点击「神经介入在线」可快速关注
作者 | 郑全乐
单位 | 廊坊爱德堡医院脑科中心
病例详情
患者,男,57岁,主因“反复头晕15天、加重伴双下肢无力、记忆力减退1周”入院。15天前无明显诱因出现头晕,伴有视物旋转,持续约15分钟后症状缓解。1周前患者头晕症状加重,并出现双下肢麻木无力,记忆力减退,反应迟钝,以近事遗忘为主,伴有饮水呛咳等症状。
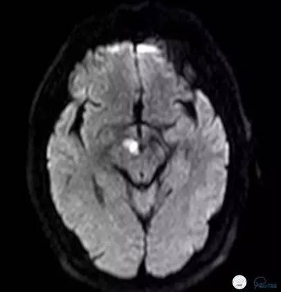
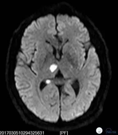
就诊于外院查头颅核磁DWI+MRA(图1-2):中脑右侧及右侧丘脑新鲜脑梗死,椎基底动脉及双侧大脑后动脉未见显影。住院予波立维、拜阿司匹林抗血小板聚集、立普妥降脂治疗后症状无好转,病情逐渐加重。为进一步行血管内治疗来我院。

图1

图2
既往史:有高血压病史10年,口服缬沙坦等降压药物治疗,具体剂量不详,未规律监测血压。有糖尿病病史2年,口服二甲双胍控制血糖,具体血糖值不详。9年前患有脑梗塞病史,已治愈,无后遗症。
入院查体:轮椅推入病房,反应迟钝,记忆力差,饮水呛咳,双下肢肌力约为Ⅳ级,感觉减退,肌张力增高,右侧Babinski征阳性,左侧Babinski征阴性。
入院后给予双联抗血小板(拜阿司匹林100mg 1次/日+波立维 75mg 1次/日)、降脂(立普妥 20mg 1次/日)、控制血糖及降压等治疗。
血栓弹力图:AA 96.9%,ADP 25.6%。
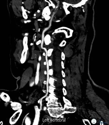
头颈部CTA(图3-6):双侧椎动脉远端及基底动脉近端混合斑块、管腔中-重度狭窄,双侧大脑后动脉纤细。

图3

图4

图5

图6
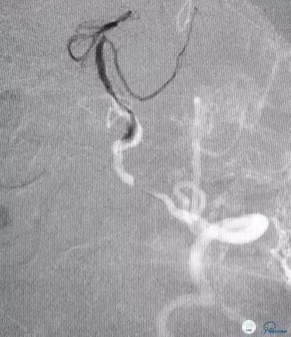
术前DSA(图7-8):右侧椎动脉颅外段纤细,非优势供血,颅内段以远未见显影;左侧椎动脉颅内段PICA动脉以远次全闭塞(狭窄率约为95%以上),基底动脉缓慢浅淡显影,双侧大脑后动脉未见显影。左侧前循环通过后交通动脉向后循环部分区域代偿供血。

图7

图8
诊断:
1. 左侧椎动脉颅内段次全闭塞
2. 右侧椎动脉颅内段闭塞。
术前讨论
1. 患者左侧椎动脉优势,V4段重度狭窄,在口服双抗治疗下临床症状无好转,并且逐渐加重,考虑药物治疗效果欠佳,为进展性脑卒中,有血管内介入治疗指征。
2. 造影提示入路迂曲,左侧椎动脉V4段次全闭塞,导丝通过狭窄段有可能造成急性闭塞,故术中使用长交换导丝(0.014*300cm)。
3. 治疗风险:穿支闭塞,高灌注出血,动脉硬化支架释放困难,支架内急性或亚急性血栓形成等。
治疗过程
全麻下导引导管进入左侧椎动脉,Transend(0.014″300cm)微导丝带微导管(Headway17)通过左侧椎动脉狭窄处,造影见远端分支显影良好,证实真腔(图9)。

图9
交换一球囊(INVA Tec2.0*10mm)狭窄段预扩张(图10)。

图10
再将一枚支架(Apollo 2.75*18mm)置于闭塞段释放。造影见支架贴壁良好,左侧椎动脉颅内段狭窄处残余狭窄小于10%,左侧椎动脉远端、基底动脉、双侧大脑后动脉及其分支均显影良好,血流通畅,前向血流TICI3级(图11-13)。

图11

图12

图13
术后给于抗血小板、抗凝、降脂等规范药物治疗。术后24小时复查头颅CT(图14-15):未见出血。

图14

图15
治疗1周后患者神清,语利、四肢活动正常,痊愈后出院(图16)。

图16
总结
1. 右侧椎动脉纤细,颅内段闭塞;左侧椎动脉颅内段次全闭塞,为优势供血动脉,故选择开通左侧椎动脉。
2. 小卒中,大问题,进展性卒中,如继续发展随时可能左侧椎动脉急性闭塞造成严重后果,认真评估,早期血管内治疗病人可能获益更大。
3. MRA和CTA对于血管的评估有时会夸大,尤其是对于重度狭窄或次全闭塞的病例,本例患者处置积极,否则可能错过了治疗机会!
4. 伴有新鲜脑梗死的病例血管内治疗的最佳时间有争议,但是在充分评估后,尽早积极治疗患者获益可能更大,如对闭塞再通的病例,病情可能持续加重,且闭塞时间延长可能失去血管内治疗的机会!