有任何疑问、批评及指导,请毫不犹豫地私信作者!

马蹄肾(horseshoe kidney,HSK) 是一类常见的先天性肾脏发育异常,由有肾功能的肾实质或纤维组织将左右肾在中线峡部连接起来,呈现马蹄状。虽然大多数马蹄肾在下极融合,但也有5%~10%的是上极融合或双极融合。
HSK是最常见的肾脏融合畸形,在活产儿中的发病率约为1/400;较常见于男性,男女比例为2∶1。
胚胎时期,位于盆腔内的左右两侧的后肾胚基在上升之前相互靠近。当紧密靠近的后肾胚基分离过程被中断时,则可能会导致HSK的形成。影响因素有肾脏血流的异常和胚胎的尾端展开异常等。
连接两个肾的峡部可能位于中线或侧方,导致不对称的马蹄肾,其中70%为左侧优势肾。在80%的病例中峡部由肾实质组成,其余由纤维带组成。在90%以上的病例中,融合发生于下极,但在少数病例中,融合可能发生于上极。
影像表现
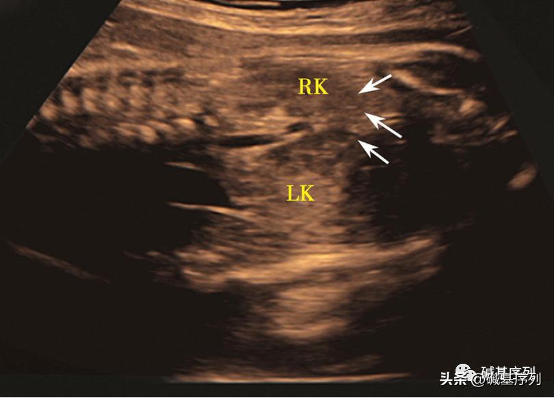
横跨中线连接两侧肾脏下极的区域为马蹄肾的峡部,在超声成像中通过峡部区域获取肾脏的横断切面或冠状切面能很好地诊断出马蹄肾。

马蹄肾超声图示:孕28周,胎儿腹部冠状切面,可见双侧肾脏下极融合位于脊柱前面膀胱上方,呈“U”形(箭头所指)

磁共振:胎儿马蹄肾的MRI表现为:双肾下极在脊柱前方相连,连接部位称为峡部,为肾实质或结缔组织所构成,多位于腹主动脉及下腔静脉之前,腹主动脉分叉之上,常合并肾脏旋转不良。
相关遗传病
尽管马蹄肾有家族聚集性病例,但目前尚无明确的遗传原因。有几种病因可能促进马蹄肾的发生。这些因素有肾源性细胞跨原始条索的异常迁移,宫内环境的改变(沙利度胺、乙醇、ACE*制剂抑**、*卡因可**、庆大霉素、皮质类固醇等致畸药物、饮酒和血糖控制导致发病率增加),以及迁移过程中结构因素(如尾椎屈曲/旋转和动脉分叉变窄)。传统教科书引用融合发生在发育的第4周和第6周之间,尽管有一些证据表明后期的融合,特别是当峡部是纤维而不是肾实质。
马蹄肾与染色体异常有关,如21-三体综合征(~1%)、Turner综合征(15%~35%病例含有马蹄肾)、13-三体综合征、18-三体综合征(67%)和22-三体综合征;也常与其他畸形有相关性:78.9%胎死宫内的马蹄肾胎儿和28.5%的马蹄肾患儿合并其他畸形或综合征性疾病。

约1/3的HSK病例合并其他畸形(如VACTERL联合征:脊椎异常、肛门闭锁,心脏畸形,气管食管瘘,肾脏异常和肢体畸形)和遗传综合征性疾病;同时还有一些与染色体异常有关,如21-三体综合征、Turner综合征(15%~35%病例含有HSK)、13-三体综合征、18-三体综合征和22-三体综合征。
在 Sagi-Dain等(2018) 的研究中,应用CMA技术对88例孤立性HSK胎儿样本进行检测,结果发现1例胎儿含有16p13.11微缺失综合征,致病性检出率为1.2%,与正常人群的致病性微缺失/微重复检出率(1.03%~1.39%)之间无明显的差异。
与马蹄肾相关的 24个基因 ,如下表:

因此,产前确诊为孤立性HSK时,与染色体异常相关性可能较小;而当合并其他系统异常,则需行染色体核型分析和CMA检测以排除染色体异常性疾病,必要时辅以NGS技术。
大部分的HSK病例均为散发,再发风险较低。与染色体异常、微缺失/微重复或综合征相关的病例的再发风险将取决于该疾病的遗传模式。虽然有家族遗传的报道,但没有足够的证据来确定该类异常的遗传模式。当再次妊娠时,建议行详细超声检查排除肾脏异常。
妊娠期处理
定期超声检查排除合并其他泌尿系统(如尿道下裂、重复肾等)和泌尿系统以外的畸形(如心血管系统、胃肠道系统以及骨骼肌肉系统)。因此,孕期应定期超声检查排除合并其他泌尿系统和泌尿系统以外的畸形。HSK的胎儿不是剖宫产的指征,主要采用常规的产科管理。对于马蹄肾者无须外科治疗。
预后
HSK的存在本身并不会对患者的生存产生不利影响,而且很少是导致死亡的原因。HSK新生儿的死亡率和远期预后在很大程度上取决于合并的先天畸形和遗传综合征的存在和预后。孤立性HSK病例的预后良好。但是,与其他肾脏融合畸形一样,反流、尿路感染和尿路结石的发病率升高,所以需要生后随访。尽管HSK没有增加肾脏恶变的风险,但患者好发的肿瘤类型有所不同。在儿童中较倾向于肾母细胞瘤,而在成人中则为移行细胞瘤。