小王:小今医生,那我的智齿难拔吗?
小今医生:具体情况需要先拍个片子。
小今医生温馨提示:拔智齿前需要拍片子
①如果想看整体情况,则拍摄曲面体层片,简称曲断(❤费用一般在百元左右,属于医保范围),它能看到全口的牙齿(包括上下左右四颗智齿);
②如果拍单颗牙,则拍摄根尖片(❤费用一般数十元,单张属于医保范围)。
③如果x线片显示智齿与下颌神经管关系密切,需要拍CBCT(❤费用一般在数百元,属于医保范围,只有部分医院有)明确牙根与神经管的关系。如果CBCT显示牙根就在神经管内,那你可要慎重考虑了,执意要拔,后果可是要自己承担的哟~

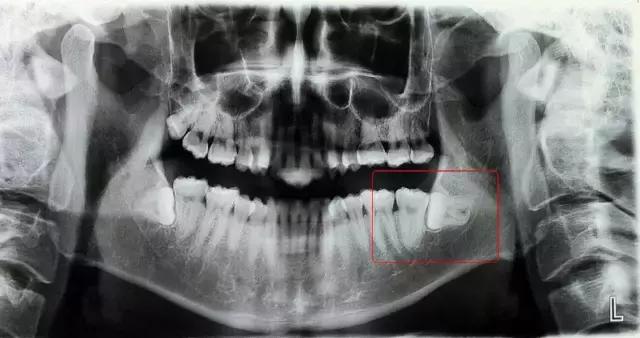
小王:小今医生,片子拍完了,我的牙长得好奇怪呀!
小今医生: 不奇怪,智齿一般都会长歪,你这个是完全横着长的, 叫高位水平阻生,属于相对比较难拔的。拔除需要把牙龈切开,去少量骨,是个小手术哟~
小今医生温馨提示:拔智齿的时间和费用
阻生齿可以粗略分为以下几类:垂直阻生、近中阻生、水平阻生;高位、中位、低位;拔除难度一般成递进关系。

拔牙时间因手术难度和操作医生水平而异,并不是拔得快就一定是医生水平高哟,有时5分钟拔完可能是相对简单的阻生牙,有时30分钟拔完可能是遇上了复杂的牙和技术高超的医生哟~
❤时间:单颗阻生牙拔除的操作时间在15分钟~1小时以上;
❤费用:单颗阻生牙的拔除费用数百元到数千元左右不等,仅部分属于医保范围。
本头条号专注口腔科普,通过科普小文回答你的各种口腔问题,轻松有趣接地气,欢迎关注!