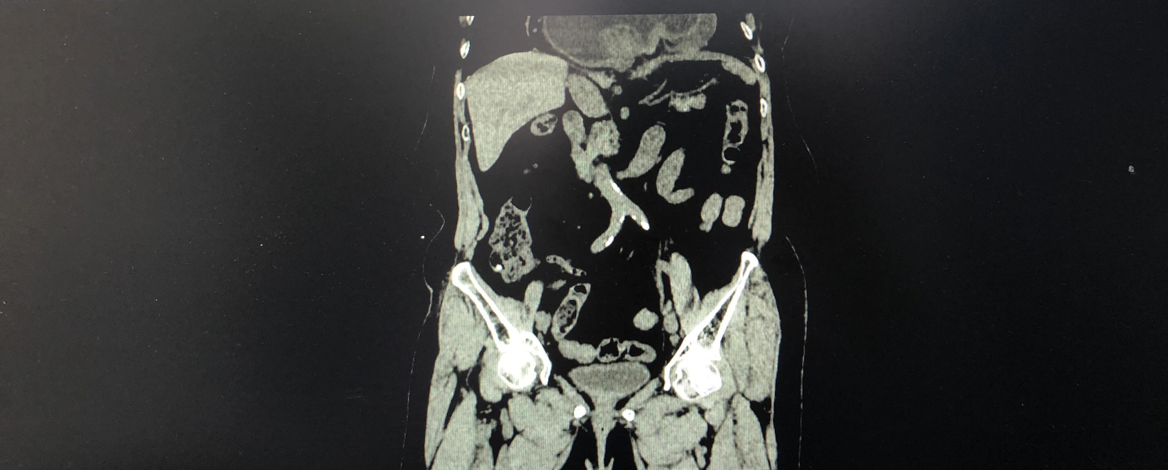
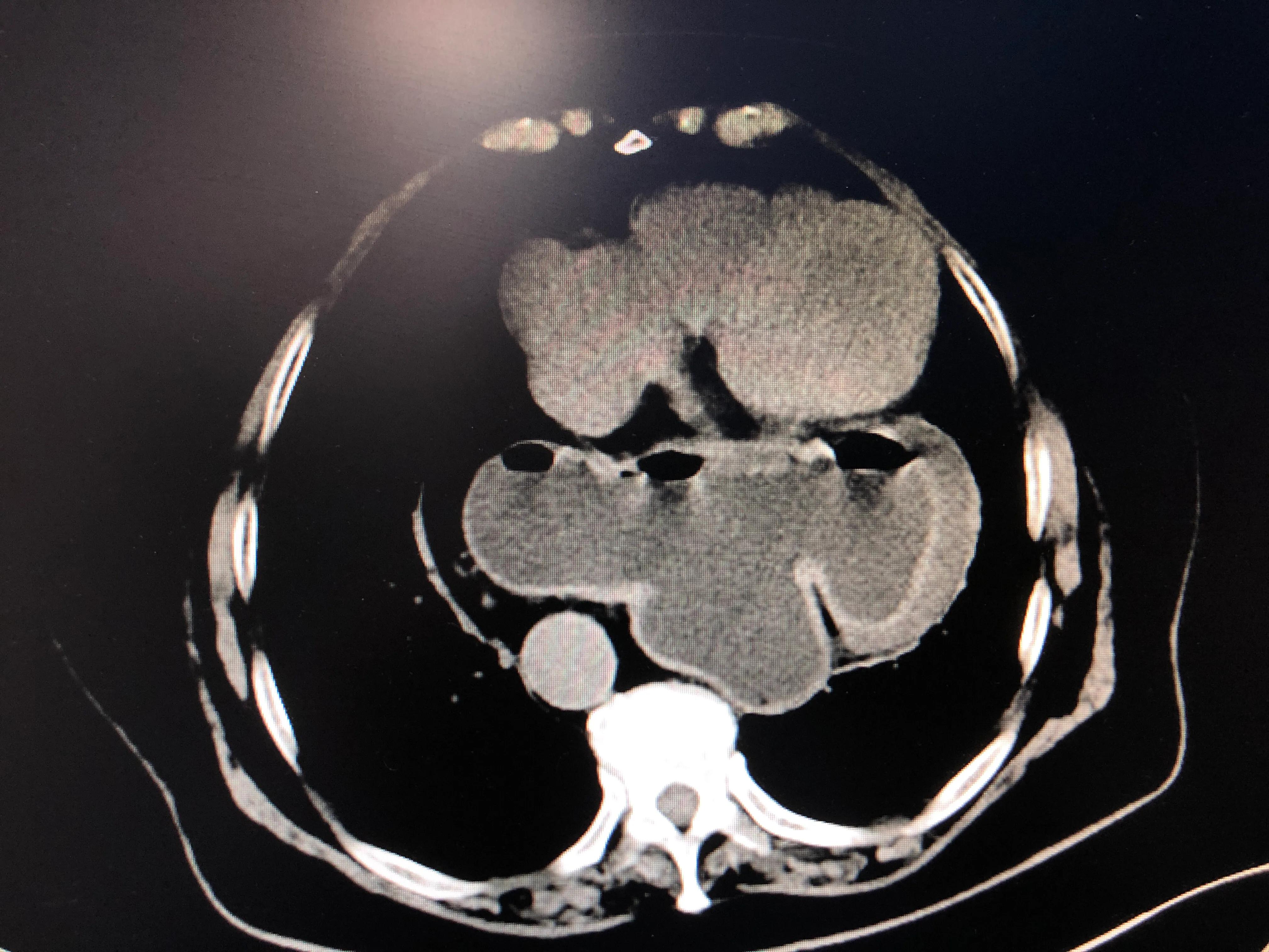
77岁的张女士喘憋不适逐渐加重,CT发现大部分的胃跑到胸腔去,压迫肺脏及心脏,如下图:


该病诊断食管裂孔疝。
巨大食管裂孔疝患者,贫血,胃扭转,出口梗阻,呕吐,无法正常进食,活动后就喘,胸疼,生活质量差,离不开人,你说这样的老人只能让人揪心,而且症状逐渐加重,贫血,营养不良相继出现,也会消耗着生命没有质量的生生活下去,令人痛心。这些症状是无解的,只有微创手术纠正他的异常解剖位置才会有好转。
该患者血红蛋白77g,中度贫血。反复打听找到潍坊市人民医院胃肠外科孙作成主任医师。
巨大食管裂孔疝,超过1/3的胃,甚至全部胃+结肠等进入胸腔,到达如此程度的都是老年人,因为发展到这种地步需要时间,同时疝的年龄也大,需要10年20年的进展;高龄的老人一般都同时患有慢性病,心功能,肺功能状态不佳等。
巨大食管裂孔疝进入胸腔主要就是占了心脏和肺的地盘( 打个比方: 本来一人一个房间的胸腔,来了一个陌生的胖大胃挤他们的空间,心脏和肺脏被挤压受伤)也就是说,有一部分心肺症状其实是巨大食管裂孔疝引发的,只有做了手术才能缓解( 小提示: 这种情况下不做手术是无解的噢)。

胃肠外科孙作成主任医师为患者制定详细治疗方案,在熟练解剖情况下,完成微创治疗,还原胃的解剖位置,修补食管裂孔巨大缺损,并进行Nissen胃底折叠术(360度经腹胃底折叠术)

腹部仅存5个钥匙孔大小切口。避免了开胸手术。患者术后恢复正常饮食喘憋情况迅速缓解。
