2021年5月口腔科接诊了一位年轻的外伤患者,随即因疫情及患者工作原因,开始了近两年的“合作”!
患 者 情 况
- 患者:朱某某,男性,27岁
- 主诉:双侧上前牙外伤一日,要求种植修复
- 现病史:患者一日前因外伤致双侧上前牙折断,无法进食,现来院要求修复。
- 既往史:患者自述体健,否认高血压、糖尿病、心脏病等系统病史,无药物过敏史,无吸烟史。
术前检查
- 口外检查:
*面部基本对称,无明显肿胀;
*颞下颌关节无弹响,开口型因瘢痕挛缩向左侧偏斜,无张口受限;
*中位笑线。
- 口内检查:
*口腔卫生情况一般;
*11、21冠根折,腭侧折断线大于龈下3mm;
*12切1/2冠折,露髓;
*13切角折断,未露髓。
术前设计
*11、21即拔即种➕延期修复
*12根管治疗➕冠修复
就诊过程
第一步:术前拔牙
2021年5月19日进行11、21拔除术!牙根粗大且较长致使拔牙窝也较为粗大,即刻种植时容易因为唇侧阻力小而导致植体偏向唇侧以致种植骨量不足导致即刻种植失败!因时间问题,推迟两天种植!

第二步:种植一期手术
2021年5月21日,于局部浸润麻醉下进行11、21即刻种植➕跳跃间隙植骨术!术后CBCT显示:唇侧骨量充足,植体位置良好!但因为植体初期稳定性不足,所以没有给患者进行即刻修复(术后即刻临时义齿戴入)!

第三步:种植体支持式临时义齿制作及试戴
2022年1月14日,术后八个月就诊,中途因为疫情原因复诊时间延迟!CBCT显示:植体周围骨量充足,未发现骨吸收!制作临时义齿!

第四步:个性化取模制作永久修复体
2023年2月,由于患者工作性质原因,在佩戴临时义齿一年后前来复查!图为临时义齿塑型完成。因牙龈塑型的需要,12的牙体修复在11进行永久修复后再完成!

图中展示,患者穿龈轮廓及牙龈塑型良好

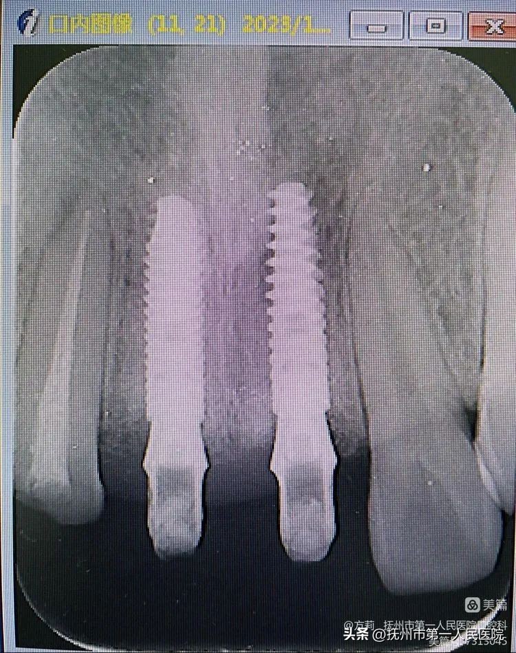
患者术后20个月根尖片影像显示:11、21无明显骨嵴吸收!

进行临时义齿个性化取模,准备制作永久修复体!

第五步:永久修复体试戴完成
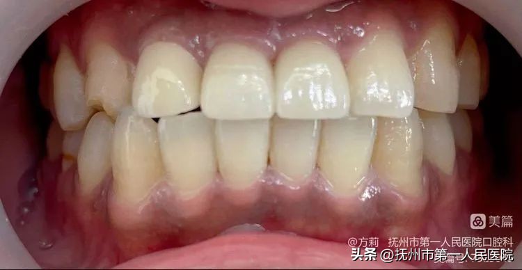
2023年4月,12、11、21永久修复体试戴完成!图为患者口内唇侧观!

患者口内侧面观!

患者口内腭侧照!植体实现了腭侧穿出位,形成良好的穿龈轮廓,且减少了侧向力,利于种植体的长期稳定性!

患者口内切缘观显示:11、21根面突度恢复良好,一定程度上实现了轮廓美学!

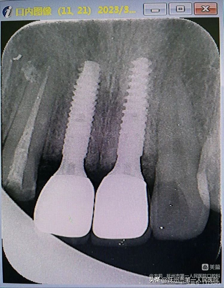
戴牙术后影像显示:基台与植体之间,牙冠与基台之间均衔接紧密,完全就位!

初诊基本情况
患者种牙前及修复后微笑时效果对比图!

图为患者的种植专科病历,口腔科借鉴广州中山大学附属光华口腔医院的病历整理模式,为每一位种植患者制作专科病历,病历内容涵盖了个人资料登记、种植手术同意书、种植手术报告、植入物标签粘贴区、种植手术安全核查表、修复治疗记录等!详细的专科病历资料可为每一位种植患者的治疗及后续维护保驾护航!


来源:口腔科 方莉
整理编辑:*党**委宣传科