2014年,WHO统计结果表明,目前癌症的治愈率为55%,其中外科手术的贡献为27%,放射治疗的贡献为22%,化疗和其他治疗的贡献为6%。因此,放射治疗是治疗恶性肿瘤三大最重要的手段之一,大约有60%~70%的恶性肿瘤病人需要接受放射治疗。
放射治疗可以通过电离辐射,破坏细胞核中的DNA,使细胞失去增殖能力,达到杀死肿瘤细胞的目的。
但是,由于电离辐射不会像靶向和免疫治疗那,只针对被“标记”的癌细胞,所以放射线在照射肿瘤细胞的同时,对周围的正常组织也造成不同程度的损伤。比如在照射脑部肿瘤时,可能出现各类不可逆的神经损伤和肢体活动障碍,在照射儿童肿瘤时,造成儿童发育迟缓,智力障碍,视力损伤等等。
质子治疗技术经过半个世纪的临床应用和研究,已被全球公认为是目前放疗领域最先进的技术。越来越多的人开始认识并关注这个放射治疗领域的新秀,不少患者将其视作“治癌神器”。那么,质子治疗真的有这么神奇吗?究竟哪些患者才能从质子治疗中获益?
什么是质子治疗?
多年来,标准放射疗法已经发展和改进,目前临床中常用的是光子放疗,比如旋转调强,静态调强,射波刀,TOMO刀,在控制许多癌症方面效果显著。然而,由于X射线束由初级光子和二次电子组成,射线是以直线方式穿过身体,在入射初能量最大,过程中不断衰减,也就是说从皮肤表层下一定深处到肿瘤靶区前方的正常组织都会受到X线照射,并且正常组织接受的放射剂量会高于肿瘤靶区剂量,同时位于肿瘤周边和射线输出路径的组织也不可避免地受到X线照射。
而质子是相对较重的带正电的粒子,它们在击中目标时停止。而X射线束由光子组成,光子是几乎没有质量的粒子,因此它们会一直穿过身体,包括健康的组织。
质子释放的能量是远远大于普通放疗中所使用的X射线的,X射线的能量为4~18MeV,而质子的能量为70~230MeV。
如果将X线比作篮球,那么质子线就是铅球,下面这张图形象的说明的质子的物理学特性,我们可以清除的看到,质子线在红色肿瘤的位置释放最大的能量之后迅速将剂量降为零,几乎不会损伤到后面的正常心脏组织,而X线照射的特点却是初进人体时剂量最大,逐步衰减,如果肿瘤部位较深,可能X线在肿瘤部位的照射剂量仅剩50%左右,更为严重的是,X射线还会对肿瘤后面的正常心脏组织造成辐射伤害。因此,只要允许放射治疗的肿瘤都可以考虑质子治疗来将正常组织的伤害降到最低。

质子治疗的三大物理学优势
一,布拉格峰
质子比光子具有物理优势,当质子束进入身体后剂量释放缓慢上升,在射程末端释放最高能量,形成一个剂量高峰即布拉格峰(Bragg Peak),可精确瞄准肿瘤靶区,峰值过后剂量则急速下降至趋于零。这意味着质子治疗能让放射剂量集中在肿瘤处,肿瘤前方正常组织所受到的剂量较小,肿瘤后方组织基本上不会受到照射。

同时,与最先进的光子技术(例如调强放射疗法(IMRT)和容积调强放疗(VMAT))相比,质子疗法可以以50%的比例向肿瘤靶区提供相似或更高的辐射剂量,同时正常组织辐射剂量降低60%。随着笔形束扫描技术的发展,最新一代的质子设备还可以执行调强质子治疗(IMPT),从而在目标体积周围产生高度适形的剂量分布。由于这些特点,质子治疗已成为儿科癌症患者的最佳放射治疗,并正在积极研究适用于成人不同肿瘤类型。
二,最大限度保护正常组织
质子的辐射可以最大限度降低对正常组织的伤害,对目标肿瘤细胞造成最大的损害。以儿童髓母细胞瘤为例,我们可以看到普通放疗产生的大部分副作用,质子都完美的规避了。

三,降低二次肿瘤发病率
质子治疗可以降低二次肿瘤的发病率。以头颈肿瘤为例,常规放疗比质子治疗的辐射剂量高出25Gy,这意味什么呢?25Gy=你做了12500头颈CT,增加96%罹患二次肿瘤的风险!


究竟哪些患者能从质子治疗中获益?
最初,质子疗法用于治疗放射线不敏感的肿瘤,例如脊索瘤和黑色素瘤。随着技术的发展和成熟,适应症逐渐扩展到其他癌症,目前,质子治疗的适应症包括儿科,头颈,肺癌,肝癌,胰腺癌和前列腺癌。
质子治疗非常适合接近处于风险中的串行器官的癌症,包括脊索瘤,鼻咽癌,鼻旁鼻窦癌和颅内肿瘤。另一方面,质子治疗也可以使处于风险中的平行器官附近的癌症受益,因为处于风险中的平行器官对辐照量敏感,通过质子治疗可以大大降低辐射量。根据近期一些研究数据证实,以下癌症获益于质子治疗:
头颈癌
放射疗法是头颈癌的重要治疗方式。相比光子治疗,其中包括最新的技术,例如VMAT和IMRT,质子疗法已显示的优点,用于保护脑干,唾液腺,脊髓,和喉。
最近的几项剂量测定研究已经证实使用质子治疗口咽癌的剂量对至正常组织损伤最低,Holliday等人报告说,与IMRT计划相比,质子治疗计划中的脑干,小脑,后口腔,咽喉收缩器和食道等正常组织的剂量明显低于对照组。
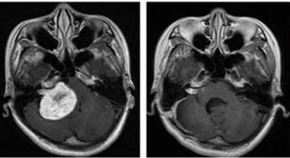
作为一种中国南方城市常见的癌症,鼻咽癌的发病部位通常很靠近眼睛和颅神经,质子治疗可以更好的保护这些重要的组织器官。

普通放疗全部颅脑都受到照射

质子治疗
乳腺癌
一项荟萃分析表明,在进行了15年的随访之后,保乳手术后的辅助性放疗可以降低复发和死亡几率,但是,普通放疗会引起的长期心血管毒性和增加患第二种癌症的风险。
与IMRT相比,质子治疗有可能减少短期和长期副作用,尤其是心脏,肺和淋巴结。对于乳腺癌的质子疗法, 平均而言,与常规X线放疗相比,心脏没有辐射,而肺部遭受的辐射减少50%。目前最先进的质子治疗形式,称为笔形束扫描,来靶向乳腺癌肿瘤并以无与伦比的精确度提供放射治疗。
由于质子治疗在肿瘤部位停止,因此可以最大限度地减少对健康组织的损害。这降低了并发症的风险,包括继发性癌症,心脏损伤或肺部暴露的可能性。
肝癌
剂量学研究表明,与VMAT相比,IMPT可以降低对正常组织的剂量,从而避免放射线引起的肝毒性。
对于大于5 cm的大肿瘤或位置复杂的肿瘤(如肝门,中央肿瘤),不适合进行光子疗法,而质子疗法已证明它能够提供更高的剂量到目标体积而不增加肝毒性的风险。
小儿癌症
近10年儿科癌症患者的生存期有所改善,因此人们越来越关注减少长期副作用以改善患者的生活质量。据报道,这些癌症幸存者中有60%以上会经历一种或多种与辐射有关的晚期毒性,由于处于快速生长发育的阶段,他们的器官都较成人更易受放射线影响。比方幼儿的脑部在0至3岁间发展成熟最为迅速,年纪越小接受放疗,5年内智商下降幅度越大。故若非必要,对小朋友会尽量避免或减少针对脑部之放疗剂量。除中枢神经系统外,放射线对于快速分裂的细胞也有显著的影响,因此小朋友的身高、视力、以及生殖系统(卵巢或*丸睾**),都可能受到损害。由于儿癌病童存活率上升,放射线更长期的副作用,也可能陆续在小朋友成长的过程中出现,比方心血管系统的冠状动脉疾病、及中风机率上升等,甚至增加成年后罹患第二种癌症的几率。
已经有充分的临床数据证明,质子治疗可以保留许多正常组织,并减少高危器官的整体剂量。一项在23个主要研究中对650名患者进行的荟萃分析显示,质子治疗可以减少对正常组织的辐射剂量。
由于质子放射治疗具备能够减少散射剂量的优势,可说是未来儿癌放射治疗必然的趋势。在欧美等先进国家癌症中,儿癌对质子治疗的接受度可说是最高多的。由于小朋友们快速的生长发育,身体对放射剂量造成的副作用较为敏感,因此质子的好处在儿癌格外凸显。
二次照射
初次放疗治疗失败是导致肿瘤复发的原因之一,并且通常无法切除。在这些情况下,用光子重新照射是重要的治疗选择。但是,由于器官处于风险剂量限制之下,因此很难实现全剂量的二次照射。因此,质子治疗作为一种高度精确的放射治疗技术,可以作为二次照射的最佳选择。
质子治疗的39类适应症大全!
下面这张表系统性地总结了目前质子治疗的全部适应症,请大家参考,更多信息请点击文末阅读原文。







*注,以上表格仅供参考,具体病情大家可以致电全球肿瘤医生网医学部请质子专家进行评估。

这些患者不适合质子治疗!
最后我们回到文章最初的问题,质子治疗的优势这么多,它究竟是不是“抗癌神器”呢?
答案当然是否定的。
首先,作为放疗设备的一种,质子治疗有着严格的适应症,有些患者并不适合:
A、同一部位肿瘤已接受过2次及以上放射治疗的患者;因为剂量已到极限,质子也无法再进行照射。
B、晚期肿瘤患者如多发转移、肿瘤终末期患者等,病灶较多的患者不适合质子治疗,因为质子只是局部治疗手段。
C、胃及肠道肿瘤:因为不规则蠕动,无法使用质子放疗。
D、血液系统肿瘤(白血病、多发性骨髓瘤等)
E、已进行放射性粒子植入治疗的患者
F、无法较长时间保持俯卧或仰卧等体位的患者
质子治疗,不是神器,也不是神话,作为一种放疗技术,质子治疗也有自己的短板,对于某些病情,光子治疗的效果可能更好,比如:
治疗乳腺癌,质子治疗对皮肤的损伤高于光子放疗:

周围型肺癌:质子相对射波刀没有优势
中央型肺癌:质子并不优于调强放疗

再比如听神经瘤、三叉神经痛等,射波刀的优势更加明显:

所以,昂贵不一定是好的,便宜不一定是坏的;适合自己才是最好的。
各个国家的质子治疗费用一览表
目前,全球有70多家质子治疗中心,已有超过190,000名患者接受了质子治疗。
质子治疗的费用较高,目前,国际上主要是德国、日本和美国的质子和重离子技术比较发达,国内患者也大部分选择在这三个国家进行治疗。
对于收费标准,各个国家不一样。

在美国按次收费,一般治疗完成需要12-15万美元,约折合人民币90万元左右,德国需要5-6万欧元,约人民币40万左右。日本治疗费用与国内相近,约人民币28万左右。总体来说,中国、日本最低,德国价位适中,美国是德国的2-3倍左右。
并且在国内需要自费,仅有极少数地区可以医保报销,对于大部分罹患癌症的普通家庭来说可望而不可及。患者在选择放疗技术的同时也需要考虑自身的经济情况。
免费接受顶尖质子专家会诊评估的机会来啦!
对于质子治疗最简练的总结是安全、副反应小、疗效肯定。但是也不能盲目地认为质子治疗是癌症的克星,癌症治疗仍需要多学科综合治疗,选择权威的专家、医院,制定最适合自己的治疗方案才能达到好的治疗效果。
全球肿瘤医生网与全球知名的质子中心联手,打造国内权威的质子治疗评估会诊中心,中心拥有国内外知名质子专家,例如申文江教授、曲宝林教授、乔纲主任,日本质子第一人秋原哲夫、美国质子专家X. Ronald Zhu,可为患者提供病情评估和远程会诊。
通过视频软件远程会诊的模式,患者既不用千里迢迢去外地求医,坐在家里就能随时随地得到顶尖专家指导及治疗方案,更多的癌症患者受益!想申请的患者可以致电全球肿瘤医生网医学部。
会诊名额: 5名
会诊时间: 2019年11月11日-11月20日
会诊形式: 远程视频会诊
本期专家: 乔纲、曲宝林、蔡博宁