
急性缺血性脑卒中(急性脑梗死)具有发病率高、致残率高、死亡率高、复发率高等“四高”特点。目前最重要的恢复血流的措施为静脉溶栓治疗,是循证医学证明的有效治疗脑梗死的方法,也是避免和减轻卒中后残疾率、死亡率的重要治疗手段。同时,筛选出适宜rt-PA静脉溶栓的患者并且避免时间窗延误是静脉溶栓成功的关键。
渭南市第二医院神经内科作为陕西省卒中定点救治医院及标准化基层卒中中心,在传统脑梗死诊疗的基础上,开展了急性脑缺血性脑卒中的静脉溶栓治疗。神经内科溶栓团队多次前往省内外知名医院卒中中心进修学习,熟练掌握了静脉溶栓治疗及不良预后的处理,同时科室建有完善的急性脑卒中绿色通道、完整的脑卒中评估体系,可在最短的时间内完成静脉溶栓治疗。

近两年来,神经内科完成超急性期溶栓病例200余例,其中约60%的病例患者症状明显好转,约33%患者静脉溶栓前后症状无明显变化,但在3个月随访时症状较不溶栓的患者明显好转。经过不断的学习与技术改进,DNT时间(患者入院到静脉溶栓开始的时间)也在逐渐缩短,总体时间平均控制在46分钟内,已达到国家初级卒中中心的DNT要求。

病例一
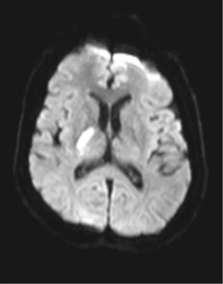
男性49岁患者,主诉:发作性左侧肢体无力7小时,持续不缓解40分钟。医生根据患者情况进行溶栓评估,并给予阿替普酶静脉溶栓。溶栓前左侧肢体不能活动,呈完全瘫痪状态,溶栓前NIHSS(代表神经缺损程度,评分越高缺损越严重)评分10分,溶栓结束评分降至3分,左侧肢体肌力基本恢复正常,该患者静脉溶栓无出血、过敏等并发症,出院时肢体活动正常。

脑梗死责任病灶
病例二
男性52岁患者,主诉:言语含糊、右侧肢体无力1.5小时。评估后给予阿替普酶静脉溶栓。溶栓前言语不清、右侧肢体无力,不能独自站立,瘫痪较重,溶栓前NIHSS评分12分,溶栓结束评分降至4分,患者言语不清及右侧肢体无力症状明显缓解,该患者静脉溶栓过程顺利,无出血、过敏等并发症。出院时语言明显好转,肢体无力完全恢复正常。

脑梗死责任病灶
静脉溶栓是治疗超急性期脑梗死最有效的方法,可以有效降低卒中患者的致残、致死率,减轻卒中患者的家庭负担,操作简单,获益远大于风险,是卒中治疗的重要环节。
图文:渭南青年网 宣传科 内一科编辑:张彦平 何 璇 审核:邓维泉
渭南青年网 编辑:姚和平