在甲状腺疾病大家族中,如果按患病率高低排序,桥本甲状腺炎无疑是当之无愧的老大。桥本甲状腺炎近年来发病率逐渐升高,而且呈现出低龄化的趋势。
桥本甲状腺炎又称慢性淋巴细胞性甲状腺炎,属于自身免疫甲状腺病。由1912年日本外科医生兼病理学家Hakaru Hashimoto首次报告,并称之为“淋巴细胞性甲状腺肿”

桥本策(1881~1934)
病因
桥本甲状腺炎的发生是由于自身免疫系统产生攻击甲状腺的抗体,部分甲状腺滤泡被破坏,导致甲状腺激素分泌不足,而未被破坏的甲状腺滤泡产生代偿性增生。引起自身免疫的原因有以下几种

细胞免疫
浸润的淋巴细胞有T细胞和B细胞,表达Fas-L。T细胞在甲状腺自身抗原的刺激下释放细胞因子(干扰素IFN-γ、白介素IL-2β、肿瘤坏死因子TNF-α、B淋巴细胞肿瘤-2基因Bcl-2等),后者刺激甲状腺细胞表面Fas的表达。Fas与Fas-L结合导致甲状腺细胞凋亡。
体液免疫
抗甲状腺过氧化物酶抗体可通过抗体依赖性细胞介导的细胞毒作用(ADCC)和补体介导的细胞毒作用破坏甲状腺组织,在本病的发生发展中起重要作用。其他抗体如促甲状腺激素受体抗体(TSHR)也可伤及甲状腺,影响其功能。

伴有其他自身免疫病
如果患类风湿关节炎、艾迪森病、1型糖尿病、系统性红斑狼等,其致病相关的自身免疫因素也可能对甲状腺组织产生免疫攻击。
因素
桥本甲状腺炎是一种多基因遗传疾病,除了有多种基因与发病相关还有很多环境因素与发病相关。
- 辐射
暴露在过量环境辐射的人更容易诱发桥本甲状腺炎。

- 感染
一些细菌或病毒感染可能会诱发桥本甲状腺炎。
- 碘摄入
碘摄入量是影响本病发生发展的重要环境因素,随碘摄入量增加,本病的发病率显著增加,特别是碘摄入量增加可以促进隐性的患者发展为临床甲减。

- 硒缺乏
硒与甲状腺疾病关系密切,硒参与了甲状腺激素的合成、活化和代谢过程,补充硒有助于减低机体血清甲状腺过氧化物酶抗体水平。同时硒的缺乏会影响机体的免疫功能。
症状
本甲状腺炎是常见的自身免疫性甲状腺病。本病的女性发病率是男性的3~5倍,高发于30~50岁。该病有一定家族聚集性,如果家庭成员中有人患病,则其他人患病的风险增加。

本病起病隐匿,发展缓慢,病程较长。疾病早期可无典型临床症状,少数会出现甲状腺毒症表现,进展时会出现甲状腺肿和甲减症状。
桥本甲状腺炎(HT)最典型的临床表现是甲状腺肿大和甲状腺功能减退相关症状。患者在疾病初期常无定状,随着病情进展出现甲状腺无痛性肿大、质韧。

- 颈部肿物
70%的患者因甲状腺肿大而就诊,少数出现压迫症状。压迫气管出现呼吸困难,压迫食管出现吞咽困难,压迫声帯出现声帯麻痹,压迫血管出现面部水肿等
- 甲减症状
20%-30%的HT患者首次就诊即表现为甲减或在疾病后期发展为甲减。
- 低代谢症群
易疲劳、怕冷、体重增加、行动缓。因血循环差和热能生成少,体温可较常人偏低。
- 精神神经系统症状
轻者出现记忆力、计算力、理解力和注意力减退。重者可表现为痴da呆、幻想、木僵、昏睡或惊厥。
- 皮肤改变
颜面虚肿、表情板、鼻唇增厚,毛发干燥稀疏,指甲厚而脆、表面常有裂纹。
- 消化系统病变
食欲减退、便秘等。
- 心血管系统病变
心率减慢、心输出量减少等。
检查
甲状腺功能正常时, 血清甲状腺过氧化物酶抗体(TPOAb)和甲状腺球蛋白抗体(TgAb)滴度显著增高,是具有意义的诊断指标。发生甲状腺功能损害时,可出现亚临床甲减(血清TSH高,TT4、FT4正常)和临床甲减(血清TSH增高,血清TT4、FT4减低)。

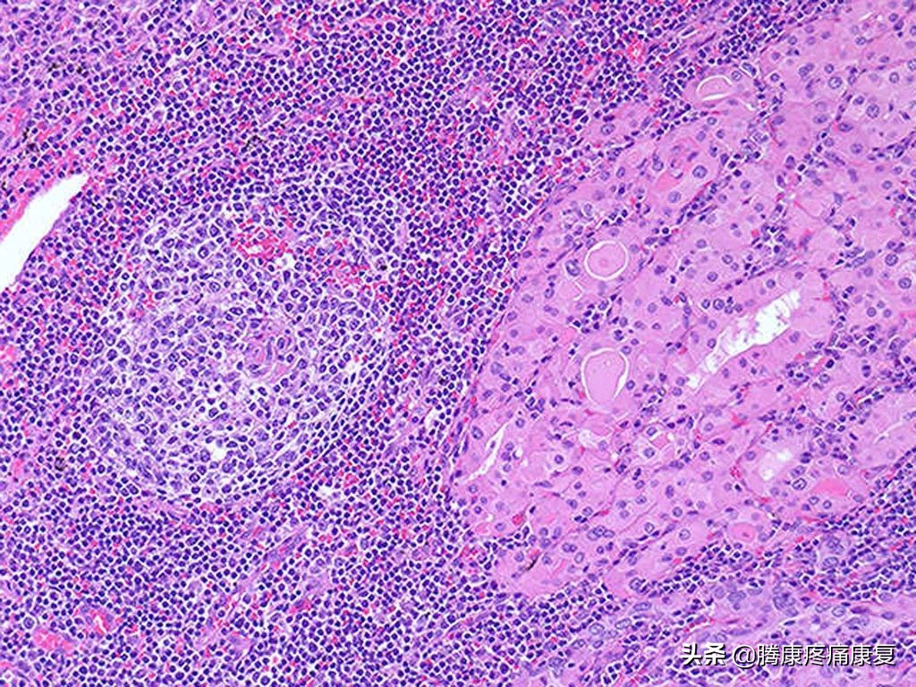
甲状腺细针穿刺病理检查可见,中或大量淋巴细胞浸润,形成滤泡和发生中心。同时还可以使用甲状腺超声检查和甲状腺核素显像辅助检查。
鉴别
因桥本病发病率越来越高,临床相对缺乏警觉导致20%患者遗留永久性甲减,所以凡是弥漫性甲状腺肿大,特别是伴峡部椎体叶肿大,不论甲状腺功能是否有改变,都应怀疑桥本甲状腺炎。如TPOAb和TgAb显著增高,诊断即可成立。同时桥本甲状腺炎需要与Graves病、亚急性甲状腺炎、单纯性甲状腺肿、甲状腺癌相鉴别。
Graves病
Graves病以高代谢综合征、甲状腺肿大、甲状腺相关性眼病(TAO)等为特点,肿大的甲状腺质地较软,可闻及震及血管杂音。甲状腺功能检查除可出现T3、T4升高,TSH降低外,尚可出现TSH受体抗体(TRAb)、甲状腺刺激性抗体(TSAb)、TgAb、 TPOAb阳性,甲状腺摄碘率升高,超声可见甲状腺腺体血流弥漫性分布,血流量明显增多
亚急性甲状腺炎
亚急性甲状腺炎起病急,病前1~3周可有病毒感染史。常出现甲状腺侧叶肿大及自发疼痛与压痛,并伴有发热性疾病的全身症状。血沉(ESR)及C反应蛋白(CRP)浓度均明显升高,但白细胞计数一般正常或轻微升高。血清甲状腺激素浓度升高但甲状腺摄碘率降低,呈双向分离现象。细针穿刺细胞学检查显示多核巨细胞和其他炎症细胞。超声检查显示其特征性影像。

单纯性甲状腺肿
这类疾病的甲状腺肿较柔软,甲状腺自身抗体阴性,甲状腺功能正常。
甲状腺癌
如果患者甲状腺肿块质硬、固定,颈淋巴结肿大,有压迫症状,或存在多年的甲状腺肿块,在短期内迅速增大,应怀疑为甲状腺。细针穿刺细胞学检查有助于鉴别。
治疗
总体而言,由于该病发展缓慢,通常无需治疗,是否治疗取决于甲状腺功能状态和甲状腺肿的程度。日常应当定期检查甲状腺功能,必要时可进行甲状腺超声检查,医生根据检查情况判断是否需要服药或者调整药量,患者不可自行调整用药。要注意补充硒。多吃蛋类、瘦肉、大蒜、玉米、虾仁。少食用海带、紫菜等高碘食物,但并非无碘饮食,要保持饮食中的碘在正常范围内(尿碘100~200μg/L),这样有助于阻止甲状腺自身免疫破坏进展。甲状腺肿者应避免穿领口紧束感的衣服。甲减患者应注意保暖。

- 滕卫平.内科学第八版[M].北京:人民卫生出版社,2017.697-698.
- Sawin CT. The heritage of Dr. Hakaru Hashimoto (1881-1934). Endocrine Journal 2002;49:399-403.
- https://www.mayoclinic.org/diseases-conditions/hashimotos-3disease/symptoms-causes/syc-20351855
- https://www.niddk.nih.gov/health-information/endocrine-diseases/hashimotos-disease
- https://www.mayoclinic.org/diseases-conditions/hashimotos-disease/symptoms-causes/syc-20351855