需干预;2、病灶A在较为边缘部位,如果病灶B进行手术,则可以一并局部楔形切除;3、病灶C不确切,而且位置不好,太靠中间,而且随访没有明显进展,若为了早期癌的可能,仅仅是可能性而已,予以肺叶切除,虽然同时解决了病灶B与病灶C,但对于其两肺其他部位仍有这么多磨玻璃结节来讲,绝非最优方案。因为其余病灶仍可能进展,并达不到一劳永逸;4、如果病灶B先进行楔形切除,则病灶C在随访后真若进展,从而更为确定是恶性,且有较高风险,需要干预时,仍可以通过外科手段切除。
最后结果:
经过与患者及家属的充分沟通,最后选择由叶建明主任主刀,为其进行了“单孔胸腔镜下左肺下叶部分切除加左上叶部分切除术”。术后没有放置胸管,大大减轻术后疼痛,也极利于术后咳嗽与呼吸锻炼,术后2、3就可顺利出院。术后病理结果为左上叶原位腺癌,左下叶微浸润性腺癌。术后3天顺利出院。
感悟:
多原发癌是目前肺结节诊疗中的热点与难点问题,也是肺结节诊疗中最为混乱与意见不一致的领域。指南的表述过于笼统,缺乏可操作性,而不同医生的理念大相径庭,有主张抓大放小的,也有主张一网打尽的,更有靶向治疗或免疫治疗用于多原发癌的。但临床最常见的多原发肺癌,多是表现为磨玻璃密度的,实性的相对少见,而且异质性较大。而我们知道以磨玻璃为表现的早期肺癌,相对惰性、发展慢、风险低,有很宽的观察窗口期。如何做到去除对生命有威胁的病灶,又能最大程度保护肺功能,保证术后的生活质量,这也是非常值得大家思考的问题。
总结: 通过上述病例的分析与分享,我们其实可以了解到:肺癌的临床诊疗是个极期复杂的过程,机械的流水线式的治疗方案越来越不适应疾病谱的变化与临床实践的发展, 经过多学科合作讨论的制定个体的、个性化的、基于病人利弊权衡的诊疗方案才是最优的。 我们在肺癌诊治领域,已经提倡了多年的个体化治疗。但学术会议上讲的主要是基因检测、靶向治疗、免疫检查点检测后免疫治疗以及不同的新辅助治疗及依据不同病理分期的术后辅助治疗。但我觉得 要做到真正的个体化并不单是新理论、新治疗方法或新手术方式的改进,而是贯通于影像病理诊断到术后辅助治疗整个过程之中的一系列选择题:不断选择、权衡和取舍的过程! 绝对不可能检查结果相同给一样的处理就已经是所谓的个体化。






肺癌个体化治疗是一个从检查发现,到手术选择,再到术后辅助治疗以及随访的全过程管理,这也是一个不断做选择题的过程。 如果机体以及所患的疾病是出题的“老师”,医生就是答题的“学生”,有没有做到个体化的治疗、有没有给患者最优的方案,就是考试的“分数”。也许这张试卷医生永远达不到满分,因为不管选A或者选B都不能100%保证正确,但医生应该竭尽全力获得更高的分数,做出最有利于患者的选择,真正做到肺癌个体化诊疗!
我们的理念:
坚持“影像病理特征分析、优化临床思路决策”;
践行“肺结节治疗新视角,以风险大小决定临床干预时机”;
反对“过度诊疗、过度手术”;
做到“开该开的刀,不忽悠”。
我们强调:
肺结节随访策略:不焦虑、不放任、长关注、适干预;
多发肺结节处理策略:与魔共舞、有限躺平、重点打击。
马胜林医生工作室介绍:
工作室由国内著名肿瘤学专家 马胜林教授 领衔,专注于中晚期恶性肿瘤疑难病例的综合诊治,严格遵循肿瘤规范化治疗原则,密切追踪现代肿瘤治疗的最新理念,将微创手术、精准放疗、化疗、免疫靶向治疗、热疗、介入治疗、生物治疗及中医药增效减毒等技术有机融合,已形成国内领先的肿瘤多学科综合诊治模式。工作室注重临床与科研的紧密结合,围绕肿瘤诊断和治疗的临床问题开展了众多科学研究,承担了国自然、省部级及市级科研项目20余项,获省部级科研奖项10余项,部分研究成果被NCCN指南收录。团队成员先后赴美国、英国、西班牙、日本等地访问和学习交流,多次在ASCO、ASTRO、WCLC、ESMO、CSCO等国际国内大型学术会议作口头发言及壁报交流。多名专家在国内肿瘤相关专业委员会兼任主委、副主委、常委和委员等职务,包括中华医学会、中国临床肿瘤学会、中国抗癌协会、浙江省医学会、浙江省抗癌协会、浙江医师协会等。
多学科疑难病例讨论(MDT):每周三下午
“肿瘤综合治疗门诊”、“肺癌诊疗一体化门诊”:每周二下午

(此处已添加医疗卡片,请到*今条头日**客户端查看)