

肩关节周围的滑囊:
(1)肩峰下 - 三角肌下滑囊,
(2)肩胛下肌上隐窝(滑囊),
(3)喙突下滑囊,
(4)喙锁滑囊,
(5)肩峰上滑囊,
(6)肩峰下 - 三角肌下滑囊内侧延伸。
详解图片:
图1:肩峰下 - 三角肌下滑囊(subacromial-subdeltoid bursa)



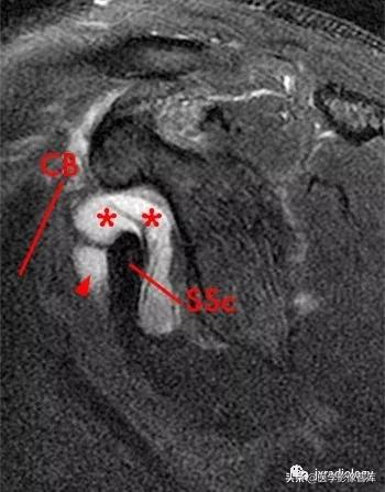
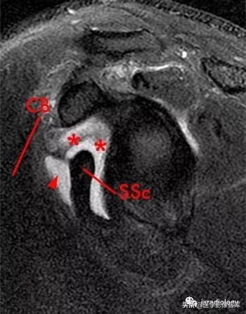
图2: 肩胛下肌上隐窝 (滑囊)( superior subscapularis recess)和
喙突下滑囊(subcoracoid bursa)

SSR(superior subscapularis recess):肩胛下肌上隐窝;
subcoracoid bursa:喙突下滑囊

SS:superior subscapularis :肩胛下肌上隐窝(*);
SC:subcoracoid bursa:喙突下滑囊

星号:superior subscapularis recess:肩胛下肌上隐窝
箭头:subcoracoid bursa:喙突下滑囊
SSc:肩胛下肌腱

星号:superior subscapularis recess:肩胛下肌上隐窝
箭头:subcoracoid bursa:喙突下滑囊
小箭:middle glenohumeral ligament :盂肱中韧带
SSc:肩胛下肌腱

星号:superior subscapularis recess:肩胛下肌上隐窝
箭头:subcoracoid bursa:喙突下滑囊


星号:superior subscapularis recess:肩胛下肌上隐窝
箭头:subcoracoid bursa:喙突下滑囊
CB:喙肱肌和肌腱
SSc:肩胛下肌腱

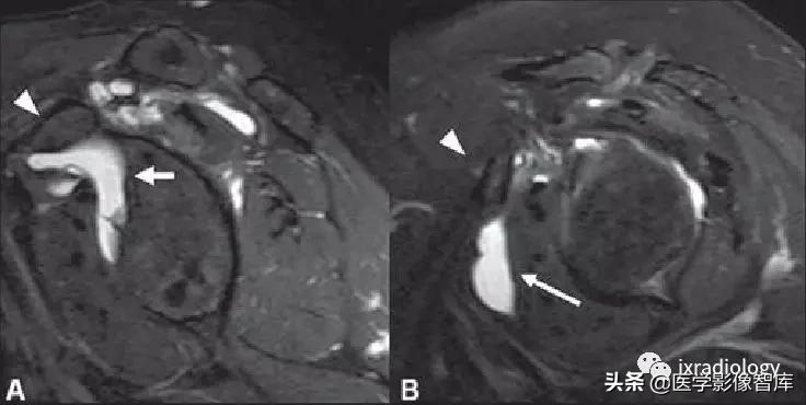
A图:(superior subscapularis recess):肩胛下肌上隐窝
B图:subcoracoid bursa:喙突下滑囊

箭头:subcoracoid bursa:喙突下滑囊积液
箭:退变和内侧脱位的肱二头肌长头肌腱
图3:喙锁滑囊(coracoclavicular bursa)

subacromial/subdeltoid (SbA/SD):肩峰下/三角肌下滑囊(SbA/SD),
subscapularis (SS):肩胛下肌上隐窝
subcoracoid (SC):喙突下滑囊
coracoclavicular (CC): 喙锁滑囊
supra-acromial (SpA): 肩峰上滑囊
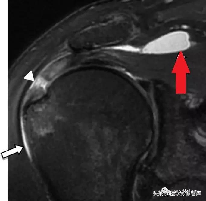
图4:肩峰下 - 三角肌下滑囊内侧延伸

红箭:肩峰下 - 三角肌下滑囊内侧延伸
箭头:冈上肌肌腱撕裂
白箭:肩峰下 - 三角肌下滑囊
参考文献:
1、DOI: 10.4103/2156-7514.80374;
2、DOI: 10.1055/s-0034-1384832
3、DOI: 10.1148/rg.313105507 ·
4、Pamela H. Burdett, M.D.Subcoracoid Bursa,MRI Web Clinic — April 2015
来源:jxradiology