专家简介:王波,上海长征医院骨科医院关节外科副主任医师,副教授 。在上海长征医院关节外科长期从事关节外科专业,主要研究方向为股骨头坏死保头治疗、髋膝微创关节置换及人工关节置换感染与松动。在人工关节外科,关节矫形及股骨头坏死保头治疗方面积累了丰富的临床经验,建立股骨头缺血性坏死“长征分型”。同时擅长于高度脱位先天性髋关节发育不良、严重膝关节畸形等复杂初次人工关节置换及髋关节翻修等复杂手术。
姜女士今年36岁,2年前出现髋部酸胀不适,长时间站立或行走后加重,自行采用中药调理。近一段时间症状加重,大腿骨疼痛,已经影响行走和日常生活,她拄着拐杖去医院就诊,被诊断为成人髋关节发育不良,并发骨关节炎。
1、什么是成人髋关节发育不良(DHH)?
髋关节是由髋臼和股骨头构成的,髋臼相当于一个“碗”,股骨头相当于一个“球”,它们表面都覆盖有一层光滑耐磨的软骨,整个关节被关节囊包裹在一个密闭的空间内。日常活动中,这个“碗”将“球”包裹住,使它不会跑出去,而“球”在“碗”的包裹下,可以做各个方向的旋转。

髋关节发育不良的患者,髋臼这个“碗”发育得没那么好,表现为这个“碗”不够深,有些发育得特别差的,这个“碗”甚至变成了“盘子”。所以,“碗”变浅了,对“球”的包容性必然会降低,“球”就有向“碗”外面跑的趋势。
另外,“碗”变浅了,它和“球”的有效接触面积必然就减小了,在支撑起同样身体重量的情况下,髋关节发育不良患者髋臼与股骨头接触的地方压强就变大了,髋关节的软骨磨损得也就更快了,因此常继发髋关节骨性关节炎。

2、成人髋关节发育不良(DDH)的症状有哪些?
许多患者在儿童时期就会出现臀纹不对称,轻度跛行的现象,但有时容易被家长忽略,随着年龄的增长逐渐出现脱位,往往到中青年时期继发髋关节骨性关节炎。成人髋关节发育不良是骨科常见疾病,发病率为1%~10%,多见于女性(男女比例为1:5),大多数在25~40岁之间出现症状。
早期的表现为髋关节的疲劳、酸胀、隐痛,出现这些症状的部位可以是在大腿根,也可以是大腿前方或臀部。当疾病进展时,关节疼痛加重,并出现跛行、静止时疼痛。由于股骨头向外上方移位,患肢变短。随着骨性关节炎的加重,关节的活动也逐渐受限。
3、需要做什么检查?
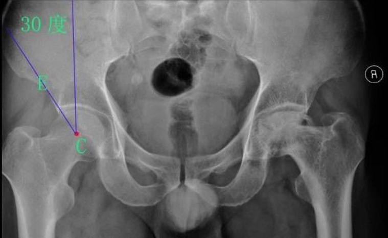
在正位X线片上,髋白发育不良主要表现为髋白发育浅小或浅平,股骨头的负重侧间隙增宽,并继发骨性关节炎。髋关节正位、蛙位X线片是了解与判断髋关节发育不良程度的最基础的影像学检查。
髋关节CT检查有利于分析髋臼形态、判断髋臼缺损及增生情况,可为术式选择、评估假体型号和安装位置等提供帮助。MRI检查有助于发现关节盂唇损伤、关节囊改变及骨内信号改变等。


4、如何治疗?
早期没有明显症状的髋白不良的患者首选保守治疗,严格控制体重,减少关节的负重、避免体力劳动和剧烈运动,加强髋周肌肉的训练增加关节稳定性,口服镇痛药物,外用膏药,热敷等,可以暂时缓解疼痛,可以延缓疾病的进展。
对于有明显疼痛症状、轻度半脱位,股骨头变形不显著,关节间隙基本正常,年龄小于45岁的患者,可采取手术治疗,增加髋臼覆盖、延缓骨性关节炎的发生,目前常用的术式是髋臼加盖手术或髋关节周围截骨手术。

严重的高脱位患者通常会出现明显的双下肢不等长,如果还没有出现明显的疼痛症状建议通过加鞋垫或订制支具的方法调整双下肢长度至等长,以避免长期跛行导致的腰椎或膝关节疼痛等并发症。
髋臼发育不良晚期,常常同时伴有严重的骨性关节炎,关节软骨大部分已经破坏殆尽,髋臼和股骨头的骨质增生,关节间隙变窄甚至消失。患者疼痛剧烈,举步维艰,此时首选人工全髋关节置换术,缓解疼痛,恢复关节活动功能。