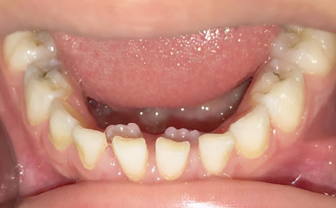
今年6岁的豆豆开始换牙了
可是乳牙还没掉
恒牙就已经长出来了
于是家长赶紧带着他来拔牙

苏州科技城医院口腔科医生检查发现他的乳牙还未松动
于是打了麻药后把乳牙拔了

宝宝从6个月开始长牙
到2岁半左右共有20颗牙
等到6岁左右就要开始换牙了
而小朋友换牙,一般都是按照
切牙→第一磨牙→双尖牙→第二磨牙
这样的顺序来的

切牙顾名思义用来切割食物
尖牙用来撕裂食物
磨牙用来磨碎食物
口腔科副主任胡永说
口腔健康的标准是
1、牙齿清洁
2、没有龋洞
3、没有疼痛感觉
4、牙龈颜色正常
5、牙龈没有出血

现在很多小朋友因为饮食习惯等
多半都有龋齿
那龋齿是怎么形成的呢?
简单来说
糖+细菌=酸
酸+牙齿=龋齿
而一旦形成龋齿
就无法靠牙齿自己恢复了

因此,家长一定要督促小朋友
养成良好的饮食习惯
少吃

零食、饮料、甜食等
零食:粘附在牙齿上不易清洁导致蛀牙
饮 料:酸酸甜甜很好喝,因为含有糖和酸,导致蛀牙和酸蚀症
多吃

粗纤维食物
增强咀嚼功能
自洁作用
抗龋能力
选择儿童保健牙刷及儿童含氟牙膏
每天正确刷牙
也是保护牙齿的关键
首先,要做的早晚刷牙,饭后漱口
而每天2次刷牙时间至少3分钟
刷牙的正确方法

上牙从上往下刷
下牙从下往上刷
咬合面要来回刷
里里外外都要刷
每个部位刷8次左右
每个牙齿都要刷到
每个牙面都要刷到
其次,刷完后牙缝用牙线清理
(可以购买小朋友用的牙线)
将牙缝清理干净

最后,有条件的话可以做窝沟封闭
这是预防窝沟龋最有效的方法
先来看看窝沟是什么
窝沟位于口腔中大牙上面,凹凸不平,像个磨盘一样,能够起到增大咀嚼面积、增加摩擦力的作用,有利于把食物充分嚼碎。

牙齿窝沟封闭就是用一种材料
(对人体无害也可自凝的合成有机高分子树脂)
在牙齿的表面涂上
液态时它可渗入到牙齿表面的窝沟内
经光照后固化
就如同给牙齿穿上了一层保护衣
使牙齿免受食物侵蚀

胡永提醒,处于换牙期的小朋友
家长一定要格外留意
是否有乳牙滞留的情况
一旦发现,一定要及早去医院就诊
以免影响恒牙的萌出
造成牙列不齐等情况


胡永
科副主任(主持工作)
副主任医师、口腔医学博士
医疗特长:微创拔牙等牙槽外科,口腔颌面部创伤、感染、良恶性肿瘤综合治疗,口腔颌面部先天畸形及后天缺损修复。熟练应用多个种植系统,完成单牙、多牙、全口及各类组织缺损种植修复。牙体牙髓牙周疾病、口腔黏膜病、儿童口腔疾病规范治疗;牙体缺损、牙列缺损、牙列缺失修复治疗。
学术兼职:中华口腔医学会会员、江苏省口腔医学会第四届口腔全科医疗分会委员、江苏省整形美容协会面部年轻化分会副主任委员。