孩子满口“蛀牙”,治疗次数多、难度大,年龄小很难配合,成为不少家长的困扰。近日,南阳城区的李女士就遭遇这样的烦心事儿。
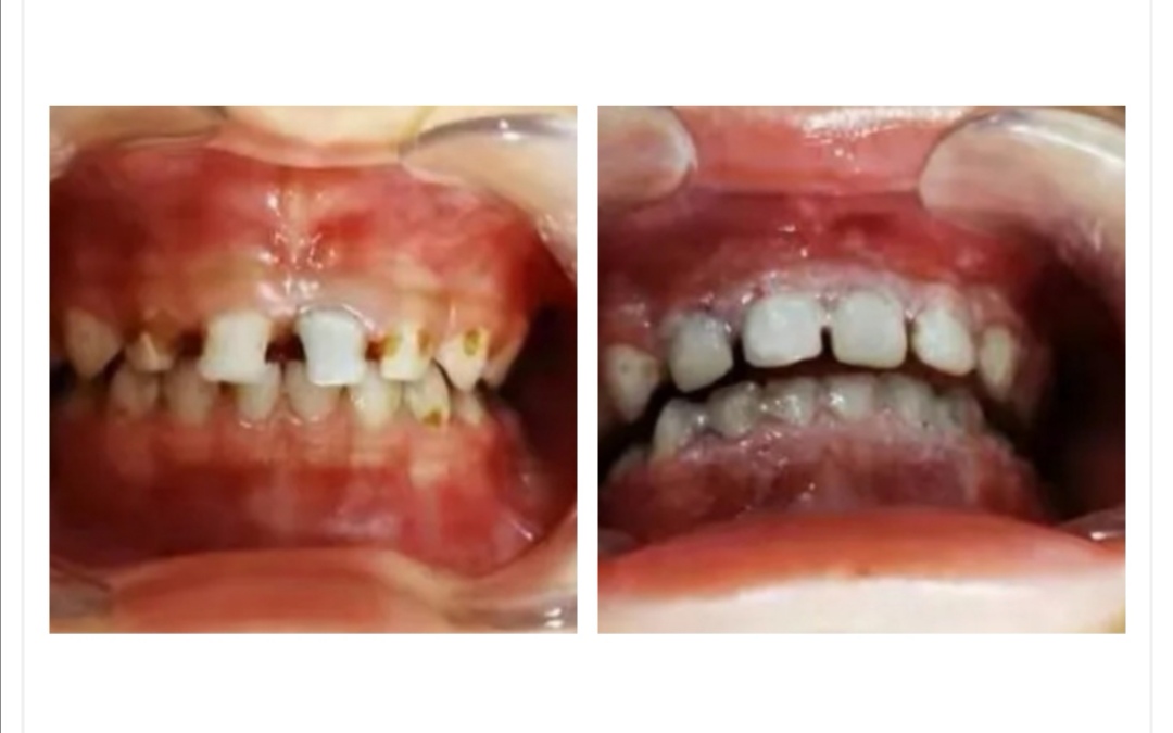
据李女士讲,前段时间她家孩子帆帆一吃饭就开始哭闹,喊着牙疼,原本想着孩子早晚要换牙,忍忍扛过去。谁知越来越严重,这才带孩子到南阳市口腔医院检查,一查吓一跳,竟有11颗坏牙。

孩子一听到“滋滋滋”的钻牙声就哭,无论家长怎么沟通,医生护士怎么哄都没用,先不提治疗难度,光是让孩子配合都够呛。如果直接强制治疗,又怕对孩子心理造成影响。
“由于坏牙数量多且病变较深,一次治疗无法解决所有牙齿问题。在门诊把全部坏牙看完大概需要三个月。”该院儿童口腔一科主任庞爽说,“要想节约时间,一次治疗所有蛀牙,可以采用全麻下儿童口腔舒适化治疗。”听到可以一次治完,李女士很开心,但是要全麻,她很担心安全问题。但是拖延不管的话,孩子口腔问题越来越严重,又怕影响孩子生长发育。李女士犯了愁。

“很多人对全麻有误解。其实口腔治疗的吸入全麻与手术全麻是有区别的。口腔治疗吸入麻醉用药少、起效快、复苏快、副作用极小,不留后遗症,不需住院。对儿童实施全麻下无痛口腔治疗技术也非常成熟。”庞爽主任告诉李女士。
和家人商量后,李女士最终为帆帆选定了相对舒适、高效,又不留下任何“心理阴影”的治疗方法--全麻下儿童口腔舒适化治疗。
“帆帆,阿姨送你一个奥特曼玩具!一会儿我们和奥特曼一起去打怪兽!等你睡醒,我们的牙齿就变好了!”庞爽对帆帆说。经过系统检查,有麻醉专家护航,庞爽主任和助手奋战近2小时,患儿的11颗蛀牙被全部清理、修补完毕,并且对牙齿进行涂氟和窝沟封闭,穿一层“防护衣”。
“虽然帆帆龋齿比较多,但是经过这次修补治疗,可以正常进食,不影响他以后正常恒牙萌出。不需要再跑第二趟了,只需每隔一段时间复查一次。”庞爽说,“家长在关注孩子身体健康的同时,莫忘孩子的口腔健康。从孩子出生后,家长就该用软纱布或软毛牙刷为婴幼儿清洁口腔。 孩子学习刷牙时,应予以帮助和监督。帮助孩子戒除吮指、咬下唇、吐舌、口呼吸等口腔不良习惯。乳牙龋病应及时治疗,适龄儿童进行窝沟封闭和氟化物防龋。除此之外,家长还应定期带孩子到医院接受口腔检查,做到早发现,早治疗。”
南阳广播电视台 宋相勋 南阳市口腔医院 高艳红